| # | Institute | Stage | Patient Id | Patient Name | Consent Taken | Age | Provisional and Final Diagnosis | Final Diagnosis category | Radiologist observation | Chest X-Ray finding | Chest X-Ray | Action | Delete | |
|---|---|---|---|---|---|---|---|---|---|---|---|---|---|---|
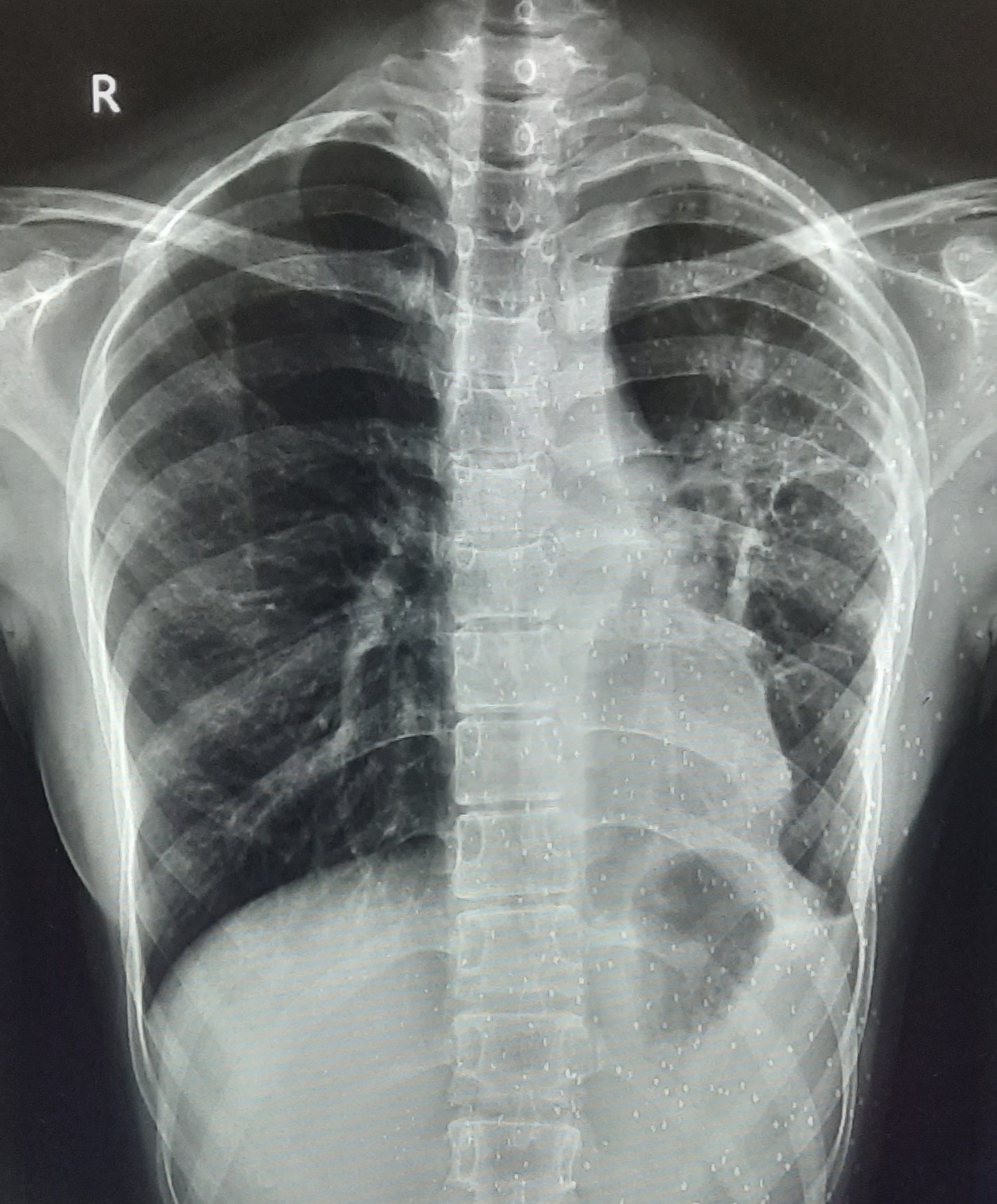
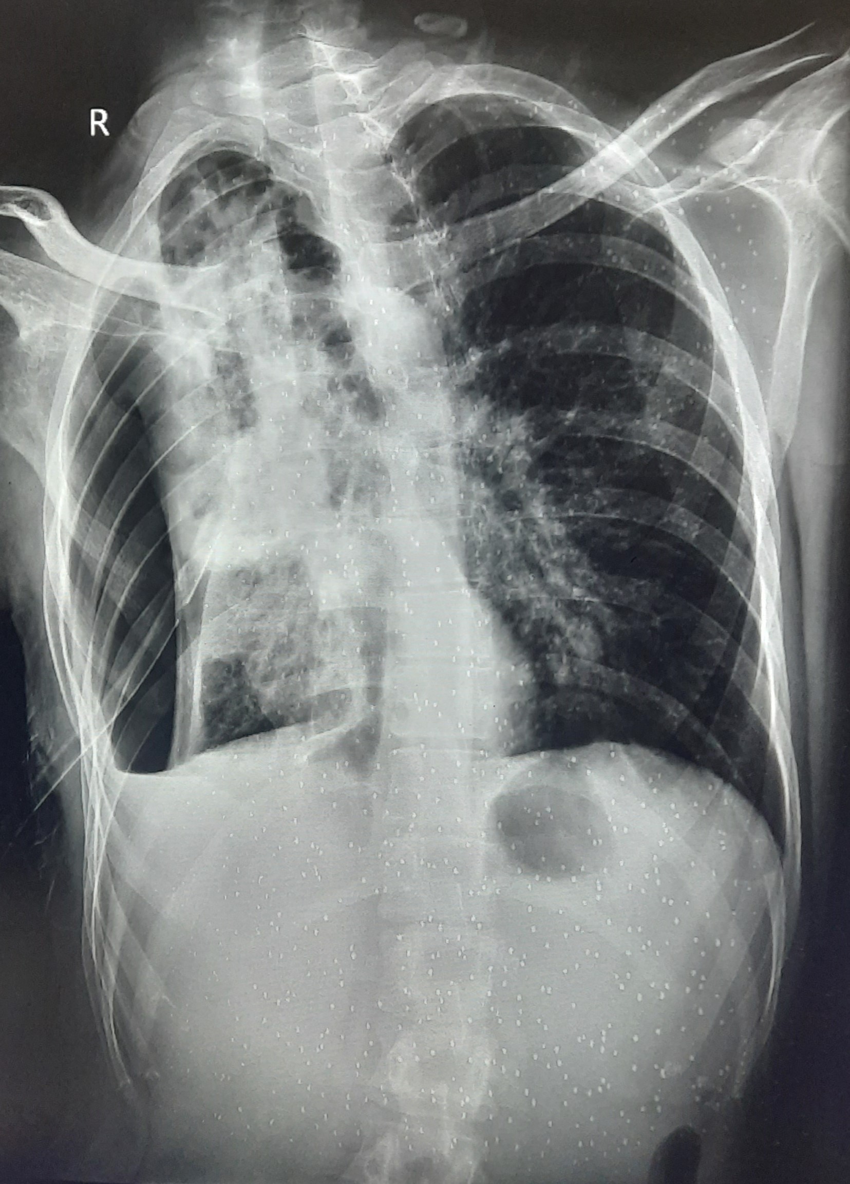
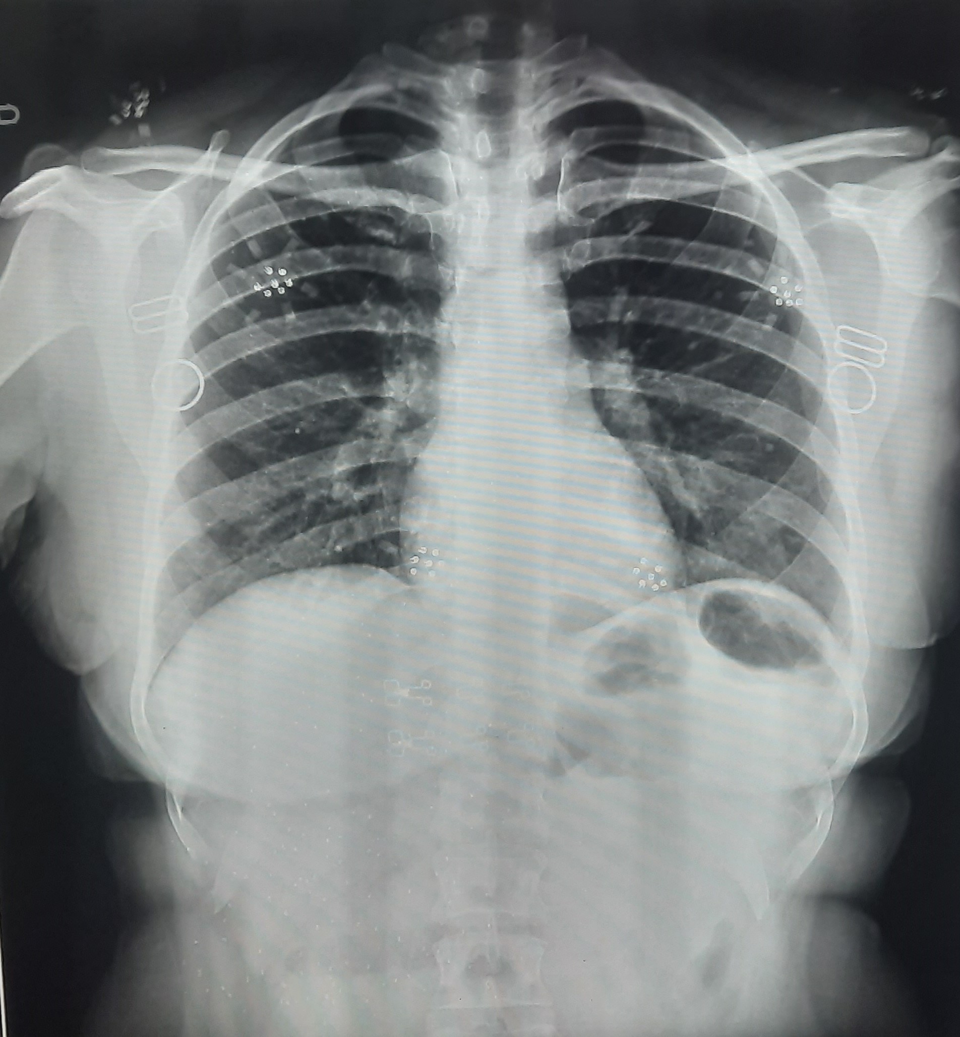
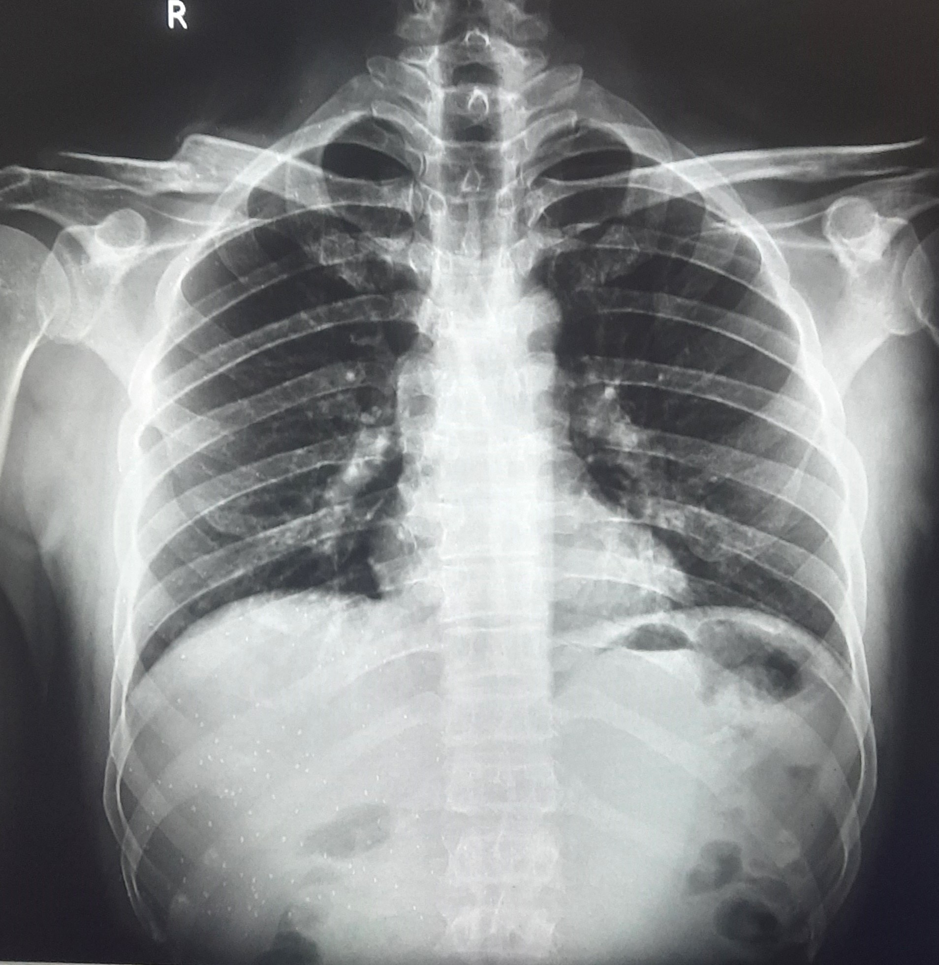
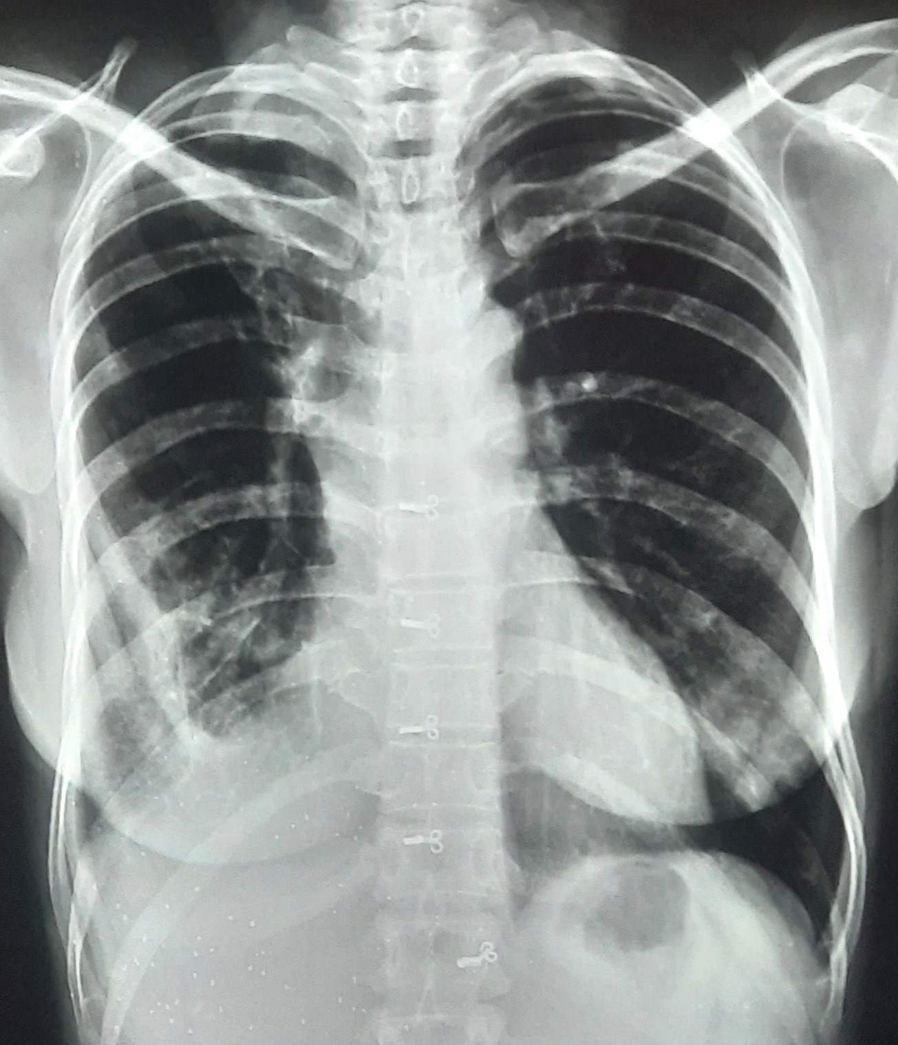
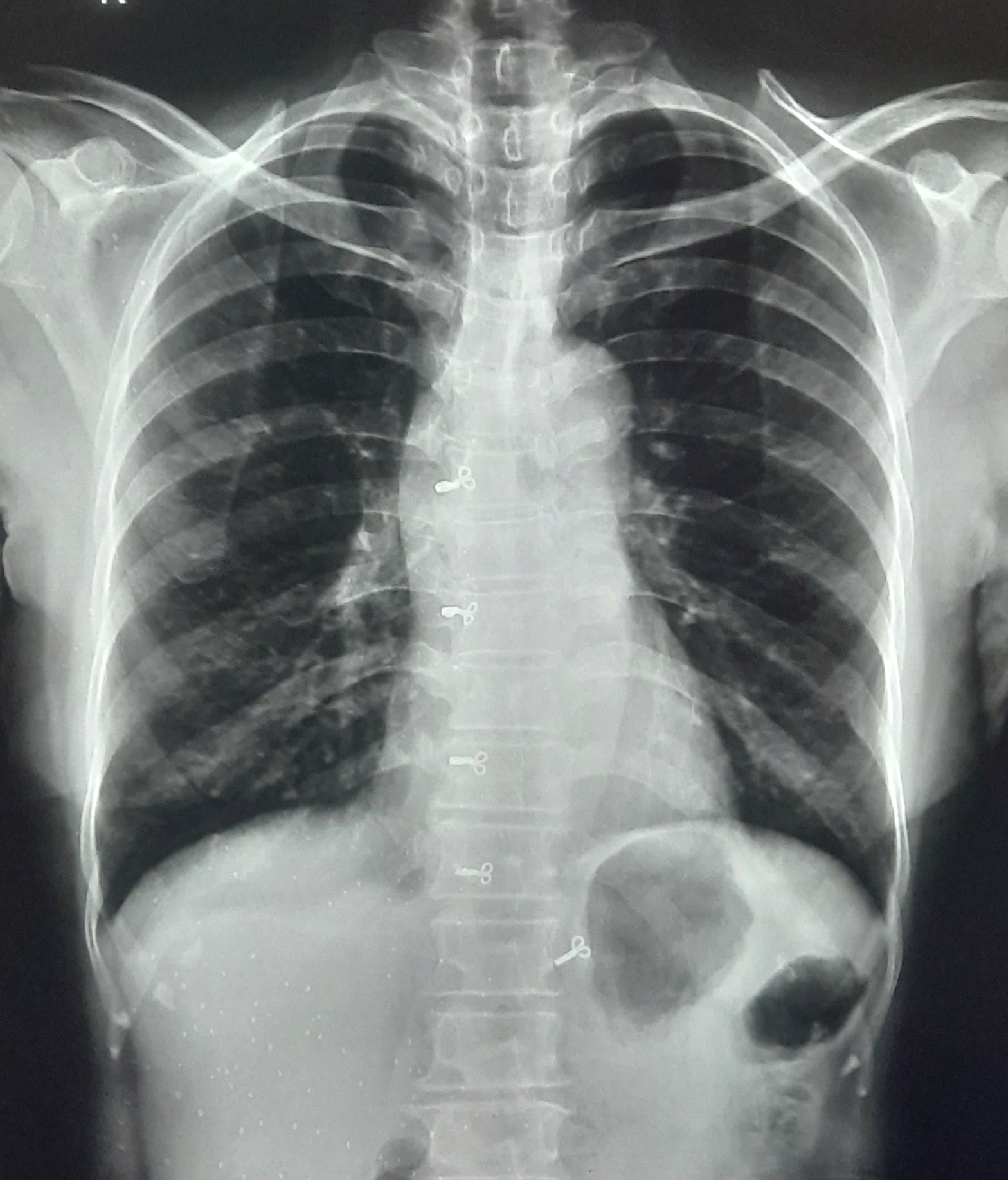
| 201 | IGGMC, Nagpur, Nagpur | P2 | 29-4271 | BUSHRA KHAN | Consent taken on Paper | 21 Yrs. |
Provisional Diag : PTB?
Final Diag : RIGHT SIDED CLINICALLY DIAGNOSED TUBERCULAR PLEURAL EFFUSION |
TB Case (Confirmed) | RIGHT SIDED PLEURAL EFFUSION | Abnormality visible on x-ray |
View |
|||
| 202 | IGGMC, Nagpur, Nagpur | P2 | 29-4270 | Consent taken on Paper | 21 Yrs. |
Provisional Diag : ?
Final Diag : ? |
? | X | ||||||
| 203 | IGGMC, Nagpur, Nagpur | P2 | 29-4269 | Consent taken on Paper | 21 Yrs. |
Provisional Diag : ?
Final Diag : ? |
? | X | ||||||
| 204 | IGGMC, Nagpur, Nagpur | P2 | 29-4268 | Consent taken on Paper | 21 Yrs. |
Provisional Diag : ?
Final Diag : ? |
? | X | ||||||
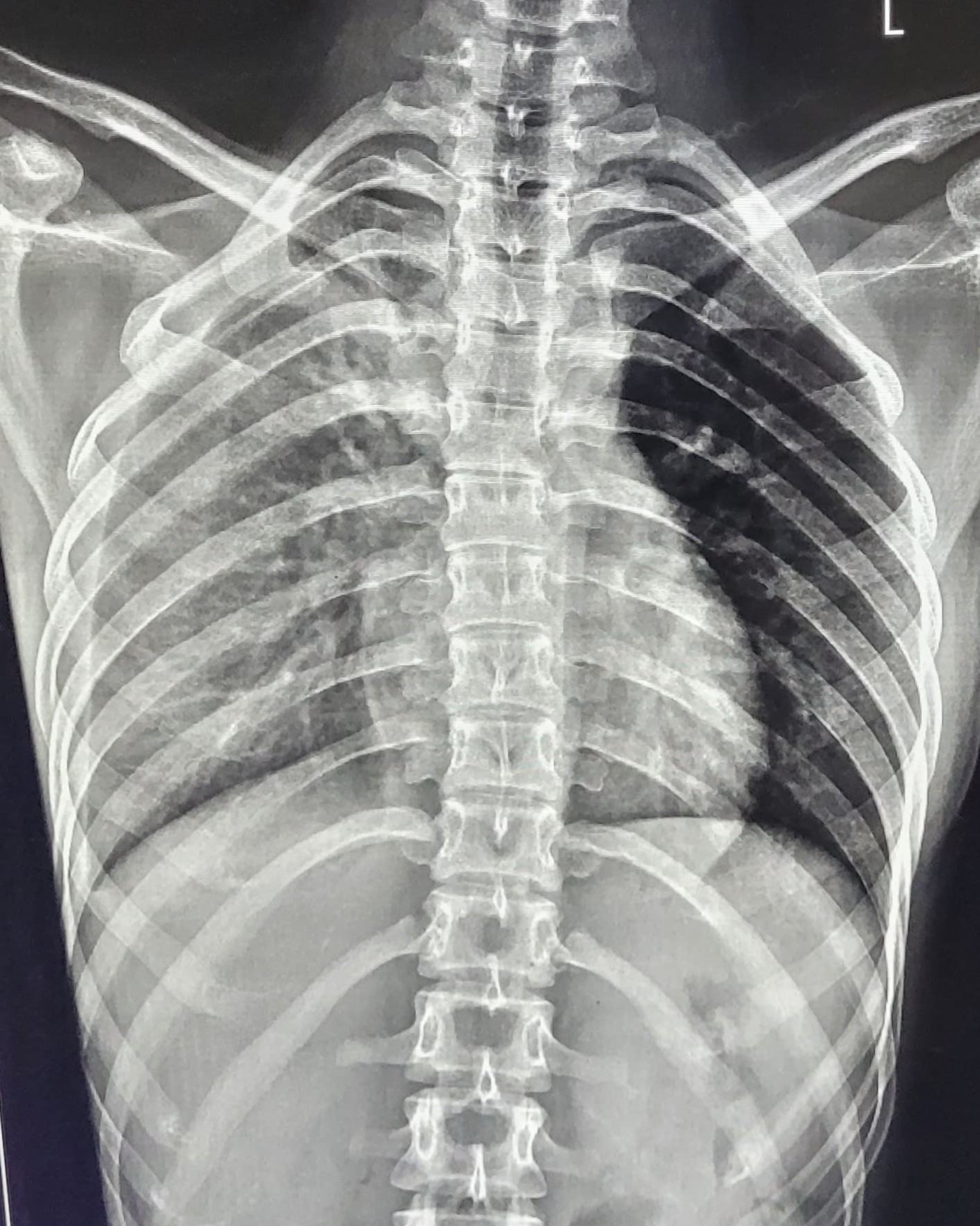
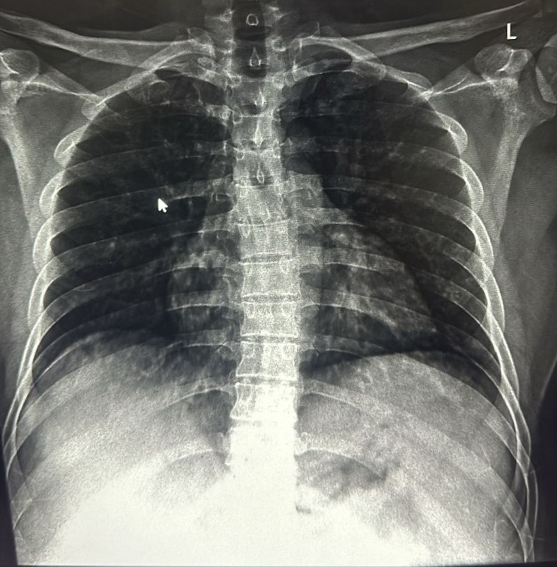
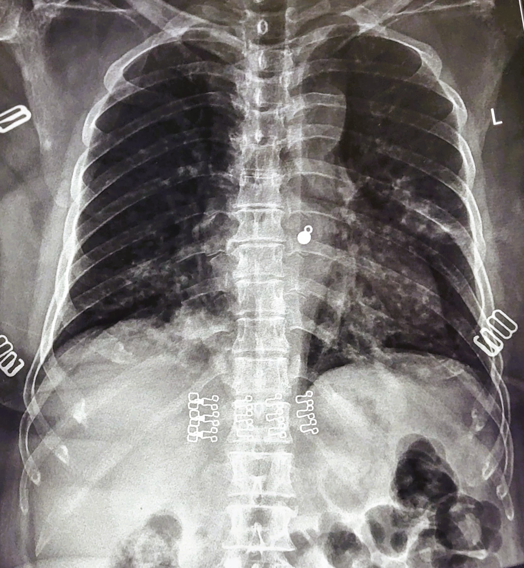
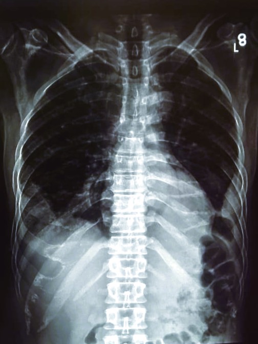
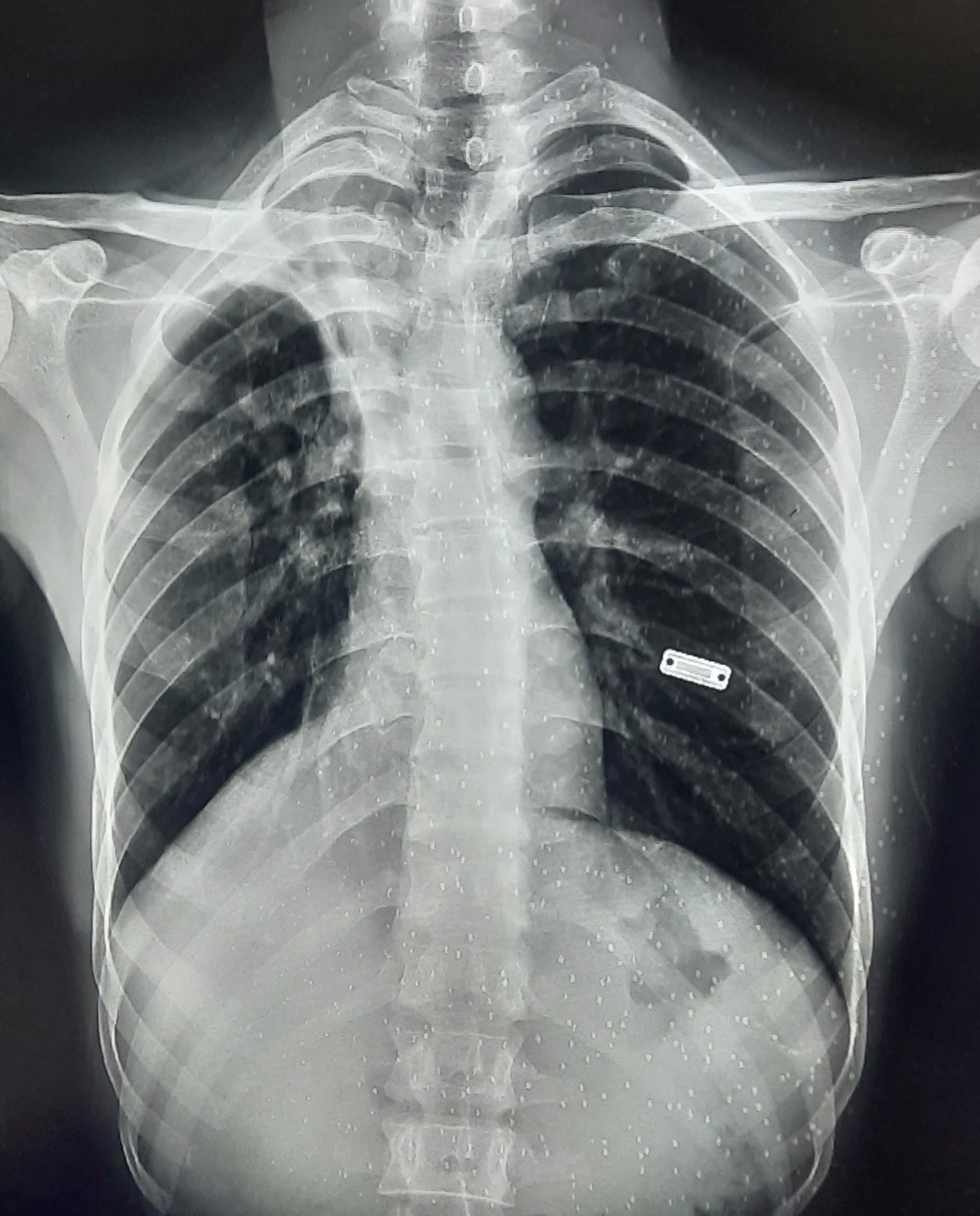
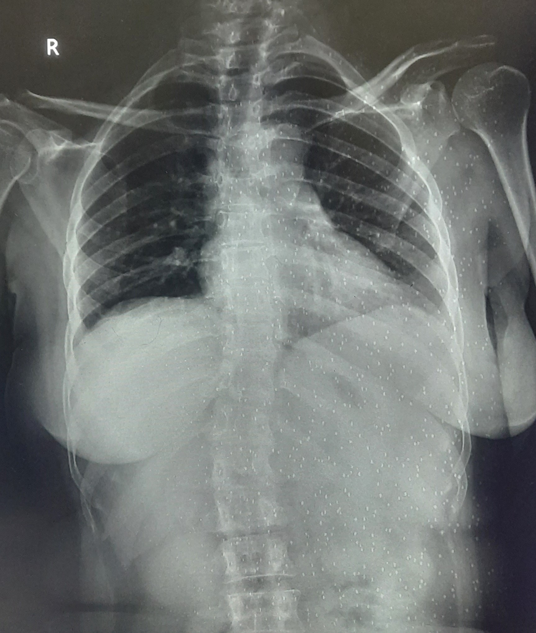
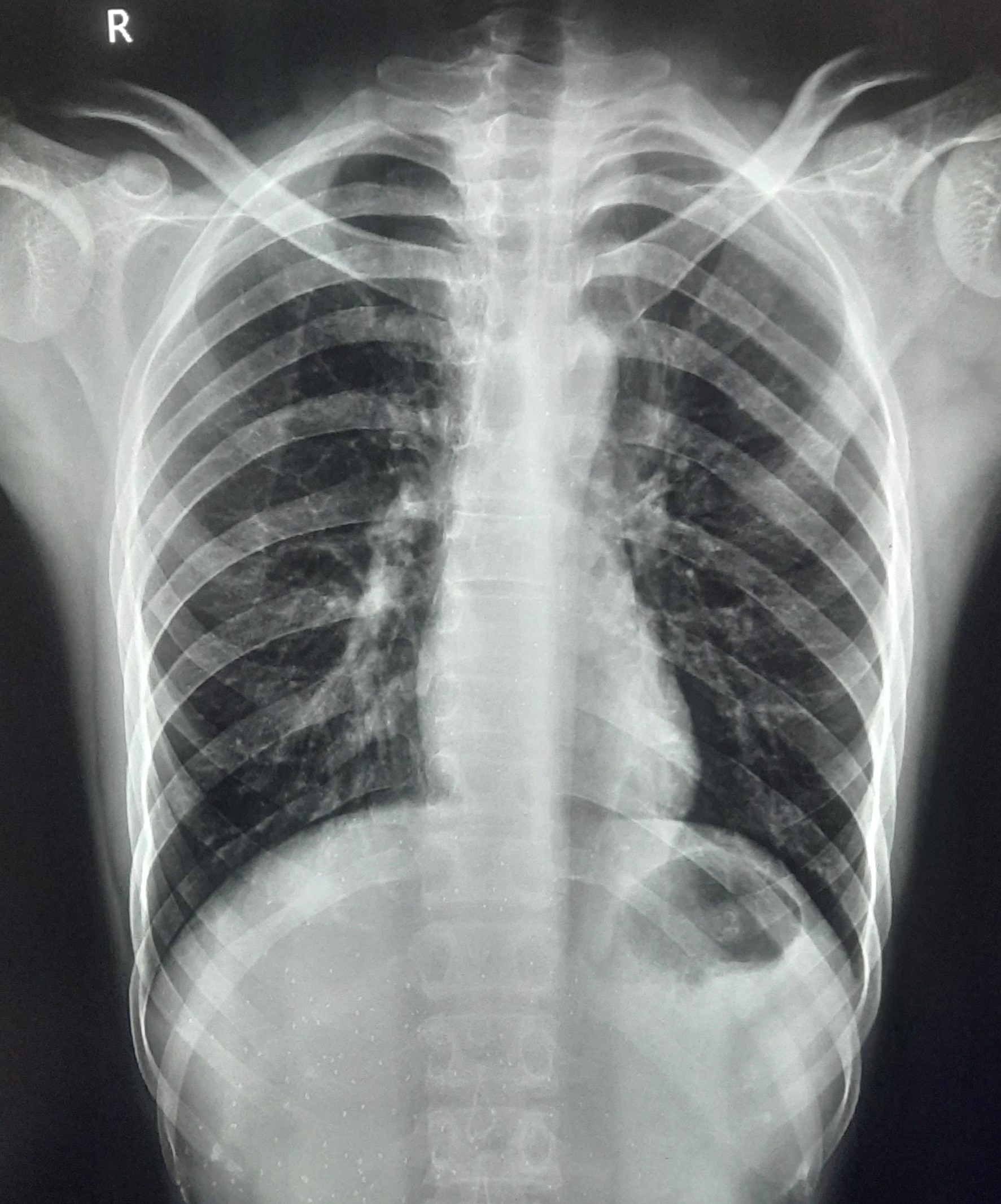
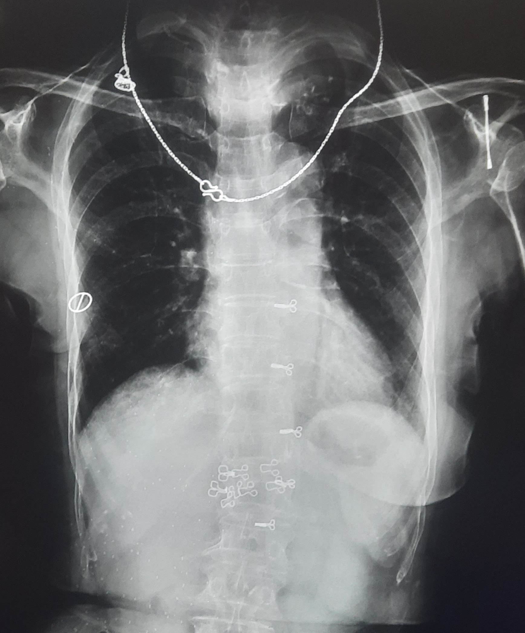
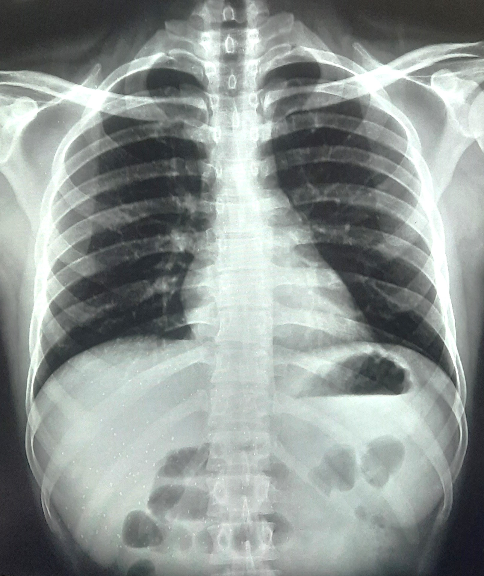
| 205 | IGGMC, Nagpur, Nagpur | P2 | 29-4267 | MOHAMMAD HANIF SUREYYA | Consent taken on Paper | 55 Yrs. |
Provisional Diag : PTB?
Final Diag : PNAEMOTHORAX /CLINICALLY DIAGNOSED PTB |
TB Case (Confirmed) | LEFT SIDED PNAEMOTHORAX | Abnormality visible on x-ray |
View |
|||
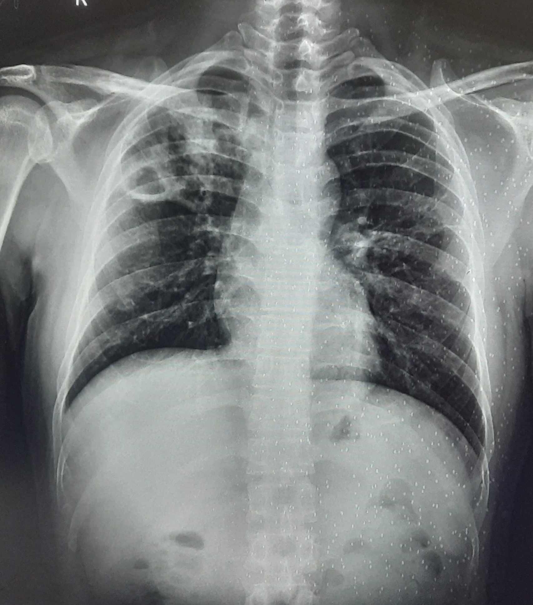
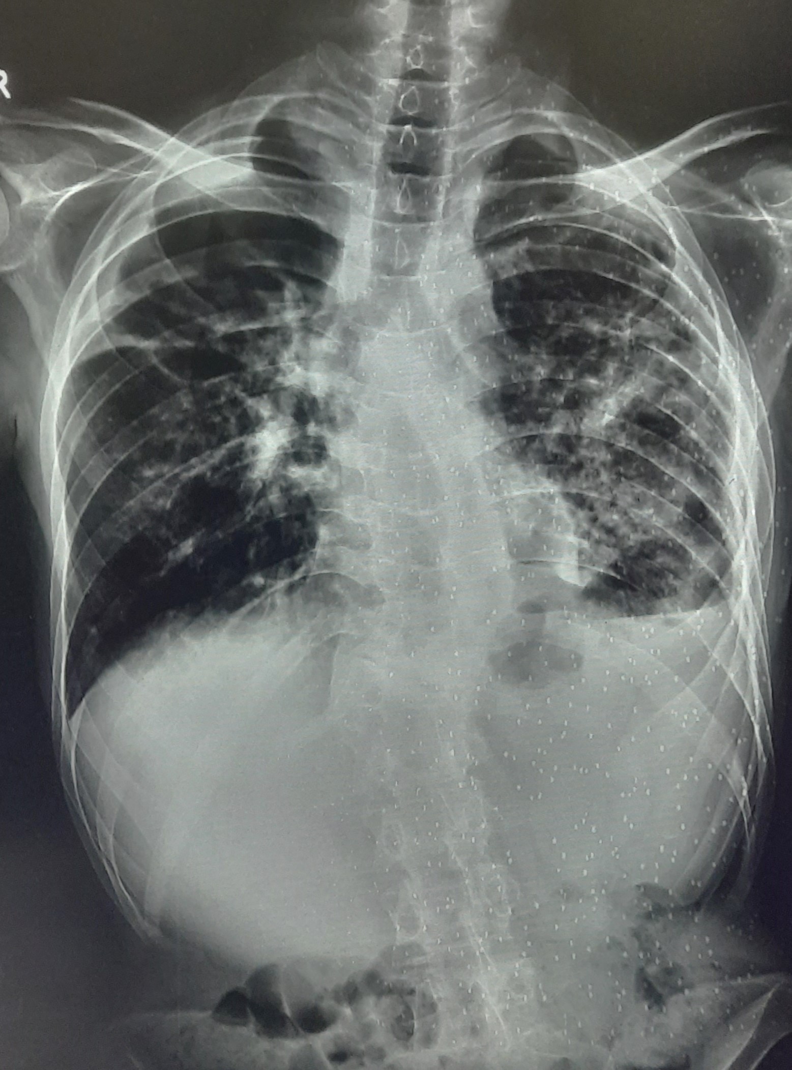
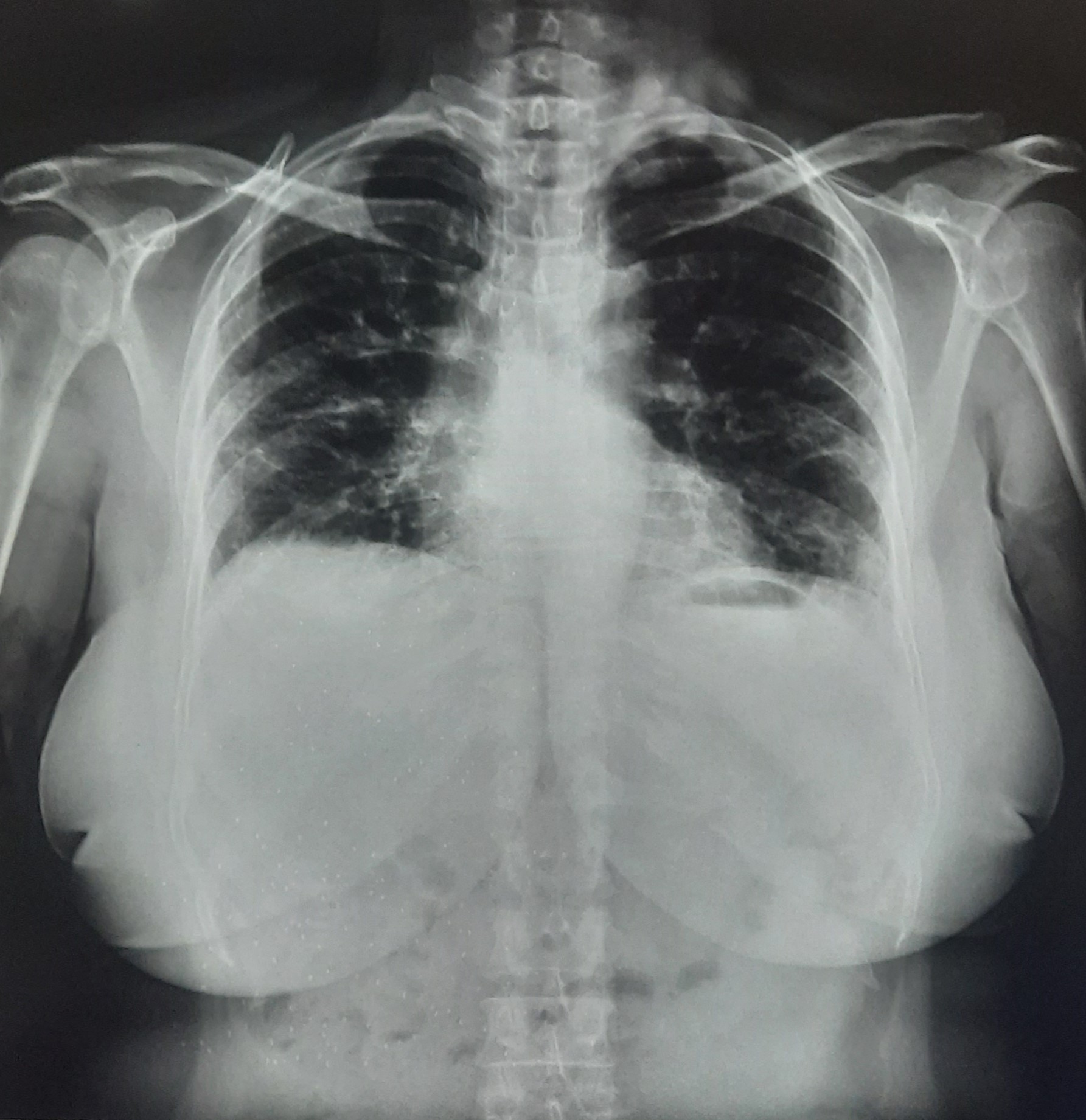
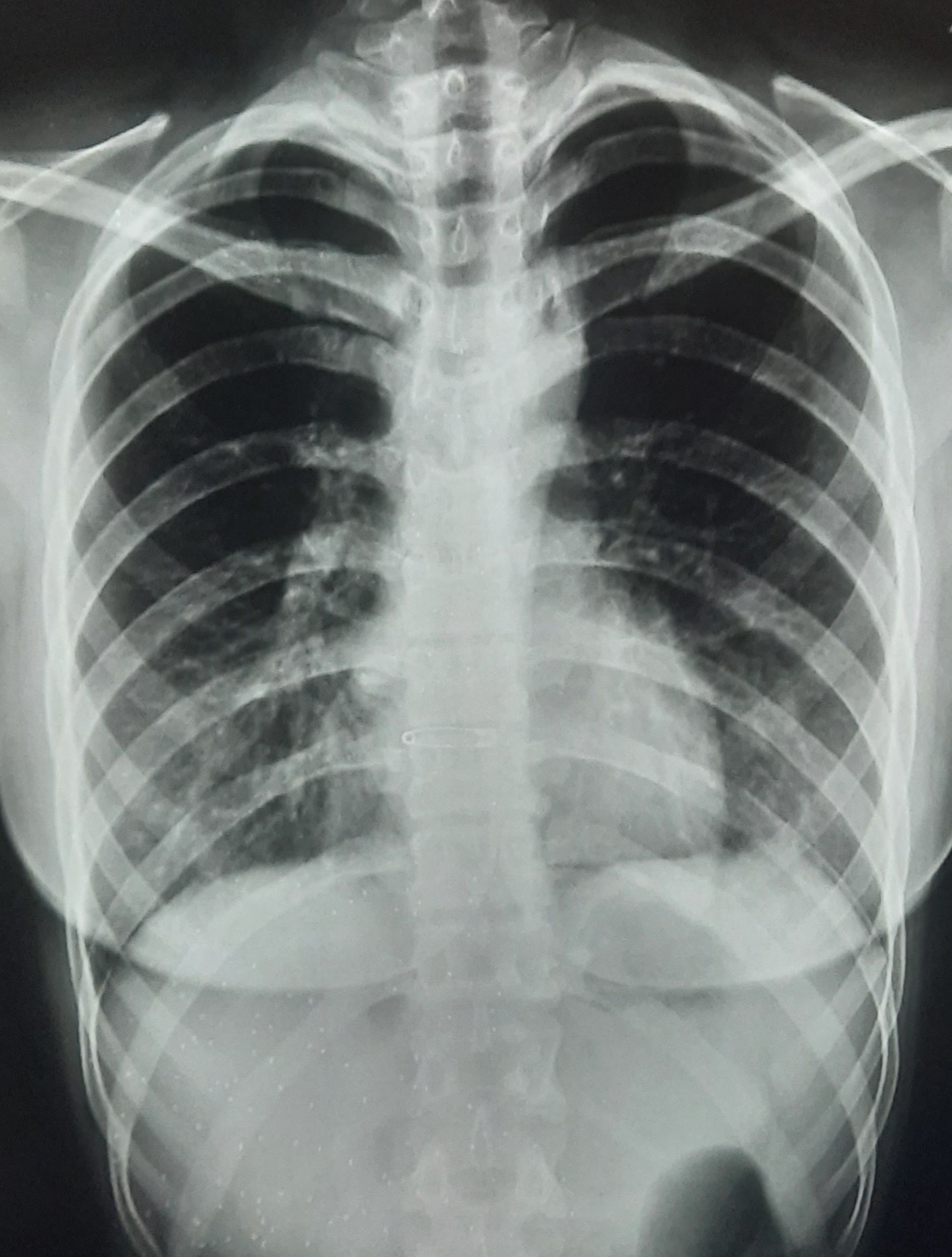
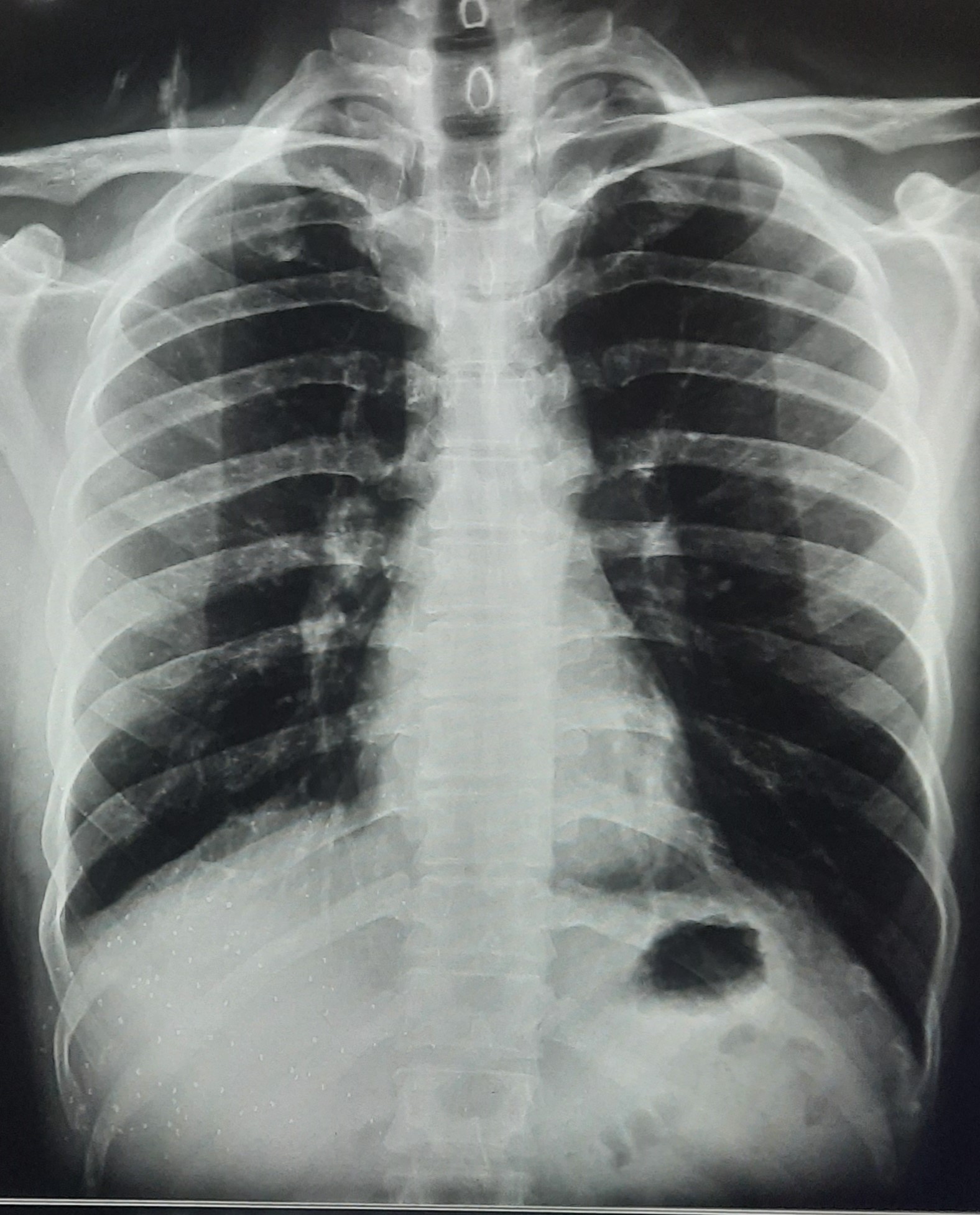
| 206 | IGGMC, Nagpur, Nagpur | P2 | 29-4266 | SHUBHAM URKUDE | Consent taken on Paper | 30 Yrs. |
Provisional Diag : PTB?
Final Diag : CLINICALLY DIAGNOSED PTB WITH OLD EPTB WITH LOSS TO FOLLOW UP IN CHRONIC ALCOHOLIC |
TB Case (Confirmed) | BILATERAL MIDDLE ZONE HAZZINESS/CONSOLIDATION | Abnormality visible on x-ray |
View |
|||
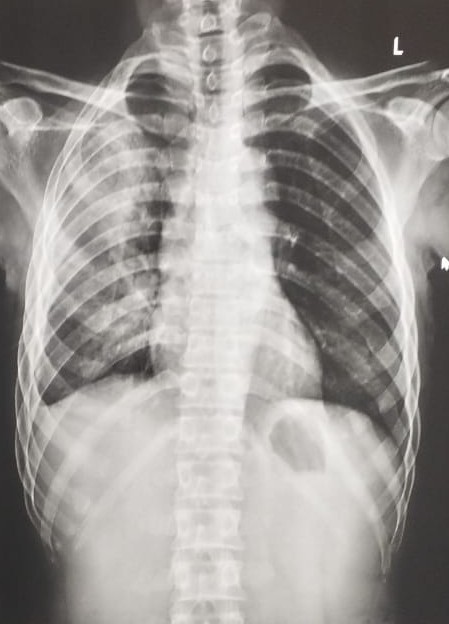
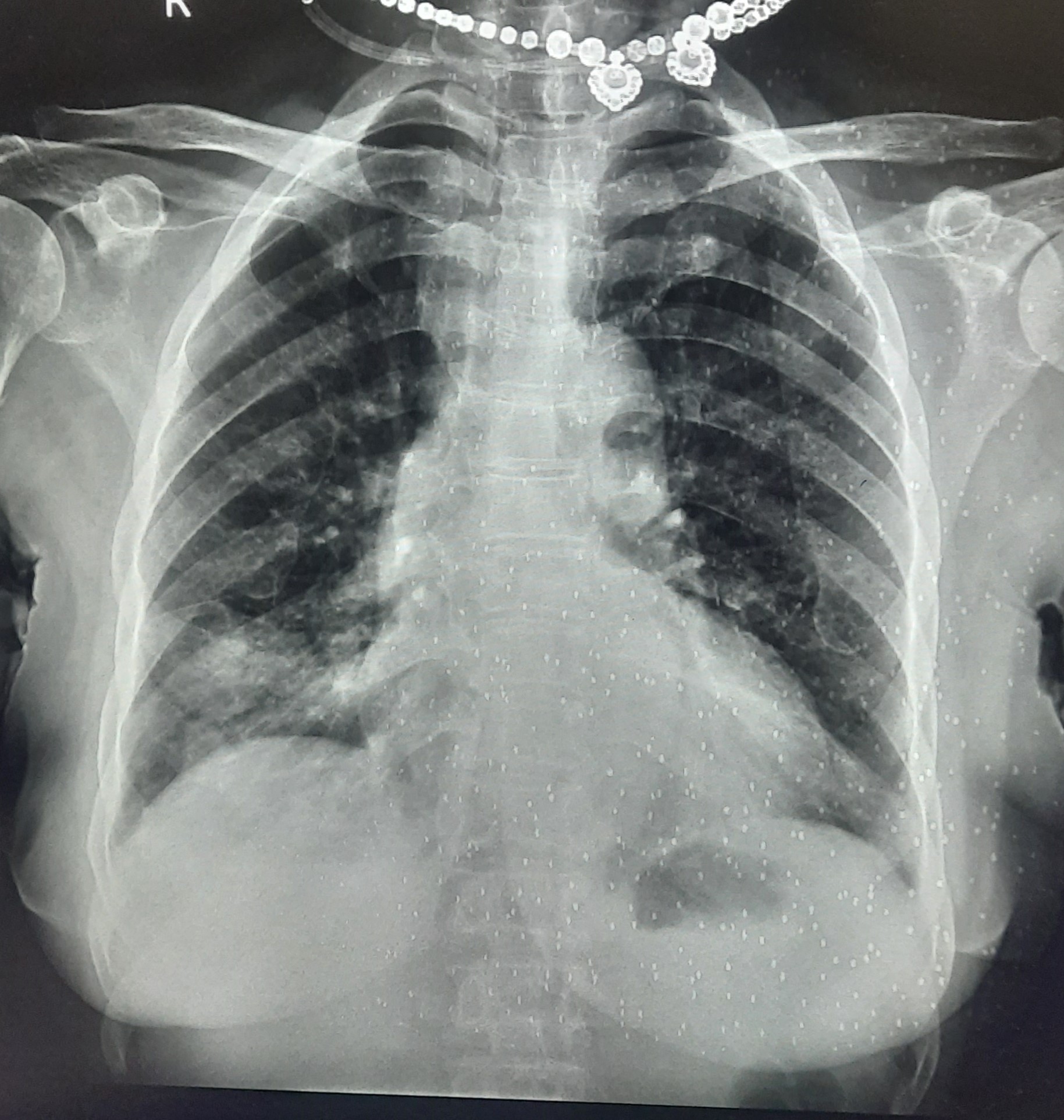
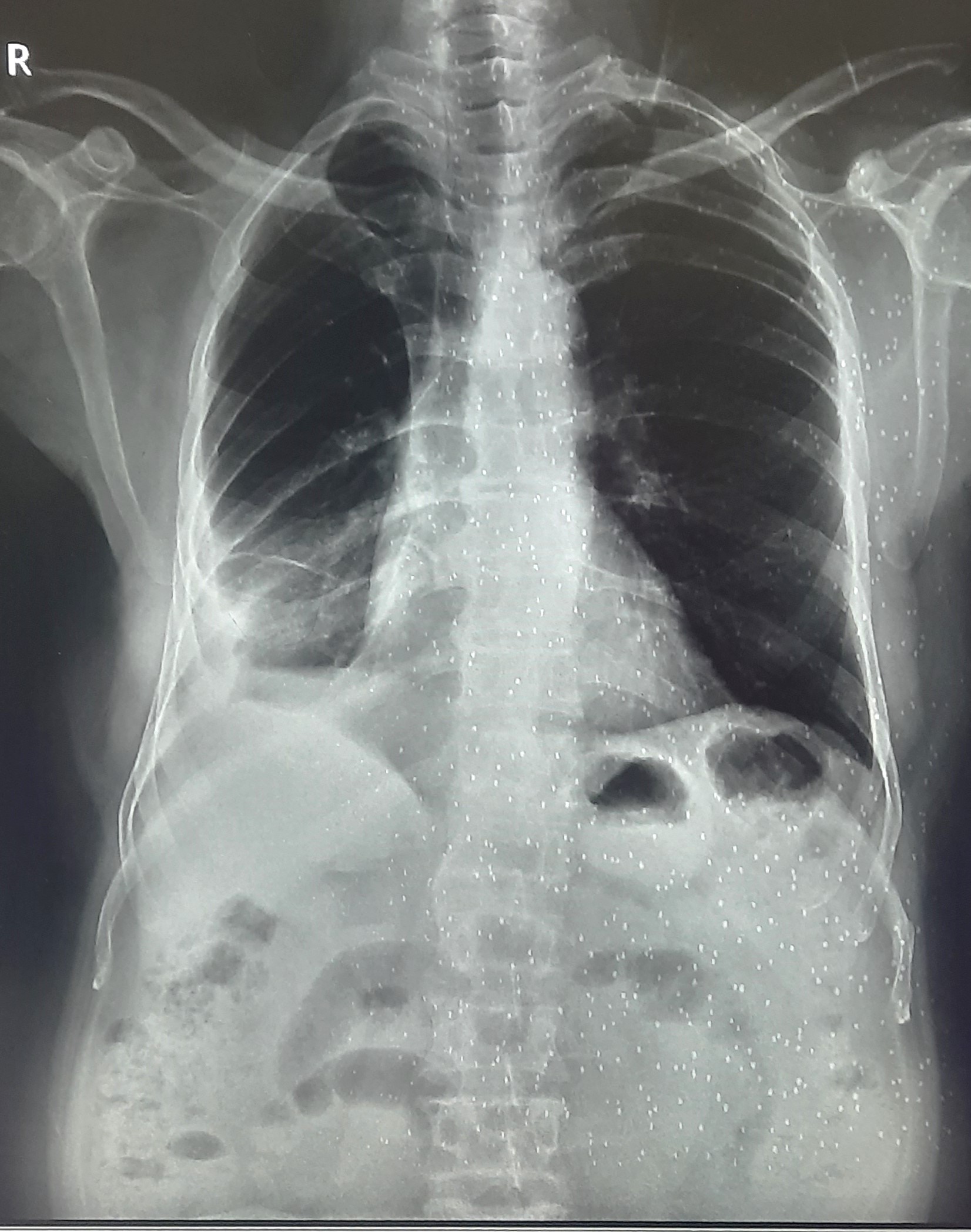
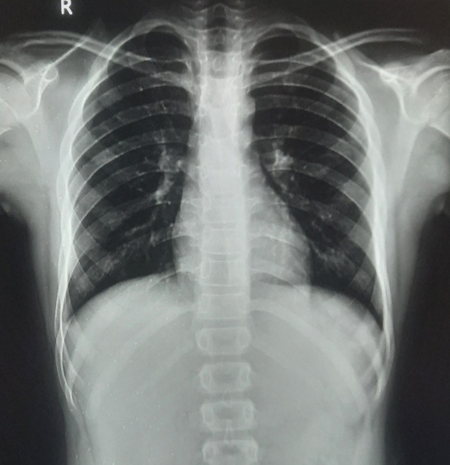
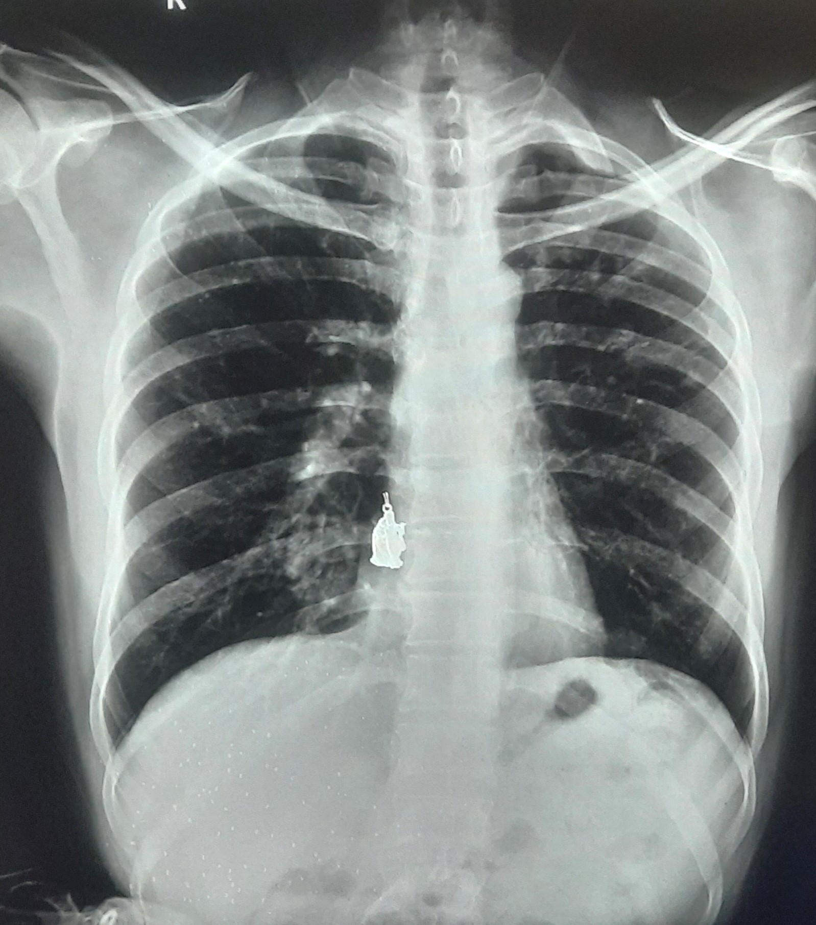
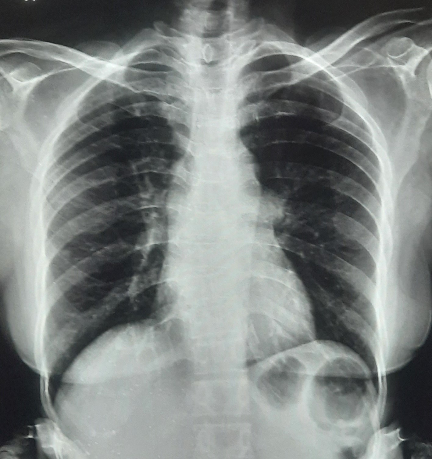
| 207 | IGGMC, Nagpur, Nagpur | P2 | 29-4265 | SHUBHAM MARATHE | Consent taken on Paper | 27 Yrs. |
Provisional Diag : LEFT SIDED CLINICALLY DIAGNOSED PLEURAL EFFUSION
Final Diag : LEFT SIDED CLINICALLY DIAGNOSED TUBERCULAR EMPYMA ON ATT FROM 9.11.2024 |
TB Case (Confirmed) | LEFT SIDED CP ANGLE BLUNTING | Abnormality visible on x-ray |
View |
|||
| 208 | IGGMC, Nagpur, Nagpur | P2 | 29-4264 | SUNDARLAL SONSARE | Consent taken on Paper | 84 Yrs. |
Provisional Diag : PTB? LUNG METASTASIS?
Final Diag : Rt M2 BRONCHOGENIC CARCINOMA IN CHRONIC SMOKER |
TB Case (Confirmed) | CECT THORAX: WELL DEFINED SOFT TISSSUE LESION CXR: Rt M2 INHOMOGENEOUS OPACITY | Abnormality visible on x-ray |
View |
|||
| 209 | IGGMC, Nagpur, Nagpur | P2 | 29-4263 | MONIKA KAITHAL | Consent taken on Paper | 47 Yrs. |
Provisional Diag : B/L LUNG CONSOLIDATION PNEUMONIA?
Final Diag : B/L CONSOLIDATION/PNEUMONIA |
TB Case (Confirmed) | B/L LUNG CONSOLIDATION | Abnormality visible on x-ray |
View |
|||
| 210 | IGGMC, Nagpur, Nagpur | P2 | 29-4262 | MAHFUZ ALAM | Consent taken on Paper | 38 Yrs. |
Provisional Diag : OAD WITH VIRAL PNAUMONIA
Final Diag : VIRAL PNAUMONIA WITH HBSAG +Ve |
TB Case (Confirmed) | USG THOREX: THIN STRACK CF FLUID IN B/L PLURAL SPALLER, MRCT THOREX: MILD CORDIOMEGALY, CXR: Lt L2 HAZINESS | Abnormality visible on x-ray |
View |
|||
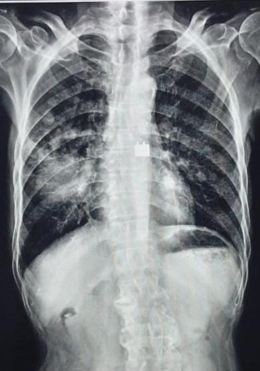
| 211 | IGGMC, Nagpur, Nagpur | P2 | 29-4261 | DHANRAJ HEDAU | Consent taken on Paper | 65 Yrs. |
Provisional Diag : Lung mass with ? Malignancy
Final Diag : Lt lung mass with malignancy (T1 N1 M1) with pneumothorax |
Result awaited (Suspected TB/Non-TB) | Abnormality visible on x-ray |
View |
||||
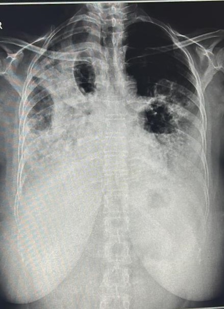
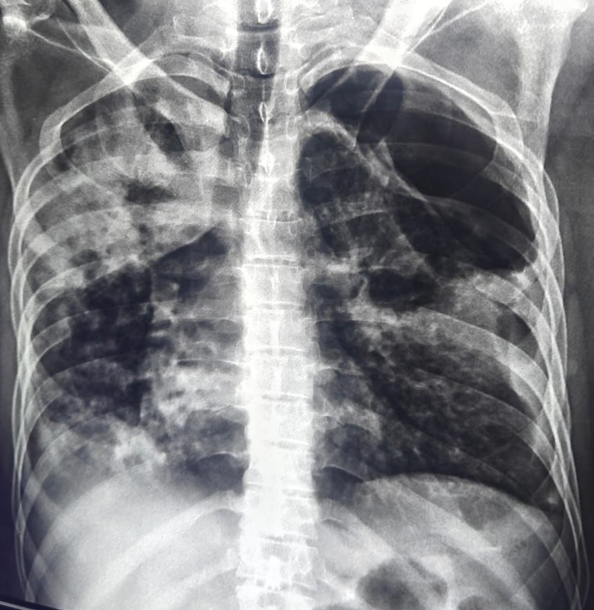
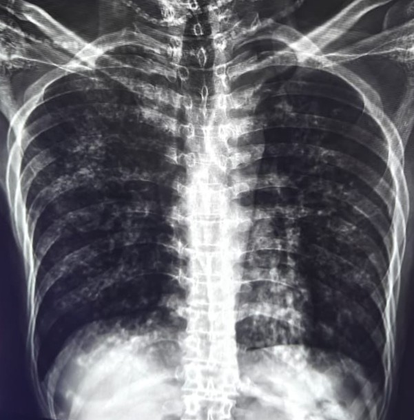
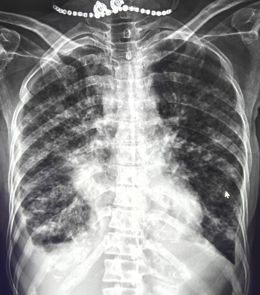
| 212 | IGGMC, Nagpur, Nagpur | P2 | 29-4260 | MALTI REVATKAR | Consent taken on Paper | 32 Yrs. |
Provisional Diag : B/L INFILTRATION ? PTB
Final Diag : Microbiologically Confirmed Pulmonary Tuberculosis |
TB Case (Confirmed) | B/L INFILTRATION | Abnormality visible on x-ray |
View |
|||
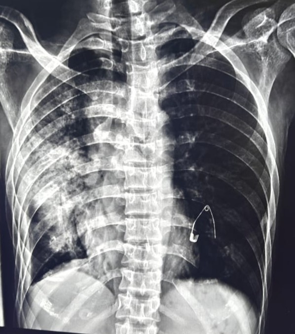
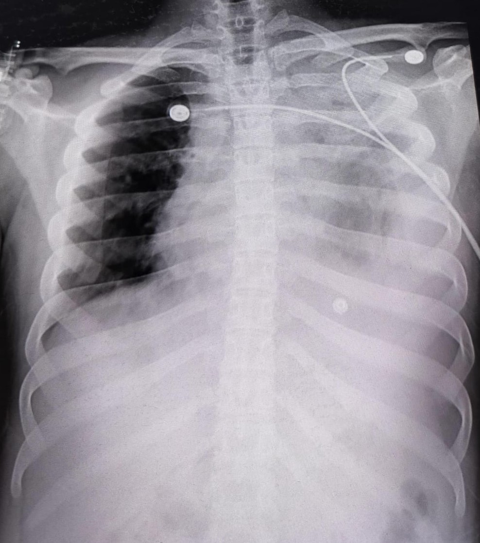
| 213 | IGGMC, Nagpur, Nagpur | P2 | 29-4259 | NARENDRA YADAV | Consent taken on Paper | 42 Yrs. |
Provisional Diag : Rt. SIDED LOCULATED PNEUMOTHORAX WITH Lt. ICD IN SINCE (15/11/24)
Final Diag : CLINICALLY DIAGNOSED TUBERCULSIS PLEURAL EFFUSION ON ATT (17/11/24) |
TB Case (Confirmed) | CXR: Rt. SIDED LOCULATED PNEUMOTHORAX Rt. U2+M2+L2 AND Lt. M2 CONSOLID? | Abnormality visible on x-ray |
View |
|||
| 214 | IGGMC, Nagpur, Nagpur | P2 | 29-4258 | SEEMA | Consent taken on Paper | 33 Yrs. |
Provisional Diag : Rt. SAIDED PNEUMONIA?
Final Diag : Rt. SIDED PNEUMONIA IN Rt. U2,N2,L2 WITH PTB? WITH OLD HISTY PTB |
TB Case (Confirmed) | CRX: Rt. SIDED HAZINESS | Abnormality visible on x-ray |
View |
|||
| 215 | IGGMC, Nagpur, Nagpur | P2 | 29-4257 | USHA RAUT | Consent taken on Paper | 60 Yrs. |
Provisional Diag : BILATERAL PNEUNONIA?
Final Diag : BILATERAL PNEUNONIA? Lt. U2 Rt. L2? CAP |
TB Case (Confirmed) | CXR: Rt. L2 AND Lt, M2 HAZINESS | Abnormality visible on x-ray |
View |
|||
| 216 | IGGMC, Nagpur, Nagpur | P2 | 29-4256 | ADITYA BOND | Consent taken on Paper | 21 Yrs. |
Provisional Diag : PNEUMONIA
Final Diag : EMPYMA WITH Lt SAIDED SYNPNEUMONIC EFFUSION WITH T2RF WITH SEPSIS WITH INTELLECTUAL DISABILITY WETH HBSAG +VE |
TB Case (Confirmed) | CXR: Lt LL PNEUMONIA | Abnormality visible on x-ray |
View |
|||
| 217 | IGGMC, Nagpur, Nagpur | P2 | 29-4255 | MOHD. HARUN | Consent taken on Paper | 62 Yrs. |
Provisional Diag : COPD
Final Diag : COPD/ Rt. LL IN Ex. BIDI,SOMKEY |
TB Case (Confirmed) | CXR BILATERAL HYPERINFLATION | Abnormality visible on x-ray |
View |
|||
| 218 | IGGMC, Nagpur, Nagpur | P2 | 29-4254 | SONAM ANSARI | Consent taken on Paper | 17 Yrs. |
Provisional Diag : microbiology confirmed PTB
Final Diag : microbiology confirmed PTB TUBERCULAR WITH ? TB MENINGITRS ON ATT 25/11/24 |
TB Case (Confirmed) | BILATERAL INFILTRATION | Abnormality visible on x-ray | X | |||
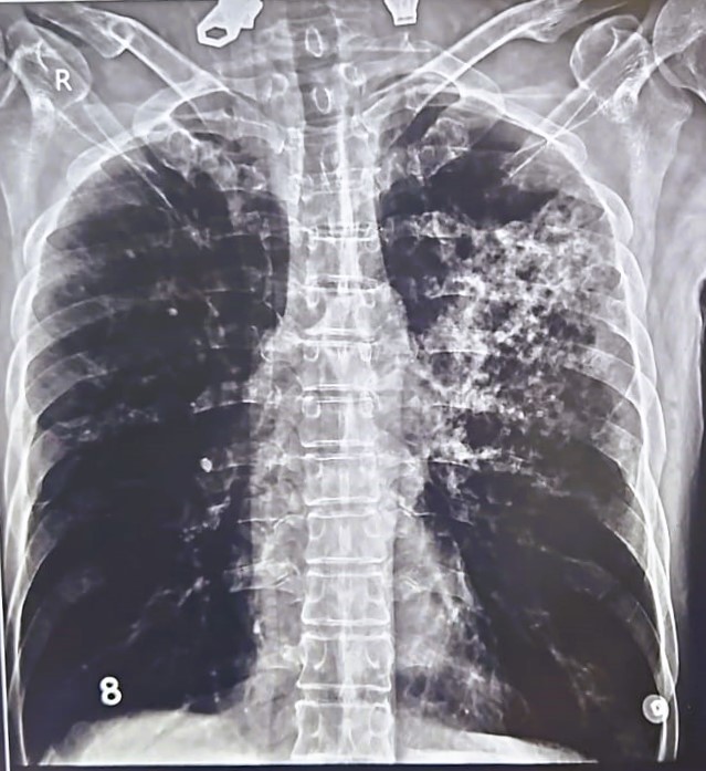
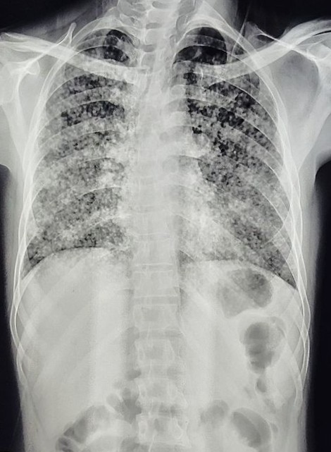
| 219 | IGGMC, Nagpur, Nagpur | P2 | 29-4253 | BACCHO CHAUDHARI | Consent taken on Paper | 47 Yrs. |
Provisional Diag : MILLIARY TB
Final Diag : BILATERAL INFILTRATION WITH MILLIARY SHADOWS |
TB Case (Confirmed) | BILATERAL INFILTRATION WITH MILLIARY SHADOWS | Abnormality visible on x-ray |
View |
|||
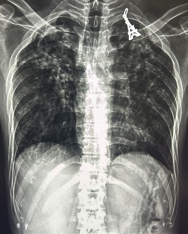
| 220 | IGGMC, Nagpur, Nagpur | P2 | 29-4252 | AMOL PAUNIKAR | Consent taken on Paper | 36 Yrs. |
Provisional Diag : BILATERAL INFILTRATION ? MILLIARY TB
Final Diag : MILLIARY TB |
TB Case (Confirmed) | MILLIARY TB | Abnormality visible on x-ray |
View |
|||
| 221 | IGGMC, Nagpur, Nagpur | P2 | 29-4251 | IKBAL KHAN | Consent taken on Paper | 52 Yrs. |
Provisional Diag : ?
Final Diag : BILATERAL tubercular pleural effusion |
TB Case (Confirmed) | BILATERAL CP ANGLE BLUNTING/left lower zone opacity | Abnormality visible on x-ray |
View |
|||
| 222 | IGGMC, Nagpur, Nagpur | P2 | 29-4250 | RITESH UIKEY | Consent taken on Paper | 34 Yrs. |
Provisional Diag : alcohol kharra katta
Final Diag : microbiology confirmed PTB in a come of trak pulmonary tuberculosis |
TB Case (Confirmed) | Rt UL Infiltration | Abnormality visible on x-ray |
View |
|||
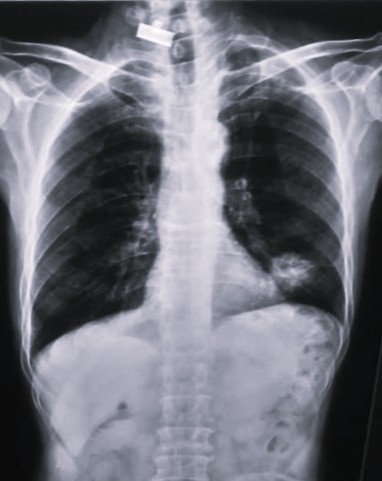
| 223 | IGGMC, Nagpur, Nagpur | P2 | 29-4249 | GITABAI SHENDE | Consent taken on Paper | 38 Yrs. |
Provisional Diag : LIVER AND LUNG METASTASIS
Final Diag : LIVER AND LUNG METASTASIS |
Non-TB Case (Confirmed) | BILATERAL CP ANGLE BLUNTING | Abnormality visible on x-ray |
View |
|||
| 224 | IGGMC, Nagpur, Nagpur | P2 | 29-4248 | Samruddhi Kamojia | Consent taken on Paper | 18 Yrs. |
Provisional Diag : Pre-Employment Medical fitness
Final Diag : (CxR- Left Lung Middle Zone Fibrosis) |
Non-TB Case (Confirmed) | Abnormality visible on x-ray |
View |
||||
| 225 | IGGMC, Nagpur, Nagpur | P2 | 29-4247 Follow-up of 29-2207 |
Suraj Raut | Consent taken on Paper | 34 Yrs. |
Provisional Diag : DS-TB Follow-Up
Final Diag : Pulmonary Tuberculosis (CxR- Right Upper lobe Collapse) |
TB Case (Confirmed) | Abnormality visible on x-ray |
View |
||||
| 226 | IGGMC, Nagpur, Nagpur | P2 | 29-4246 | Sonu Sondhiya | Consent taken on Paper | 34 Yrs. |
Provisional Diag : PTB Reactivation
Final Diag : Pulmonary Tuberculosis |
TB Case (Confirmed) | Abnormality visible on x-ray |
View |
||||
| 227 | IGGMC, Nagpur, Nagpur | P2 | 29-4245 | Durga Kadu | Consent taken on Paper | 24 Yrs. |
Provisional Diag : Chest Pain Under Evaluation
Final Diag : ? |
Non-TB Case (Confirmed) | Abnormality visible on x-ray |
View |
||||
| 228 | IGGMC, Nagpur, Nagpur | P2 | 29-4244 | Prabha Wasnik | Consent taken on Paper | 65 Yrs. |
Provisional Diag : Lower Respiratory Tract Infection
Final Diag : ? |
Non-TB Case (Confirmed) | Abnormality visible on x-ray |
View |
||||
| 229 | IGGMC, Nagpur, Nagpur | P2 | 29-4243 | Faizal Khan | Consent taken on Paper | 28 Yrs. |
Provisional Diag : Disseminated TB Follow-Up
Final Diag : Disseminated TB (CxR- Right Sided Pneumothorax / TB Infiltration) |
TB Case (Confirmed) | Abnormality visible on x-ray |
View |
||||
| 230 | IGGMC, Nagpur, Nagpur | P2 | 29-4242 | Shabana Bano | Consent taken on Paper | 35 Yrs. |
Provisional Diag : ?
Final Diag : Plural Effusion (CxR- Left Sided Plural Effusion/ Bilateral CP Angle Blunted) |
Non-TB Case (Confirmed) | Abnormality visible on x-ray |
View |
||||
| 231 | IGGMC, Nagpur, Nagpur | P2 | 29-4241 | Amir Khan | Consent taken on Paper | 30 Yrs. |
Provisional Diag : MDR TB follow-Up
Final Diag : MDR TB (CxR- Bilateral Fibrosis) |
TB Case (Confirmed) | Abnormality visible on x-ray |
View |
||||
| 232 | IGGMC, Nagpur, Nagpur | P2 | 29-4240 | Ashok Dhanvijay | Consent taken on Paper | 65 Yrs. |
Provisional Diag : Lower Respiratory Tract Infection
Final Diag : Pleural Effusion |
Non-TB Case (Confirmed) | Abnormality visible on x-ray |
View |
||||
| 233 | IGGMC, Nagpur, Nagpur | P2 | 29-4239 | Rahul Sunil Gaikawad | Consent taken on Paper | 20 Yrs. |
Provisional Diag : Pre-Employment Medical fitness
Final Diag : CxR- No Finding (Medical Fitness) |
Pure Normal Case (Cases with no complaint, NAD or medical fitness cases) | Normal- No significant abnormality seen in present chest X-ray | No abnormality visible on x-ray |
View |
|||
| 234 | IGGMC, Nagpur, Nagpur | P2 | 29-4238 | Raiza Bano | Consent taken on Paper | 38 Yrs. |
Provisional Diag : Patient Came Medical Fitness For Infertility
Final Diag : ? |
Pure Normal Case (Cases with no complaint, NAD or medical fitness cases) | No abnormality visible on x-ray |
View |
||||
| 235 | IGGMC, Nagpur, Nagpur | P2 | 29-4237 | Vishnukant Shriwas | Consent taken on Paper | 27 Yrs. |
Provisional Diag : ?
Final Diag : ? |
Special Normal (Cases with complaints or abnormality in x-ray) | No abnormality visible on x-ray |
View |
||||
| 236 | IGGMC, Nagpur, Nagpur | P2 | 29-4236 | Jagdish Shukla | Consent taken on Paper | 57 Yrs. |
Provisional Diag : ?
Final Diag : ? |
Special Normal (Cases with complaints or abnormality in x-ray) | No abnormality visible on x-ray |
View |
||||
| 237 | IGGMC, Nagpur, Nagpur | P2 | 29-4235 | Yash Bambhulkar | Consent taken on Paper | 18 Yrs. |
Provisional Diag : Chest Pain
Final Diag : Angina (CxR - No Finding) |
Special Normal (Cases with complaints or abnormality in x-ray) | No abnormality visible on x-ray |
View |
||||
| 238 | IGGMC, Nagpur, Nagpur | P2 | 29-4234 | Shamim Bano | Consent taken on Paper | 55 Yrs. |
Provisional Diag : Upper Respiratory Tract Infection
Final Diag : URTI With (CxR- Normal) |
Special Normal (Cases with complaints or abnormality in x-ray) | No abnormality visible on x-ray |
View |
||||
| 239 | IGGMC, Nagpur, Nagpur | P2 | 29-4233 | Mohamad Atif | Consent taken on Paper | 12 Yrs. |
Provisional Diag : Upper Respiratory Tract Infection
Final Diag : URTI With (CxR- Normal) |
Special Normal (Cases with complaints or abnormality in x-ray) | No abnormality visible on x-ray |
View |
||||
| 240 | IGGMC, Nagpur, Nagpur | P2 | 29-4232 | Ramgopal Dawari | Consent taken on Paper | 34 Yrs. |
Provisional Diag : Cough Under Evaluation
Final Diag : ? |
Special Normal (Cases with complaints or abnormality in x-ray) | No abnormality visible on x-ray |
View |
||||
| 241 | IGGMC, Nagpur, Nagpur | P2 | 29-4231 | Wasim Ansari | Consent taken on Paper | 39 Yrs. |
Provisional Diag : Upper Respiratory Tract Infection
Final Diag : URTI With (CxR- Normal) |
Special Normal (Cases with complaints or abnormality in x-ray) | No abnormality visible on x-ray |
View |
||||
| 242 | IGGMC, Nagpur, Nagpur | P2 | 29-4230 | Janki Chaurasiya | Consent taken on Paper | 65 Yrs. |
Provisional Diag : Neck Swelling
Final Diag : Neck Edema (CxR- No Finding) |
Special Normal (Cases with complaints or abnormality in x-ray) | No abnormality visible on x-ray |
View |
||||
| 243 | IGGMC, Nagpur, Nagpur | P2 | 29-4229 | Oshin Shendre | Consent taken on Paper | 18 Yrs. |
Provisional Diag : Pain & Swelling Over Neck
Final Diag : ? |
Special Normal (Cases with complaints or abnormality in x-ray) | No abnormality visible on x-ray |
View |
||||
| 244 | IGGMC, Nagpur, Nagpur | P2 | 29-4228 | Parasnath Tiwari | Consent taken on Paper | 53 Yrs. |
Provisional Diag : Upper Respiratory Tract Infection
Final Diag : URTI With (CxR- Normal) |
Special Normal (Cases with complaints or abnormality in x-ray) | No abnormality visible on x-ray |
View |
||||
| 245 | IGGMC, Nagpur, Nagpur | P2 | 29-4227 | Laxmi Khobragade | Consent taken on Paper | 52 Yrs. |
Provisional Diag : ?
Final Diag : ? |
Result awaited (Suspected TB/Non-TB) | ? |
View |
||||
| 246 | IGGMC, Nagpur, Nagpur | P2 | 29-4226 | Nishad Raj Kakde | Consent taken on Paper | 25 Yrs. |
Provisional Diag : Cough
Final Diag : ? |
Special Normal (Cases with complaints or abnormality in x-ray) | No abnormality visible on x-ray |
View |
||||
| 247 | IGGMC, Nagpur, Nagpur | P2 | 29-4225 | Koyal Warade | Consent taken on Paper | 24 Yrs. |
Provisional Diag : Abdomen Pain Under Evaluation
Final Diag : FOOD POISONING |
Special Normal (Cases with complaints or abnormality in x-ray) | No significant abnormality seen in present chest X-ray | No abnormality visible on x-ray |
View |
|||
| 248 | IGGMC, Nagpur, Nagpur | P2 | 29-4224 | Balram Dhankar | Consent taken on Paper | 35 Yrs. |
Provisional Diag : Cough & Cold
Final Diag : COMMON COLD/COUGH |
Special Normal (Cases with complaints or abnormality in x-ray) | NO SIGNIFICANT ABNORMALITY SEEN IN PRESENT CHEST X-RAY | No abnormality visible on x-ray |
View |
|||
| 249 | IGGMC, Nagpur, Nagpur | P2 | 29-4223 | Shahin Anjum | Consent taken on Paper | 60 Yrs. |
Provisional Diag : Uterine Cancer Follow-Up
Final Diag : Uterine Cancer |
Non-TB Case (Confirmed) | No significant abnormality seen in present chest X-ray | Abnormality visible on x-ray |
View |
|||
| 250 | IGGMC, Nagpur, Nagpur | P2 | 29-4222 | Shobha Shambharkar | Consent taken on Paper | 65 Yrs. |
Provisional Diag : Body Ache Under Evaluation
Final Diag : COMMON COLD |
Special Normal (Cases with complaints or abnormality in x-ray) | CHANGES OF COPD | No abnormality visible on x-ray |
View |













































