| # | Institute | Stage | Patient Id | Patient Name | Consent Taken | Age | Provisional and Final Diagnosis | Final Diagnosis category | Radiologist observation | Chest X-Ray finding | Chest X-Ray | Action | Delete | |
|---|---|---|---|---|---|---|---|---|---|---|---|---|---|---|
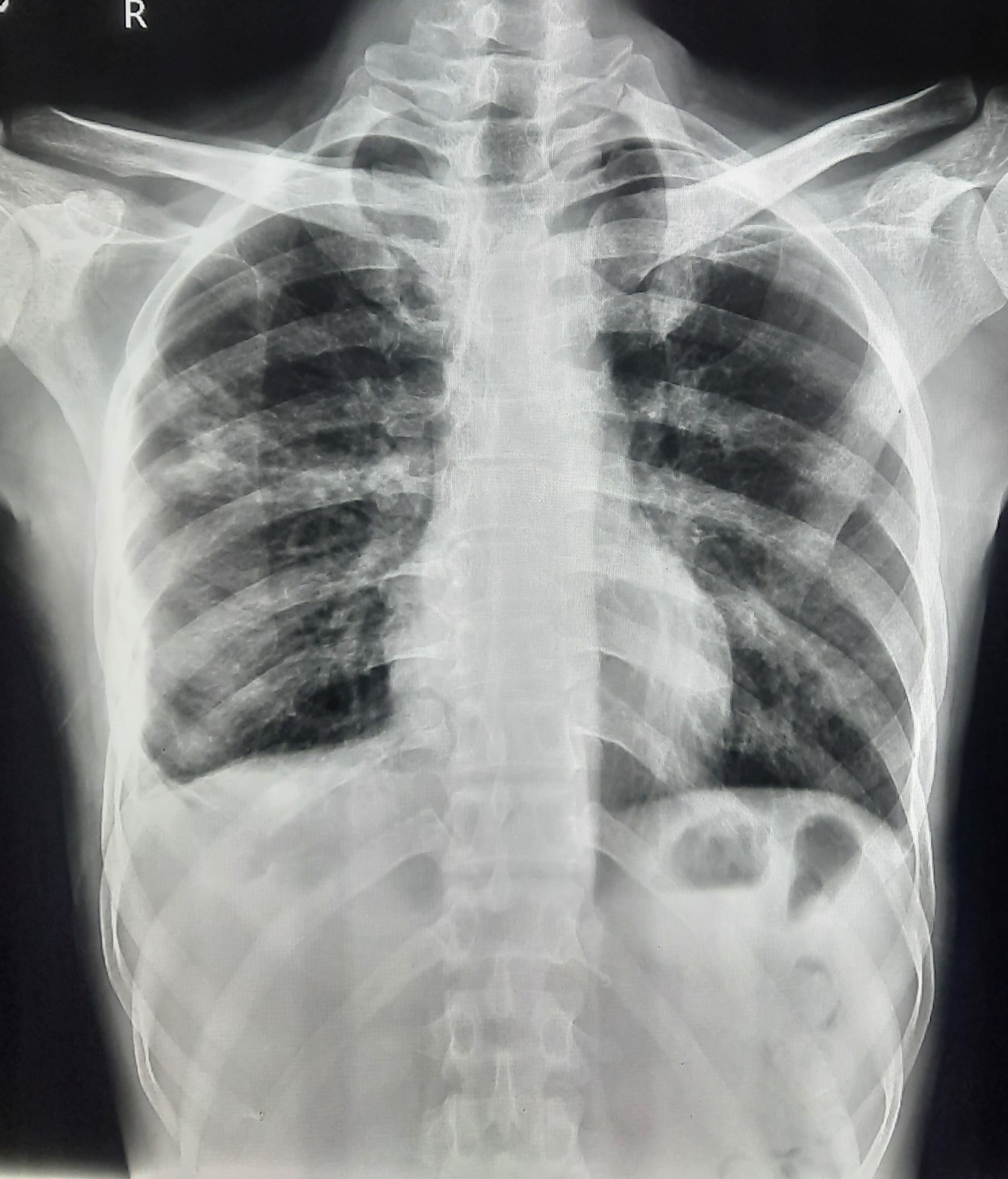
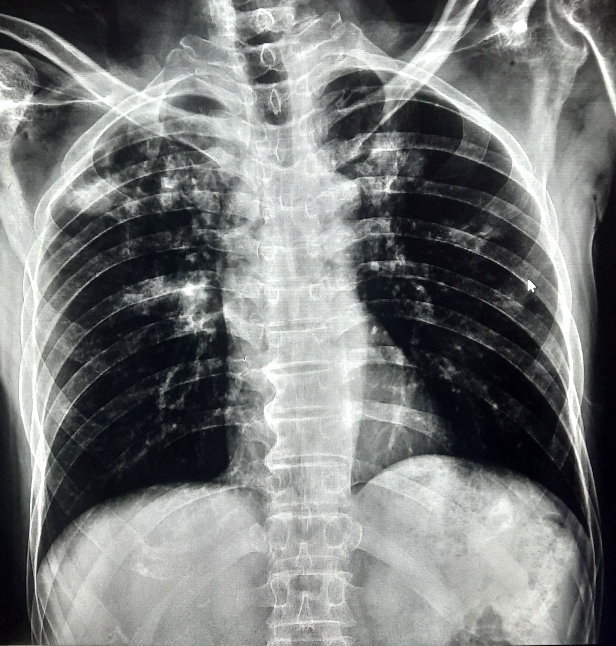
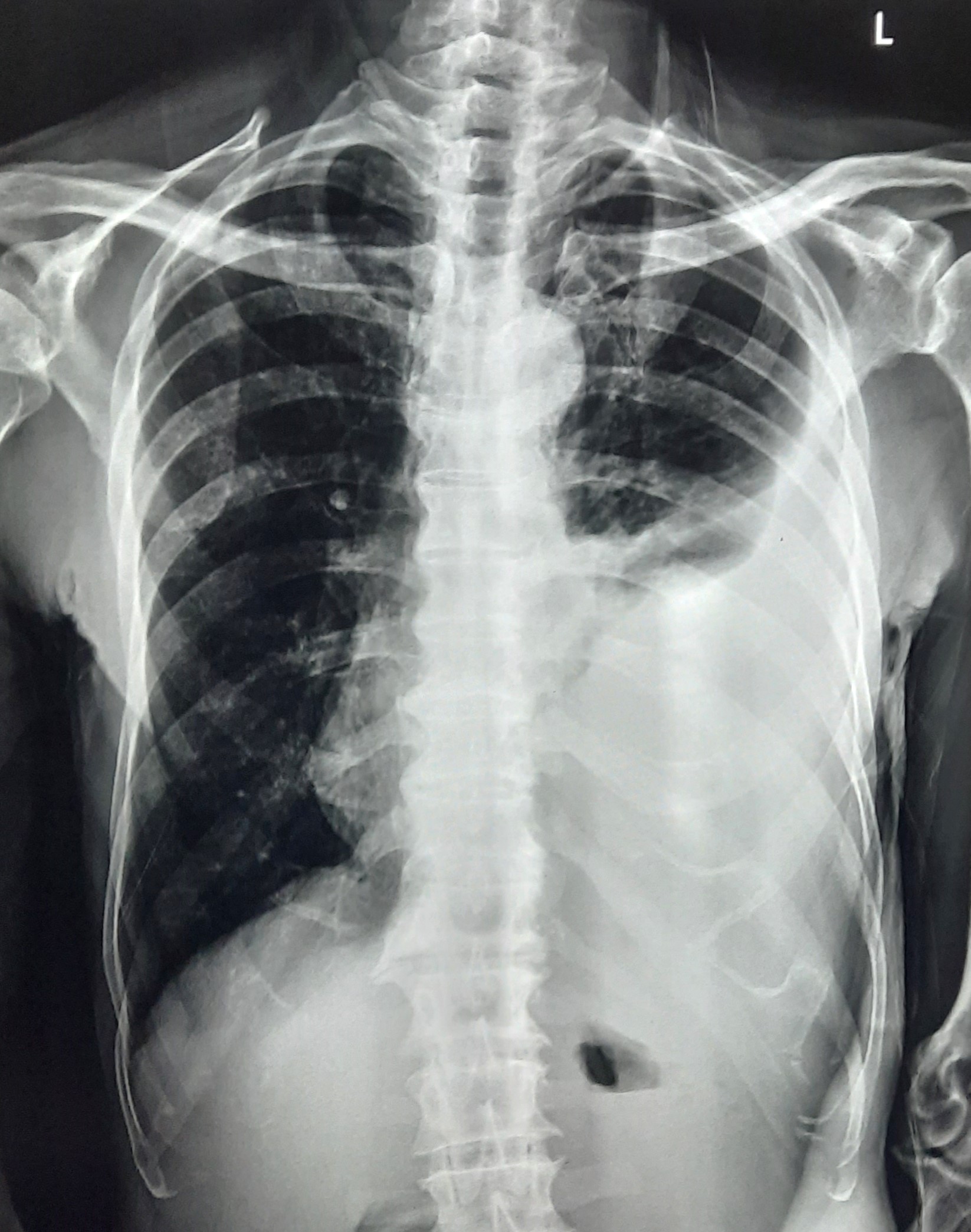
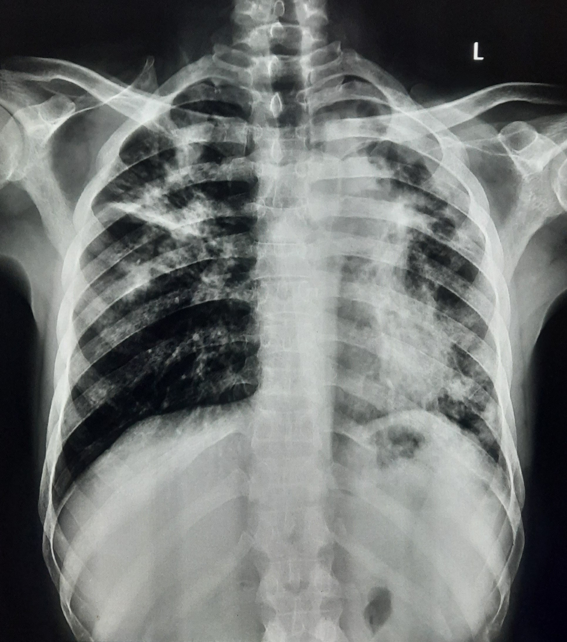
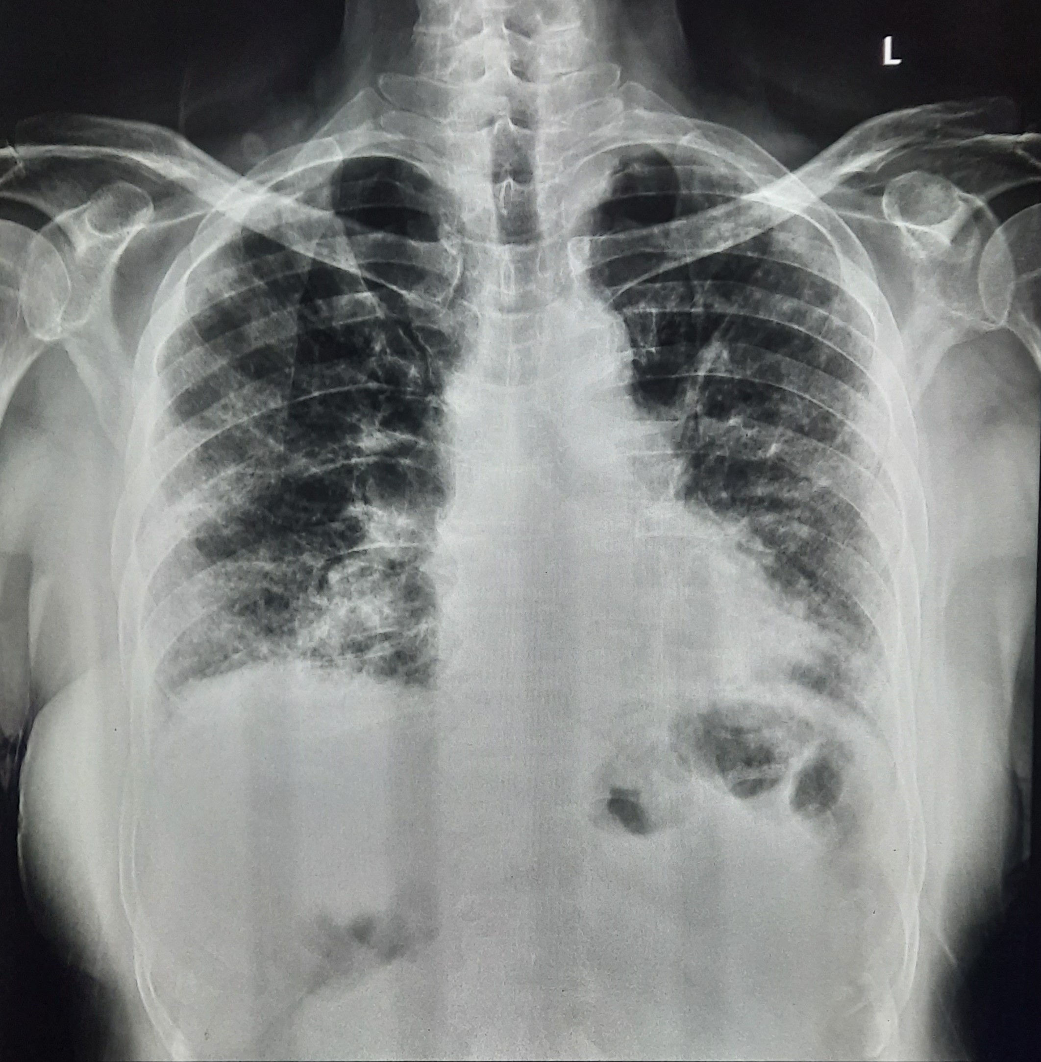
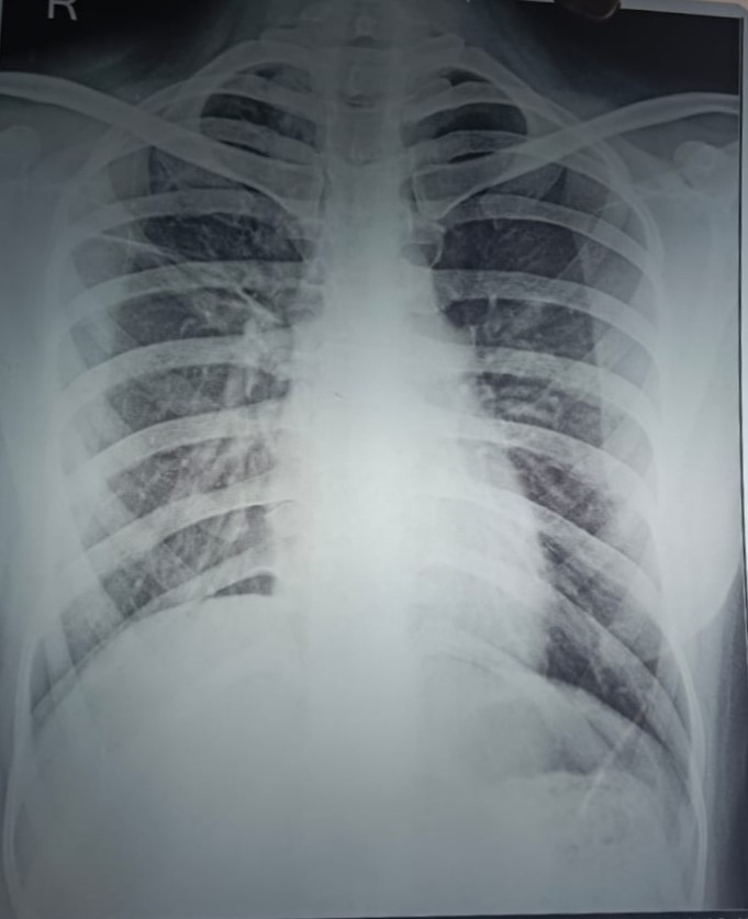
| 101 | IGGMC, Nagpur, Nagpur | P2 | 29-4371 | Ajihul Hag | Consent taken on Paper | 76 Yrs. |
Provisional Diag : Right sided Pleural effusion
Final Diag : Right Sided Loculated Pleural Effusion (CxR- Microbiologically Confirmed PTB With Clinically diagnosed Right sided Pleural effusion) |
TB Case (Confirmed) | Right Sided CP Angle Blunting, Right Lower Zone Homogenous Opacity Present | Abnormality visible on x-ray |
View |
|||
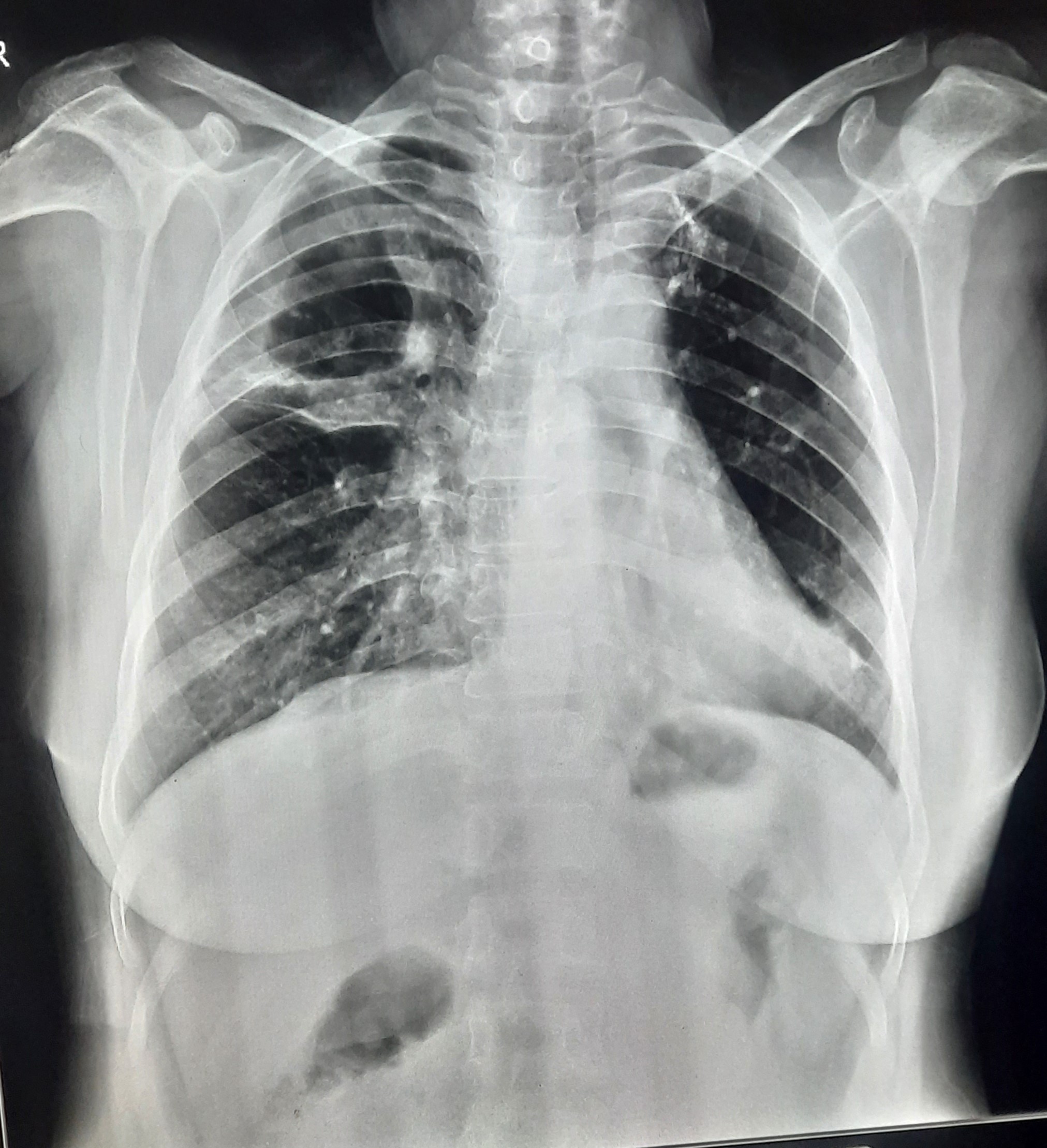
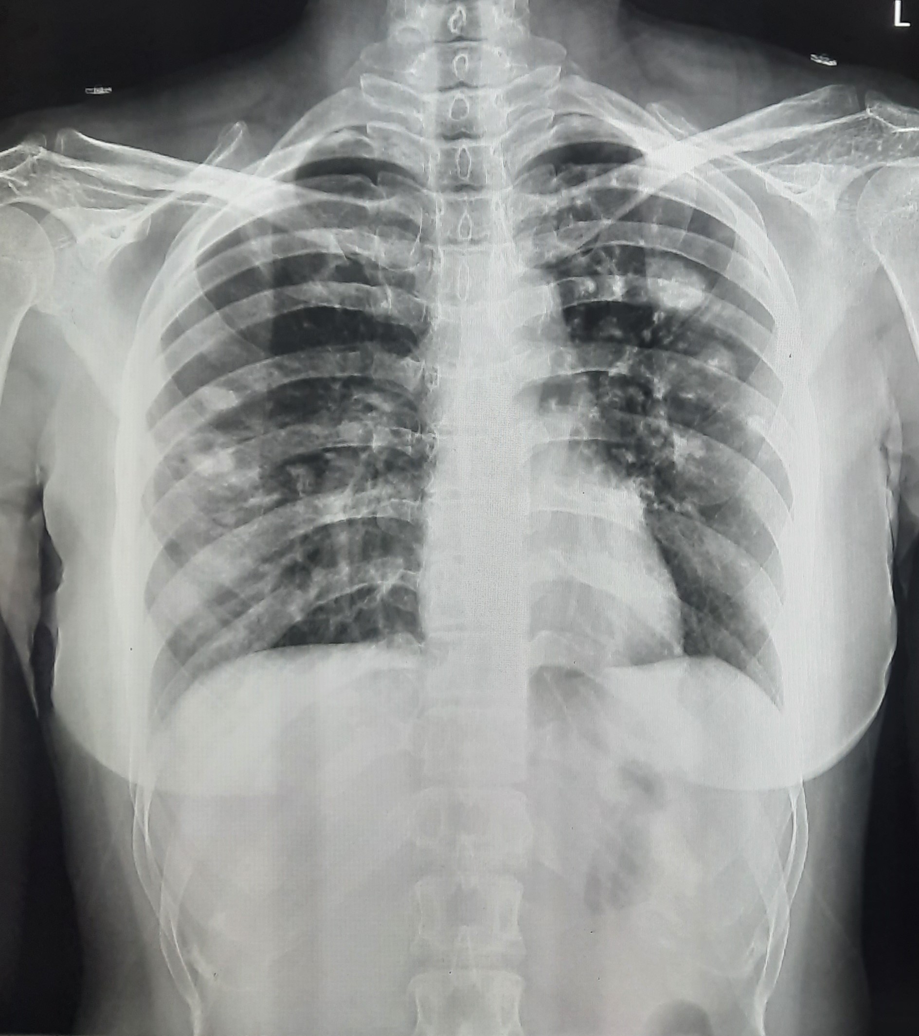
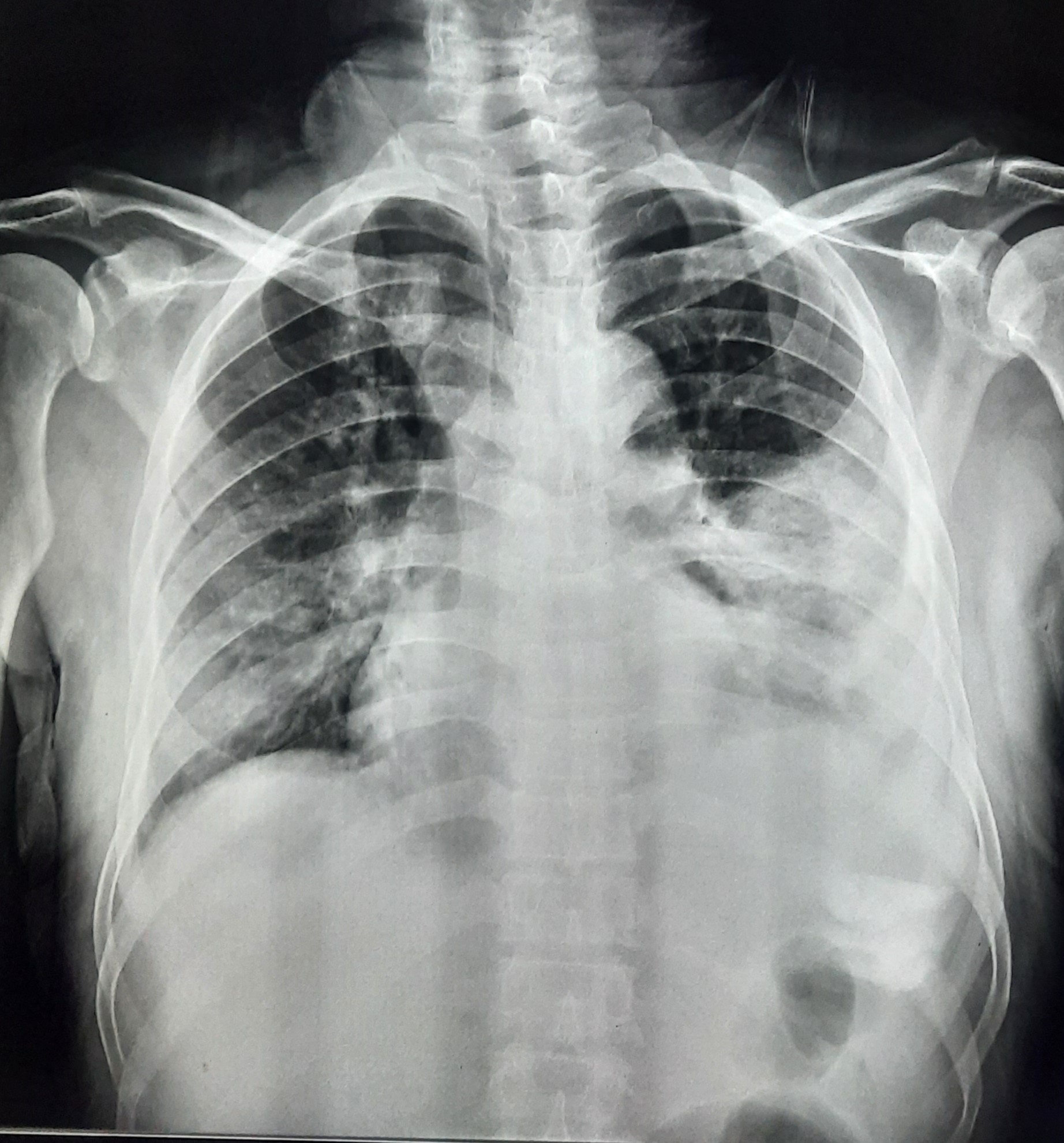
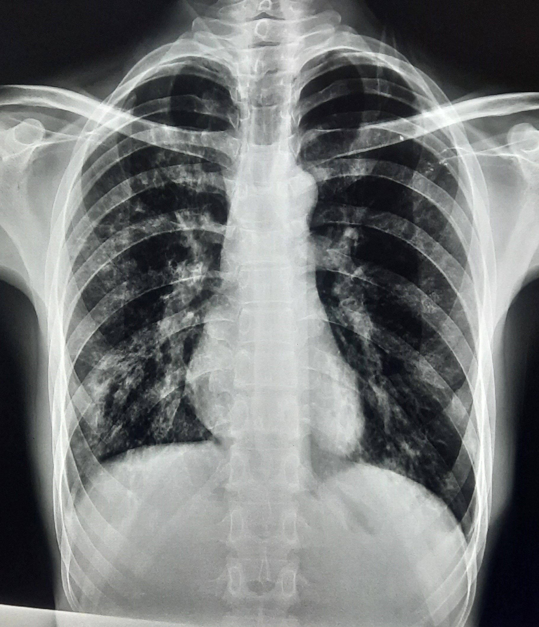
| 102 | IGGMC, Nagpur, Nagpur | P2 | 29-4370 | Prachi Bawane | Consent taken on Paper | 17 Yrs. |
Provisional Diag : PTB?
Final Diag : Active Pulmonary Tuberculosis With Tuberculi? Right Sided Pleural Effusion |
TB Case (Confirmed) | Bilateral ill Defined, No Homogenous Reticulonodular opacities, Right CP Angle Blunting | Abnormality visible on x-ray |
View |
|||
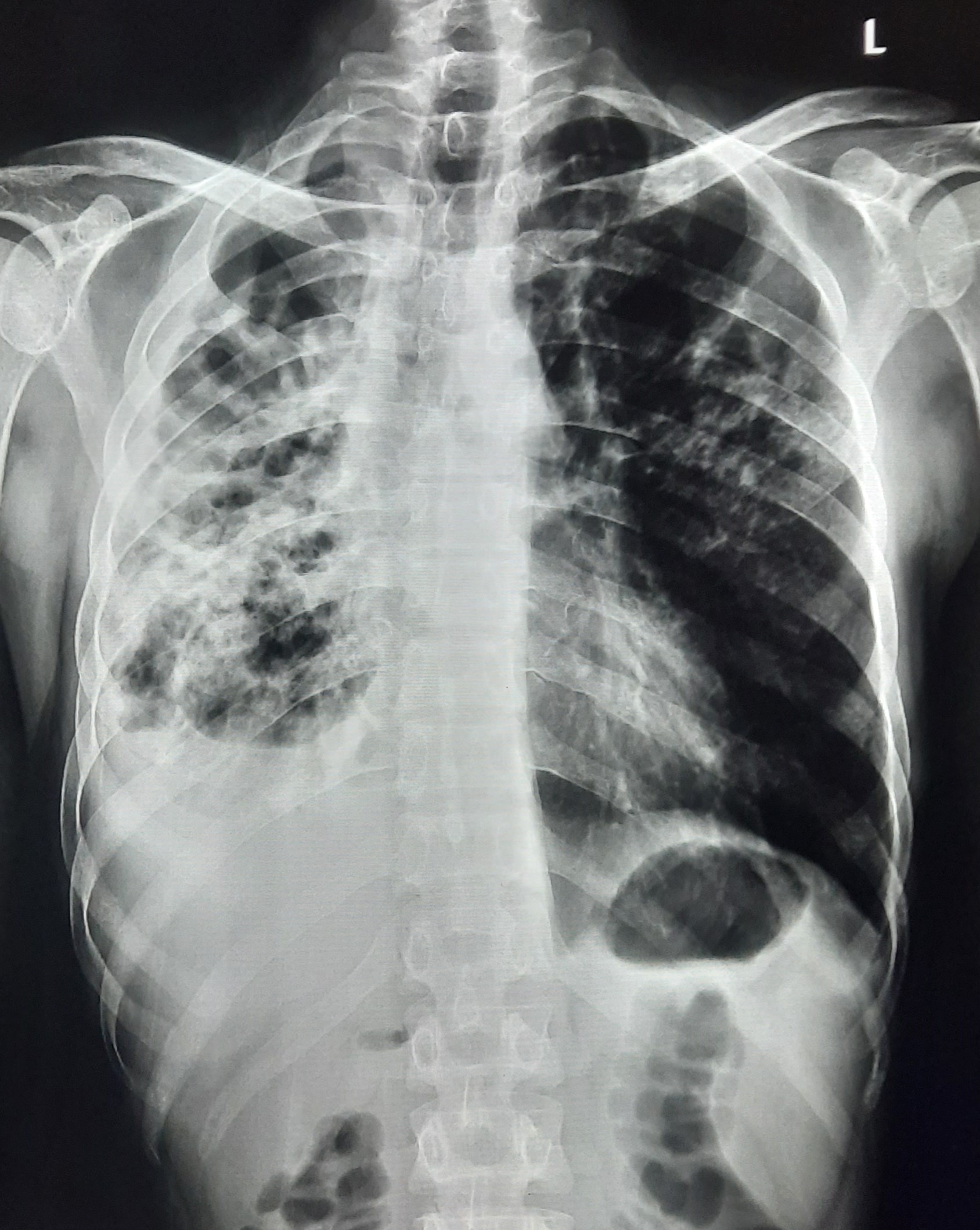
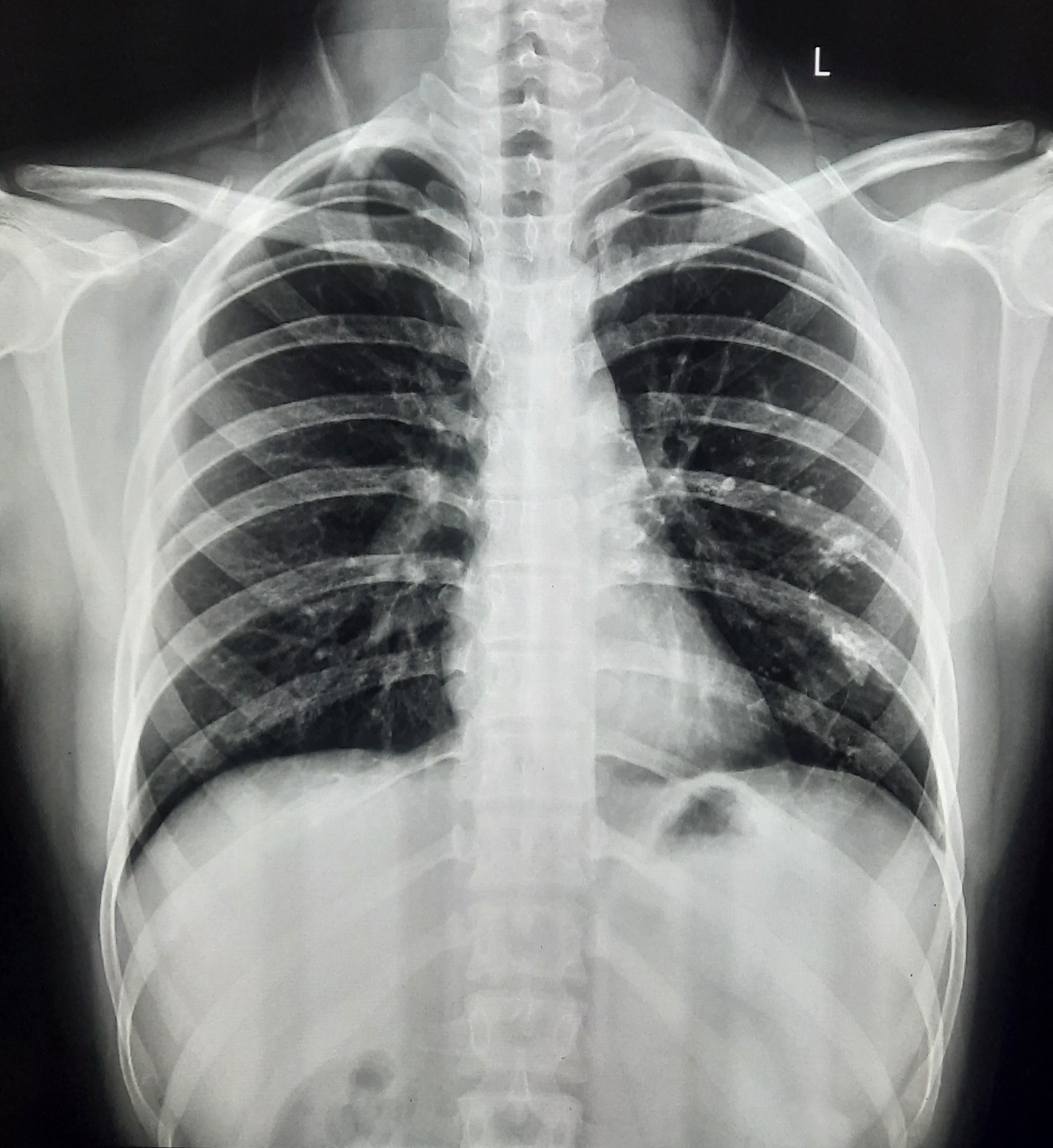
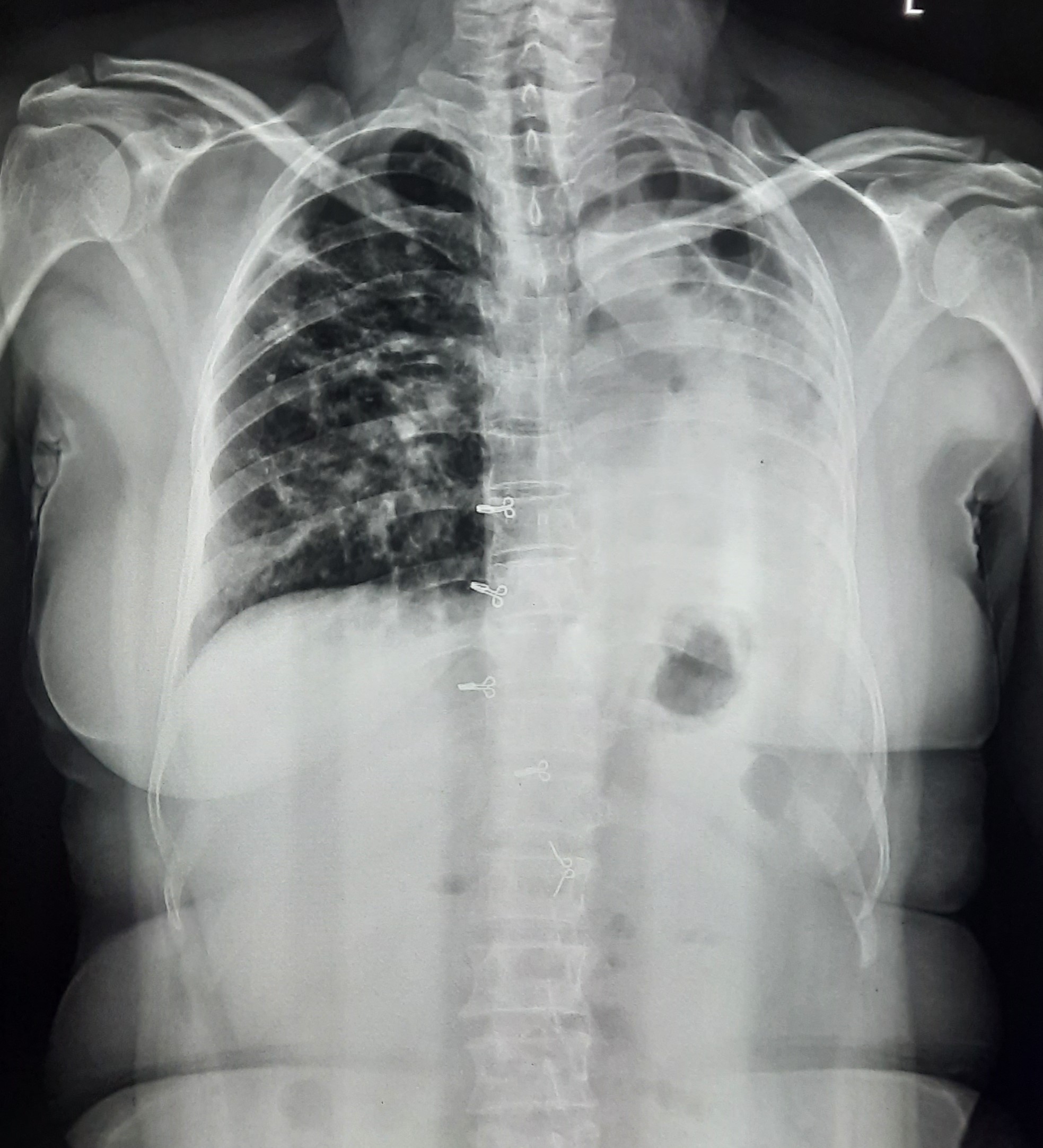
| 103 | IGGMC, Nagpur, Nagpur | P2 | 29-4369 | Vandana Kumbhare | Consent taken on Paper | 30 Yrs. |
Provisional Diag : Relapse PTB ?
Final Diag : Post TB sequalae |
Post TB Sequelae | Right Sided Fibro cavitary Changes Present, Right Pleural Thickening Present, Left Middle Zone linear opacity Heald Fibrotic Band ? | Abnormality visible on x-ray |
View |
|||
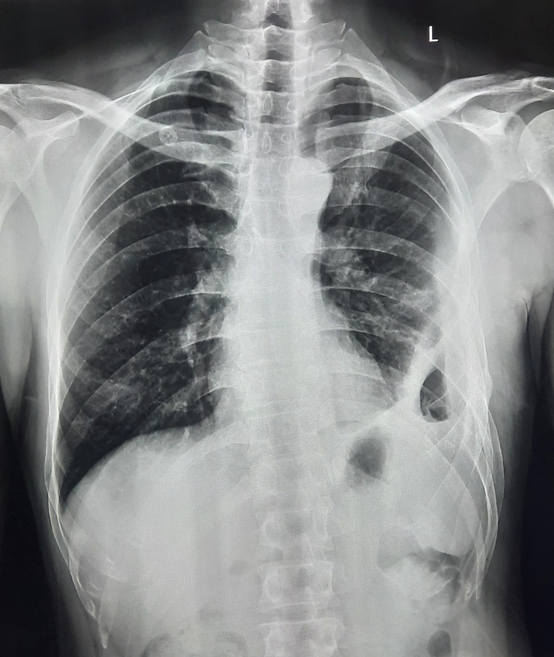
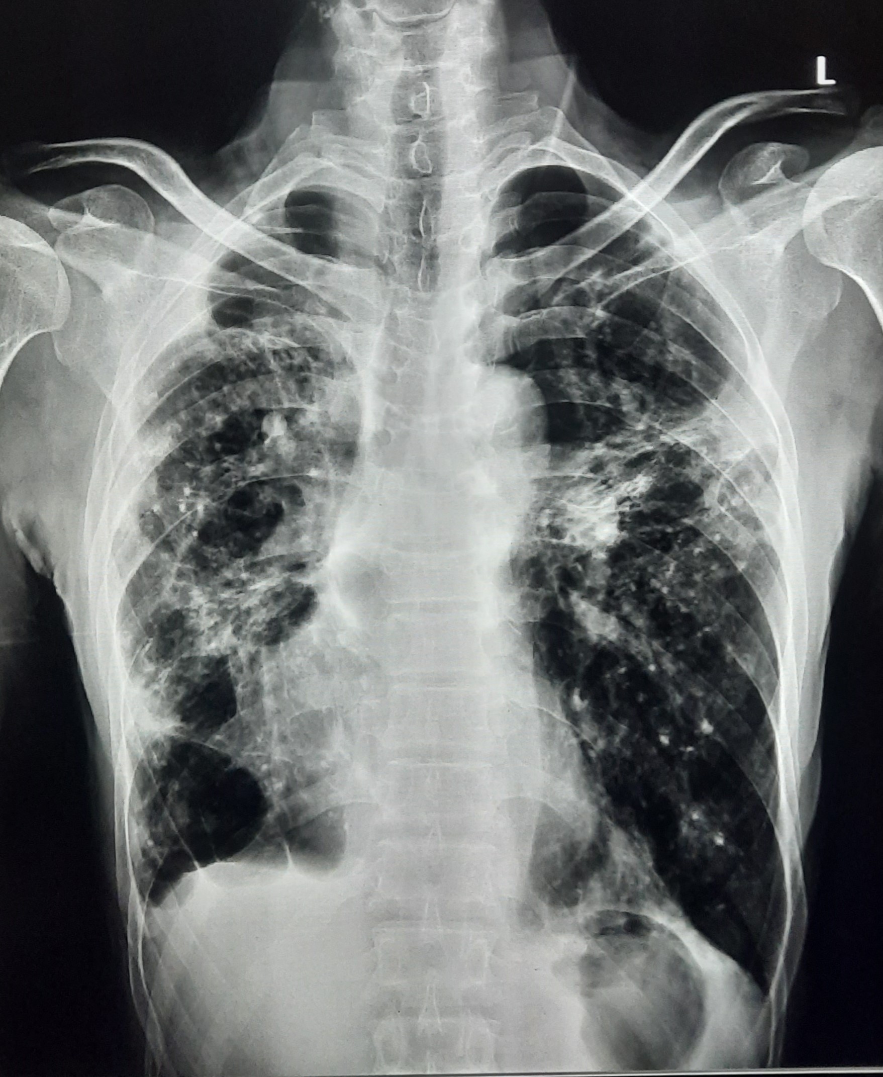
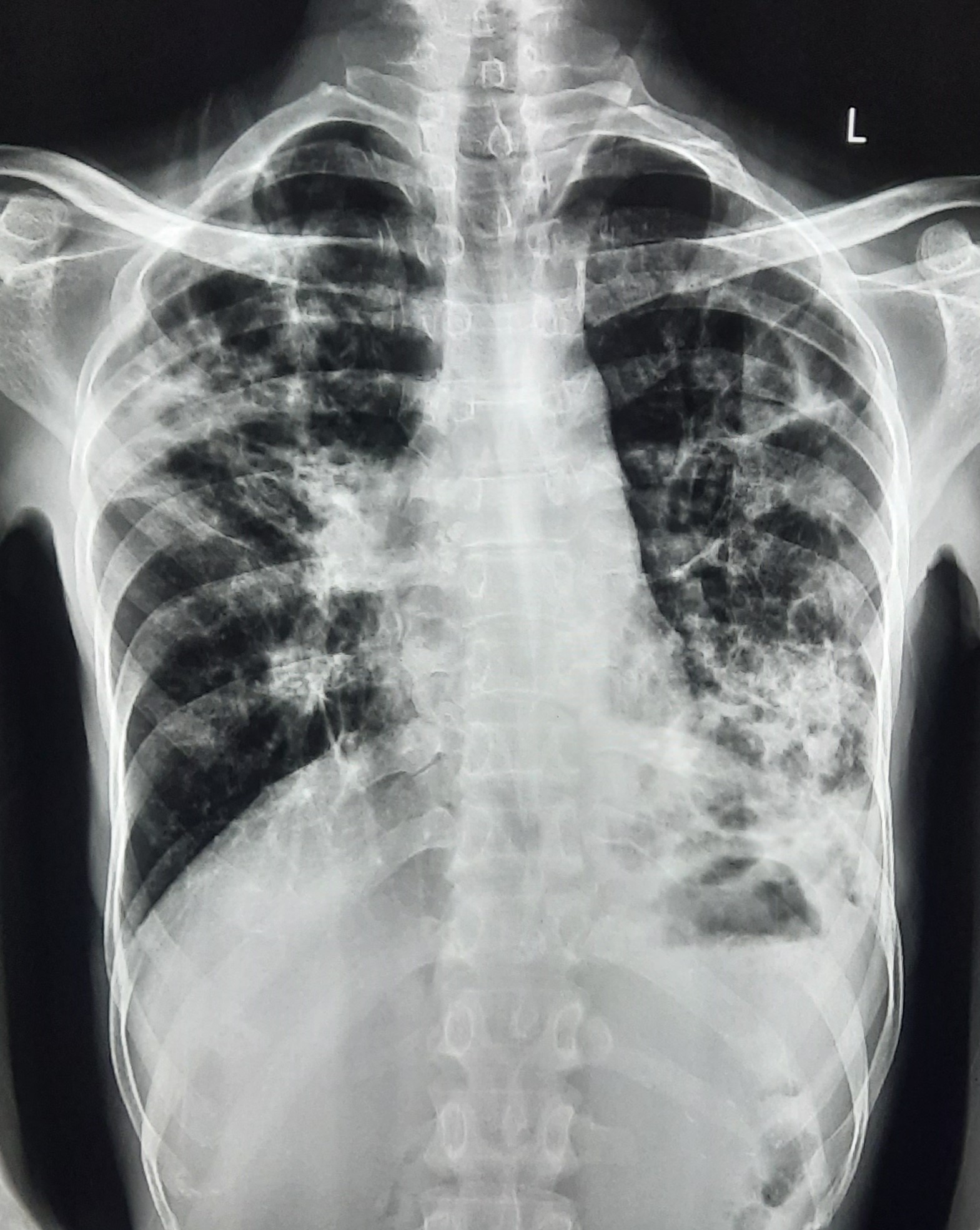
| 104 | IGGMC, Nagpur, Nagpur | P2 | 29-4368 | Shantabai Katare | Consent taken on Paper | 70 Yrs. |
Provisional Diag : Lower Respiratory Tract Infection
Final Diag : (CxR- Left Lung Consolidation) |
Result awaited (Suspected TB/Non-TB) | Left Mid Zone & Lower Zone Non-Homogenous Opacity Present | Abnormality visible on x-ray |
View |
|||
| 105 | IGGMC, Nagpur, Nagpur | P2 | 29-4367 | Kamlesh Yadav | Consent taken on Paper | 30 Yrs. |
Provisional Diag : Tubercular Pleural Effusion
Final Diag : Post TB With Reactivation |
TB Case (Confirmed) | Right CP Blunting, Right Upper Zone & Lower Zone Infiltration, Right Sided Pleural Fibrosis | Abnormality visible on x-ray |
View |
|||
| 106 | IGGMC, Nagpur, Nagpur | P2 | 29-4366 | Chando Pande | Consent taken on Paper | 45 Yrs. |
Provisional Diag : Relapse PTB
Final Diag : Post TB With Reactivation |
TB Case (Confirmed) | Left Upper Zone Calcification, Right Upper Zone Cavity Present | Abnormality visible on x-ray |
View |
|||
| 107 | IGGMC, Nagpur, Nagpur | P2 | 29-4365 | Vivek Indurkar | Consent taken on Paper | 36 Yrs. |
Provisional Diag : PTB Reactivation
Final Diag : Post TB With Reactivation |
TB Case (Confirmed) | Right lung fibro-bronchial and Fibro-calcific changes, fibro-cavitary changes In Right, Infiltration In Left Upper zone | Abnormality visible on x-ray |
View |
|||
| 108 | IGGMC, Nagpur, Nagpur | P2 | 29-4364 | Sanjay Nagpure | Consent taken on Paper | 30 Yrs. |
Provisional Diag : PTB?
Final Diag : (CxR- Right Upper Zone Consolidation) |
Result awaited (Suspected TB/Non-TB) | Right Upper Zone Fibrotic Band, right Upper Zone Non-Homogenous Opacity Present, ill Defined Haziness Left Apex Infiltration | Abnormality visible on x-ray |
View |
|||
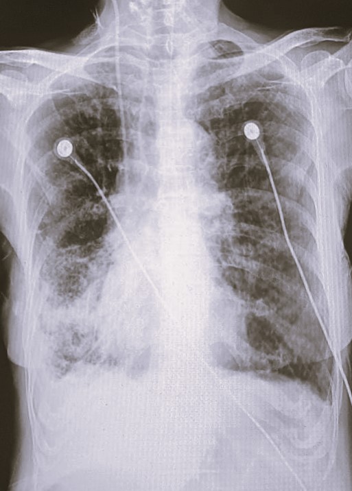
| 109 | IGGMC, Nagpur, Nagpur | P2 | 29-4363 | Leena Lokhande | Consent taken on Paper | 39 Yrs. |
Provisional Diag : Pleural Effusion
Final Diag : Pleural Effusion (Microbiologically Confirmed Right Sided Pleural Effusion) |
TB Case (Confirmed) | Bilateral Mid Zone & Lower zone Infiltration Changes Present, Right CP Angle Blunting Present, Overexposed X-ray | Abnormality visible on x-ray |
View |
|||
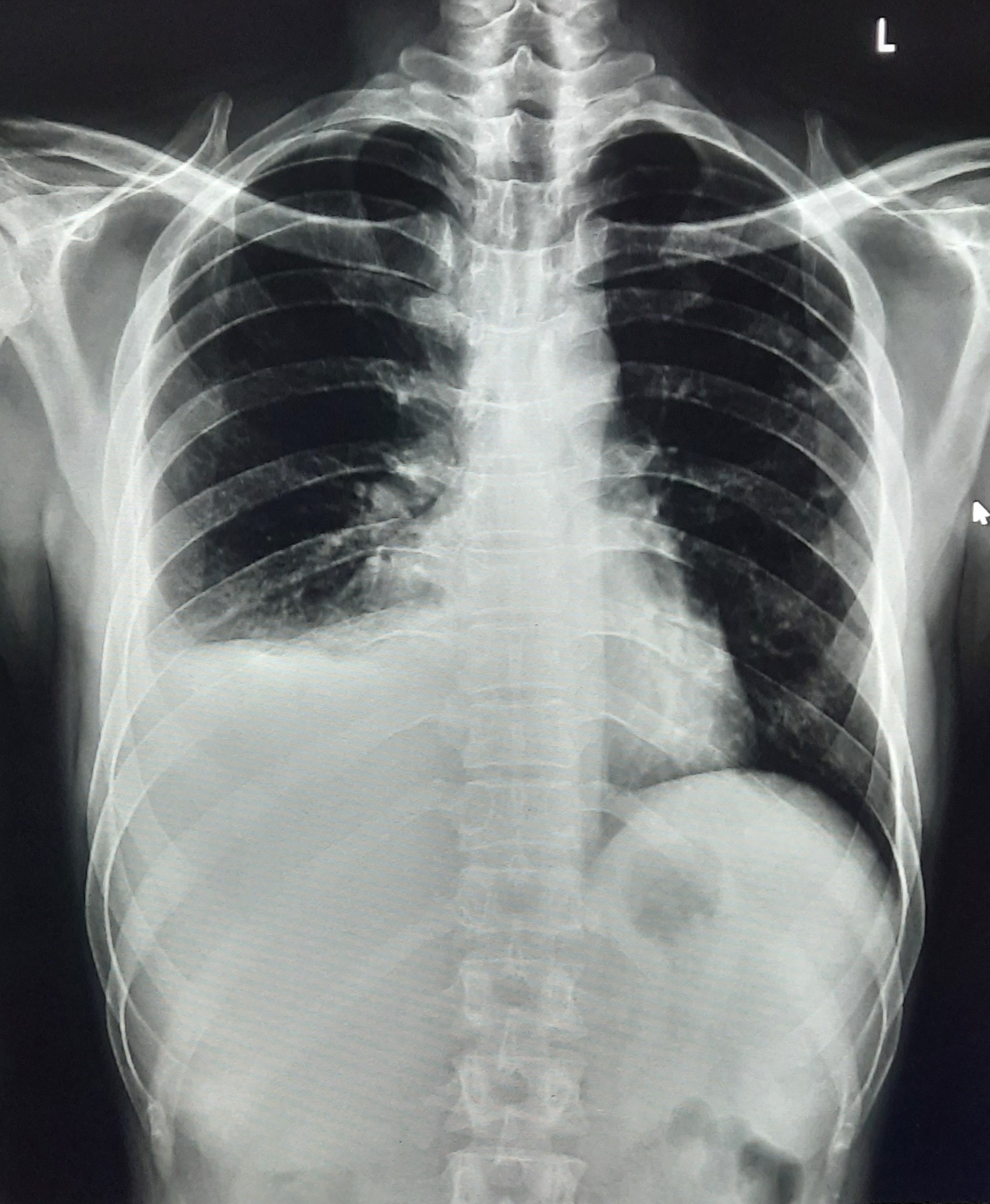
| 110 | IGGMC, Nagpur, Nagpur | P2 | 29-4362 | Kedar Ravi | Consent taken on Paper | 40 Yrs. |
Provisional Diag : EPTB (Clinically diagnosed)
Final Diag : EPTB (CxR- Left Sided Loculated Hydropneumothorax With Pleural Fibrosis) |
Non-TB Case (Confirmed) | Left Sided Loculated Hydropneumothorax With Pleural Fibrosis | Abnormality visible on x-ray |
View |
|||
| 111 | IGGMC, Nagpur, Nagpur | P2 | 29-4361 | Sunil Shahu | Consent taken on Paper | 53 Yrs. |
Provisional Diag : Pulmonary Tuberculosis Follow-Up
Final Diag : TB Infiltration |
TB Case (Confirmed) | Bilateral Upper Zone& Mid Zone TB Infiltration | Abnormality visible on x-ray |
View |
|||
| 112 | IGGMC, Nagpur, Nagpur | P2 | 29-4360 | Shweta Naidu | Consent taken on Paper | 35 Yrs. |
Provisional Diag : DR TB Follow-Up
Final Diag : Post TB sequalae With Reactivation |
Post TB Sequelae | Abnormality visible on x-ray |
View |
||||
| 113 | IGGMC, Nagpur, Nagpur | P2 | 29-4359 | Dhananjay Pakhale | Consent taken on Paper | 22 Yrs. |
Provisional Diag : Post TB Sequelae
Final Diag : Post TB sequalae |
Post TB Sequelae | Left Lower Zone & Mid Zone Calcified Lesion Present | Abnormality visible on x-ray |
View |
|||
| 114 | IGGMC, Nagpur, Nagpur | P2 | 29-4358 | Rajendra Gondhare | Consent taken on Paper | 16 Yrs. |
Provisional Diag : Lower Respiratory Tract Infection To S/O PTB Reactivation
Final Diag : Post TB sequalae |
Post TB Sequelae | Left Perihilar Calcification/ right Sided Pleural Thickening/ Fibro calcification Lesion Left Mid Zone ,Lower Zone & Right Mid Zone & Lower Zone | Abnormality visible on x-ray |
View |
|||
| 115 | IGGMC, Nagpur, Nagpur | P2 | 29-4357 | Narayan Karmore | Consent taken on Paper | 70 Yrs. |
Provisional Diag : Pleural Effusion
Final Diag : Pleural Effusion (CxR- Left sided Massive Pleural Effusion) |
Non-TB Case (Confirmed) | Left CP Angle Blunting/ Left Lower Zone & Mid zone Homogenous Opacity Present/ Massive Pleural Effusion In Left | Abnormality visible on x-ray |
View |
|||
| 116 | IGGMC, Nagpur, Nagpur | P2 | 29-4356 | Kashiram Tembhare | Consent taken on Paper | 55 Yrs. |
Provisional Diag : Post TB Sequelae
Final Diag : Pleuroparenchymal fibroelastosis |
Non-TB Case (Confirmed) | Abnormality visible on x-ray |
View |
||||
| 117 | IGGMC, Nagpur, Nagpur | P2 | 29-4355 | Vaishali Deshbhratar | Consent taken on Paper | 45 Yrs. |
Provisional Diag : Post TB With OAD
Final Diag : Post TB sequalae |
Post TB Sequelae | Right Middle Zone & Lower Zone Old Healed Calcific granulomas Present, Left Fibro cavitary Changes, Left sided Pleural fibrosis, Left sided CP Angle Blunting | Abnormality visible on x-ray |
View |
|||
| 118 | IGGMC, Nagpur, Nagpur | P2 | 29-4354 | Mohmad Zahir | Consent taken on Paper | 48 Yrs. |
Provisional Diag : ?
Final Diag : ? |
Result awaited (Suspected TB/Non-TB) | Bilateral (Right Upper Zone & Mid zone, Left lower zone, Mid zone & Upper zone) Old Heald Fibrocalcific Opacity | Abnormality visible on x-ray |
View |
|||
| 119 | IGGMC, Nagpur, Nagpur | P2 | 29-4353 | Rahul Rangari | Consent taken on Paper | 30 Yrs. |
Provisional Diag : Bilateral Pleural Effusion In Recently Diagnosed PLHIV
Final Diag : Pleural Effusion (CxR- Bilateral Left & Right Zone Pleural Effusion seen On X-ray) |
Non-TB Case (Confirmed) | Bilateral CP Angle Blunting Present, Left Side Lower Zone Haziness Present | Abnormality visible on x-ray |
View |
|||
| 120 | IGGMC, Nagpur, Nagpur | P2 | 29-4352 | Pratik Shahu | Consent taken on Paper | 18 Yrs. |
Provisional Diag : Pulmonary Tuberculosis?
Final Diag : ? |
Result awaited (Suspected TB/Non-TB) | Left Upper Zone Cavity Present With Bilateral Upper Zone & Mid zone Infiltration | Abnormality visible on x-ray |
View |
|||
| 121 | IGGMC, Nagpur, Nagpur | P2 | 29-4351 | Shagufta Bano | Consent taken on Paper | 27 Yrs. |
Provisional Diag : Pulmonary Tuberculosis Follow-Up
Final Diag : Pulmonary Tuberculosis |
TB Case (Confirmed) | Abnormality visible on x-ray |
View |
||||
| 122 | IGGMC, Nagpur, Nagpur | P2 | 29-4350 | Shabana Bee | Consent taken on Paper | 30 Yrs. |
Provisional Diag : ?
Final Diag : Post TB sequalae With Reactivation |
Post TB Sequelae | Calcified Lesion On Right upper Zone & Mid Zone Fibrotic Lesion Left Mid Zone | Abnormality visible on x-ray |
View |
|||
| 123 | IGGMC, Nagpur, Nagpur | P2 | 29-4349 | Dhammadip Wasnik | Consent taken on Paper | 35 Yrs. |
Provisional Diag : PTB Follow-up
Final Diag : Pulmonary Tuberculosis (Microbiologically Confirmed PTB) |
TB Case (Confirmed) | Abnormality visible on x-ray |
View |
||||
| 124 | IGGMC, Nagpur, Nagpur | P2 | 29-4348 | Anisa Begam | Consent taken on Paper | 50 Yrs. |
Provisional Diag : ?
Final Diag : Disseminated Kochs (Microbiologically Confirmed) |
Special Normal (Cases with complaints or abnormality in x-ray) | No abnormality visible on x-ray |
View |
||||
| 125 | IGGMC, Nagpur, Nagpur | P2 | 29-4347 | Simran Indurkar | Consent taken on Paper | 21 Yrs. |
Provisional Diag : Pulmonary Tuberculosis Follow-Up
Final Diag : Pulmonary Tuberculosis (Treated PTB To S/O Reactivation) |
TB Case (Confirmed) | Haziness fibrotic lesion Right Apex | Abnormality visible on x-ray |
View |
|||
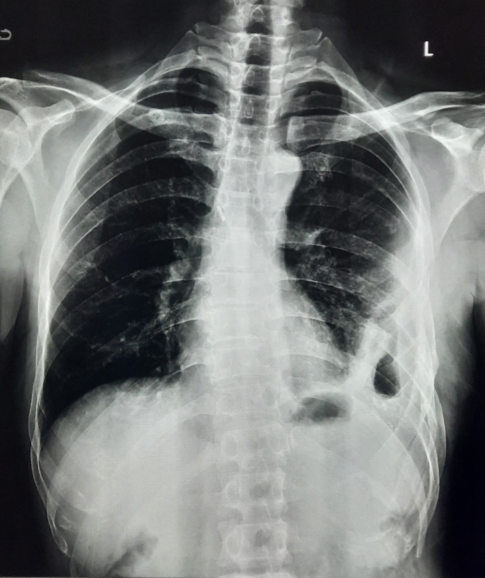
| 126 | IGGMC, Nagpur, Nagpur | P2 | 29-4346 | Ajay Varma | Consent taken on Paper | 28 Yrs. |
Provisional Diag : Lower Respiratory Tract Infection
Final Diag : ? |
Result awaited (Suspected TB/Non-TB) | Abnormality visible on x-ray |
View |
||||
| 127 | IGGMC, Nagpur, Nagpur | P2 | 29-4345 | Hiraman Tembhurne | Consent taken on Paper | 62 Yrs. |
Provisional Diag : Dyspnea
Final Diag : Post TB With Interstitial Lung Disease |
Post TB Sequelae | Bilateral Cystic Opacity Upper, Mid & Lower Zone/ Bilateral Reticular Opacites/ Bilateral Fibrotic Bands Present/ Decrease Lung Volume/ Few Old Calcific Nodules | Abnormality visible on x-ray |
View |
|||
| 128 | IGGMC, Nagpur, Nagpur | P2 | 29-4344 | Surendra Chaurassiya | Consent taken on Paper | 71 Yrs. |
Provisional Diag : Dyspnea
Final Diag : ILD (Interstitial Lung Disease) |
Non-TB Case (Confirmed) | Bilateral Mid Zone & Lower Zone Reticular shadows Present & Sparium Bilateral Upper zone | Abnormality visible on x-ray |
View |
|||
| 129 | IGGMC, Nagpur, Nagpur | P2 | 29-4343 | Santosh Shrivastav | Consent taken on Paper | 39 Yrs. |
Provisional Diag : Right Sided Laminated Pleural Effusion
Final Diag : Pleural Effusion |
Result awaited (Suspected TB/Non-TB) | Right Sided Blunting Of CP Angle & Right sided Lower Zone Homogenous Opacity Present | Abnormality visible on x-ray |
View |
|||
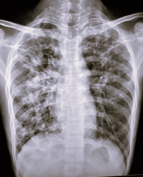
| 130 | IGGMC, Nagpur, Nagpur | P2 | 29-4342 | Suraj Kharvade | Consent taken on Paper | 25 Yrs. |
Provisional Diag : Lower Respiratory Tract Infection
Final Diag : CxR- Bilateral Bronchopneumonia |
TB Case (Confirmed) | Bilateral Right Upper Zone & Mid Zone & Left Lower Zone TB Infiltration Present | Abnormality visible on x-ray |
View |
|||
| 131 | IGGMC, Nagpur, Nagpur | P2 | 29-4341 Follow-up of 29-2136 |
Kedar Say | Consent taken on Paper | 39 Yrs. |
Provisional Diag : Left Empyema Thoracis
Final Diag : Empyema (CxR- Left Empyema With Hydropneumothorax With Left Pleural Fibrosis) |
Non-TB Case (Confirmed) | Left Hydropneumothorax With Pleural Fibrosis? | Abnormality visible on x-ray |
View |
|||
| 132 | IGGMC, Nagpur, Nagpur | P2 | 29-4340 | Ritesh Chaudhary | Consent taken on Paper | 30 Yrs. |
Provisional Diag : Post TB Sequelae
Final Diag : Post TB sequalae With Fibro Cavitary Changes |
Post TB Sequelae | Bilateral Upper Zone Fibro Cavitary Changes With Right Upper Zone Fungal Ball With Bilateral Haziness With Tenting Of Diaphragm | Abnormality visible on x-ray |
View |
|||
| 133 | IGGMC, Nagpur, Nagpur | P2 | 29-4339 | Veervati Rathod | Consent taken on Paper | 85 Yrs. |
Provisional Diag : COPD?
Final Diag : (CxR- Consolidation With Bronchiectasis) |
Non-TB Case (Confirmed) | Bilateral Lower Zone Consolidation | Abnormality visible on x-ray |
View |
|||
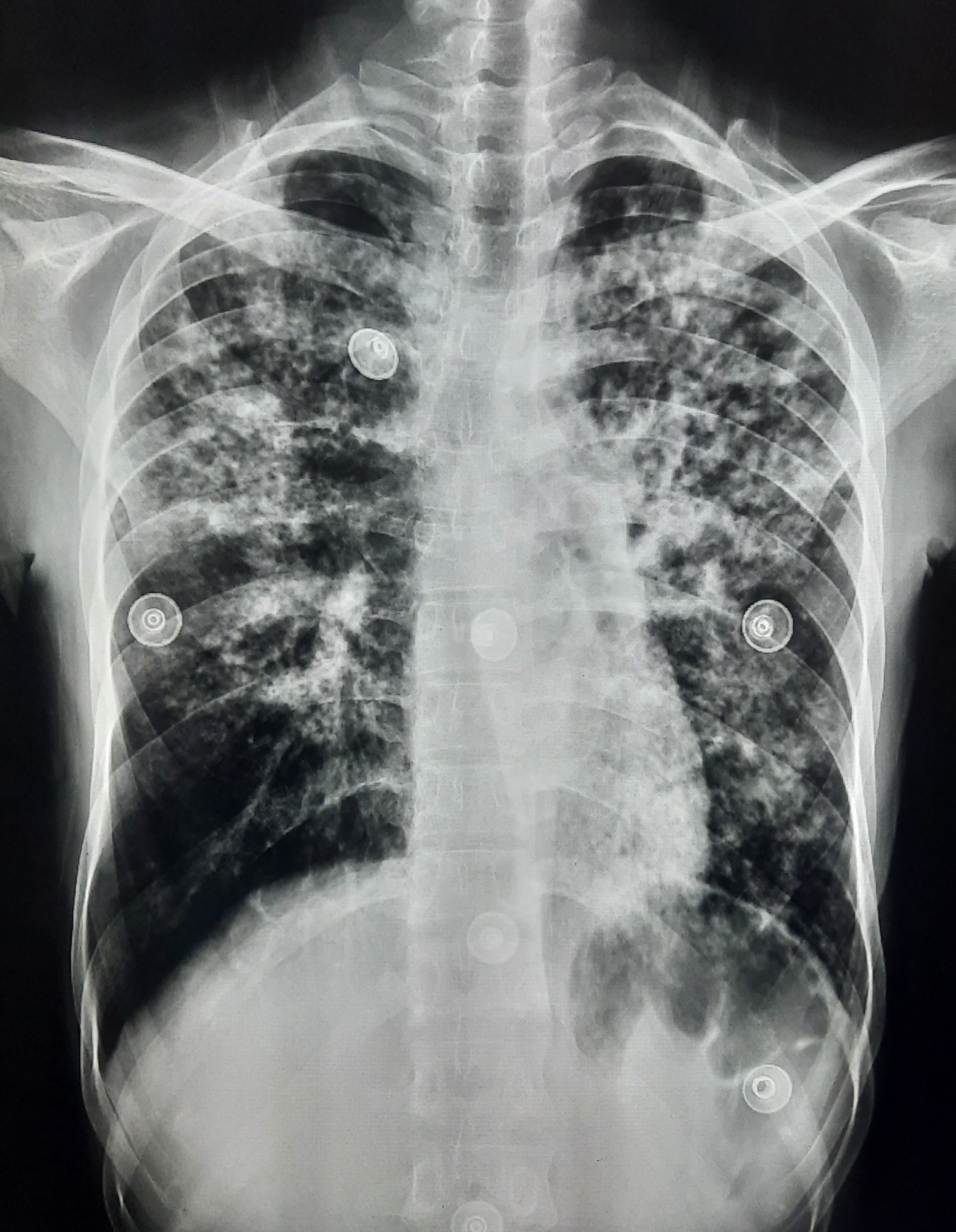
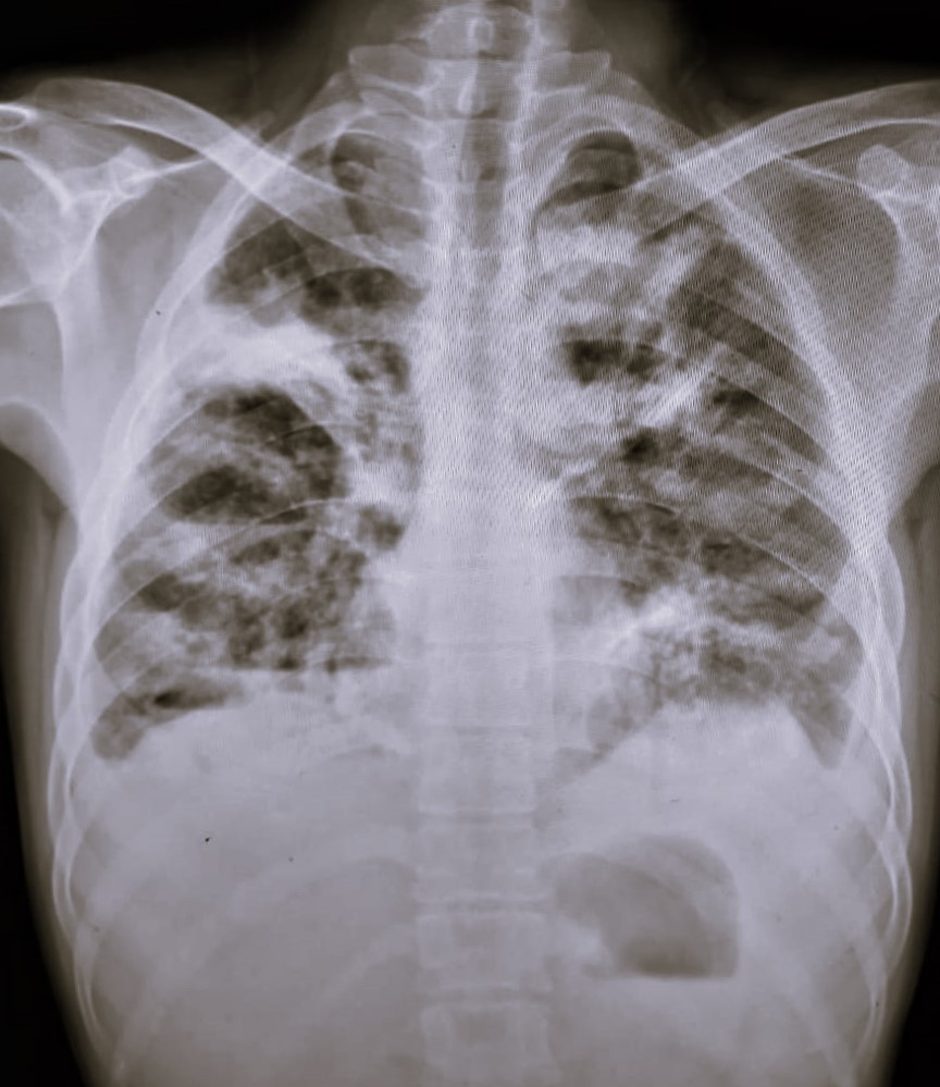
| 134 | IGGMC, Nagpur, Nagpur | P2 | 29-4338 | Shruti Rangari | Consent taken on Paper | 25 Yrs. |
Provisional Diag : Pulmonary Tuberculosis
Final Diag : Pulmonary Tuberculosis (Microbiologically Confirmed PTB) |
TB Case (Confirmed) | Bilateral Inhomogeneous Opacity In Right Upper Zone/ Mid zone/ Lower Zone/ Left upper zone With Fibro cavitary Lesion In Right upper Zone | Abnormality visible on x-ray |
View |
|||
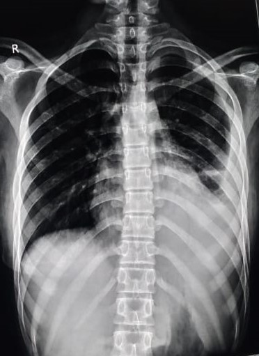
| 135 | IGGMC, Nagpur, Nagpur | P2 | 29-4337 | Tehsin Sheikh | Consent taken on Paper | 15 Yrs. |
Provisional Diag : Tubercular Pleural Effusion
Final Diag : Tubercular Pleural effusion (Clinically Diagnosed Tubercular Pleural effusion) |
TB Case (Confirmed) | Left CP Angle Blunting | Abnormality visible on x-ray |
View |
|||
| 136 | IGGMC, Nagpur, Nagpur | P2 | 29-4336 | Sonu Karmore | Consent taken on Paper | 28 Yrs. |
Provisional Diag : Clinically Diagnosed Tubercular Pleural Effusion
Final Diag : Tubercular Pleural Effusion (Clinically Diagnosed Right Sided Tubercular Pleural Effusion) |
TB Case (Confirmed) | CxR- Right Lower Zone Haziness | Abnormality visible on x-ray |
View |
|||
| 137 | IGGMC, Nagpur, Nagpur | P2 | 29-4335 | Naresh Markam | Consent taken on Paper | 52 Yrs. |
Provisional Diag : PTB?
Final Diag : Pulmonary Tuberculosis ( Microbiologically Confirmed PTB) |
TB Case (Confirmed) | Bilateral Upper Zone Infiltration With Middle Zone/ Lower Zone Infiltration | Abnormality visible on x-ray |
View |
|||
| 138 | IGGMC, Nagpur, Nagpur | P2 | 29-4334 | Rohit Gijre | Consent taken on Paper | 25 Yrs. |
Provisional Diag : Clinically Diagnosed Bilateral Plural Effusion
Final Diag : Tubercular Pleural effusion (Clinically Diagnosed Tubercular Pleural effusion) |
TB Case (Confirmed) | Multiple Right Side With Bilateral Infiltration | Abnormality visible on x-ray |
View |
|||
| 139 | IGGMC, Nagpur, Nagpur | P2 | 29-4333 | Kapil Gohare | Consent taken on Paper | 34 Yrs. |
Provisional Diag : PTB?
Final Diag : Pulmonary Tuberculosis (Microbiologically Confirmed PTB) |
TB Case (Confirmed) | ? |
View |
||||
| 140 | IGGMC, Nagpur, Nagpur | P2 | 29-4332 | Nitin Tambe | Consent taken on Paper | 41 Yrs. |
Provisional Diag : Pleural Effusion ?
Final Diag : Tubercular Pleural effusion |
TB Case (Confirmed) | Left Sided Grass Pleural Effusion | Abnormality visible on x-ray |
View |
|||
| 141 | IGGMC, Nagpur, Nagpur | P2 | 29-4331 Follow-up of 29-4023 |
Manda Barmpal Chaudhary | Consent taken on Paper | 45 Yrs. |
Provisional Diag : Disseminated TB/ Pleural Effusion With Pulmonary Infiltration
Final Diag : Right Sided Pleural Effusion With Pulmonary Infiltration |
Right CP Angle Blunting Present With Right Upper Zone/ Mid Zone Ill-Defined Opacity With Left Upper Zone Infiltration Present | ? |
View |
||||
| 142 | IGGMC, Nagpur, Nagpur | P2 | 29-4330 | Md. Mumtaz | Consent taken on Paper | 70 Yrs. |
Provisional Diag : Disseminated TB Follow-Up
Final Diag : Post TB sequalae |
Post TB Sequelae | Right Apical Fibrosis Present With Old Calcified Lesion Left Upper Zone | Abnormality visible on x-ray |
View |
|||
| 143 | IGGMC, Nagpur, Nagpur | P2 | 29-4329 | Jiyna Prasad | Consent taken on Paper | 75 Yrs. |
Provisional Diag : Lower Respiratory Tract Infection
Final Diag : Post TB Sequel With Reactivation |
Post TB Sequelae | Bilateral Upper Zone Old Fibrotic Changes Present With Bilateral Lower Zone Few Reticular Changes With Prominent Broncho Vascular Marking With Few Old Calcified Lesion Left Lower Zone | Abnormality visible on x-ray |
View |
|||
| 144 | IGGMC, Nagpur, Nagpur | P2 | 29-4328 | Shruti Pidekar | Consent taken on Paper | 18 Yrs. |
Provisional Diag : Pulmonary Tuberculosis?
Final Diag : ? |
Result awaited (Suspected TB/Non-TB) | Right Middle Zone Rounded Homogenous Opacity Present With Right Middle Zone Alveolus Infection Present. | Abnormality visible on x-ray |
View |
|||
| 145 | IGGMC, Nagpur, Nagpur | P2 | 29-4327 | Chetraj Paunikar | Consent taken on Paper | 54 Yrs. |
Provisional Diag : ?
Final Diag : ? |
Result awaited (Suspected TB/Non-TB) | Abnormality visible on x-ray |
View |
||||
| 146 | IGGMC, Nagpur, Nagpur | P2 | 29-4326 | Shoukat Sheikh | Consent taken on Paper | 35 Yrs. |
Provisional Diag : ?
Final Diag : ? |
Result awaited (Suspected TB/Non-TB) | ? |
View |
||||
| 147 | IGGMC, Nagpur, Nagpur | P2 | 29-4325 | Tejal Dhamgaye | Consent taken on Paper | 28 Yrs. |
Provisional Diag : Upper Respiratory Tract Infection
Final Diag : Post TB sequalae |
Post TB Sequelae | Prominent Broncho Vascular Marking, Prominent Right Pulmonary Artery, linear band fissural | Abnormality visible on x-ray |
View |
|||
| 148 | IGGMC, Nagpur, Nagpur | P2 | 29-4324 | Manoj Mokalwar | Consent taken on Paper | 36 Yrs. |
Provisional Diag : Lower Respiratory Tract Infection
Final Diag : Pulmonary Tuberculosis |
TB Case (Confirmed) | Bilateral Right Middle zone/ Upper Zone/ Lower zone & Left Middle Zone/ Lower Zone Lung Infiltration | Abnormality visible on x-ray |
View |
|||
| 149 | IGGMC, Nagpur, Nagpur | P2 | 29-4323 | Samina Parveen | Consent taken on Paper | 30 Yrs. |
Provisional Diag : Bilateral Tubercular Pleural Effusion
Final Diag : Bilateral Tubercular Pleural Effusion With Right Sided Pigtail Infiltration |
TB Case (Confirmed) | Bilateral CP Angle Blunting With Bilateral Homogenous Opacity Left Zone With Pigtail Right Pleural Effusion | Abnormality visible on x-ray |
View |
|||
| 150 | IGGMC, Nagpur, Nagpur | P2 | 29-4322 | Anusaya Bajirao | Consent taken on Paper | 68 Yrs. |
Provisional Diag : ?
Final Diag : Post TB Sequel |
Post TB Sequelae | Bilateral Hyper infiltration Present With Bilateral CP Angle Blunting Present With Bilateral Fibrotic Band Present With Prominent Broncho Vascular marking | Abnormality visible on x-ray |
View |

















































