| # | Institute | Stage | Patient Id | Patient Name | Consent Taken | Age | Provisional and Final Diagnosis | Final Diagnosis category | Radiologist observation | Chest X-Ray finding | Chest X-Ray | Action | Delete | |
|---|---|---|---|---|---|---|---|---|---|---|---|---|---|---|
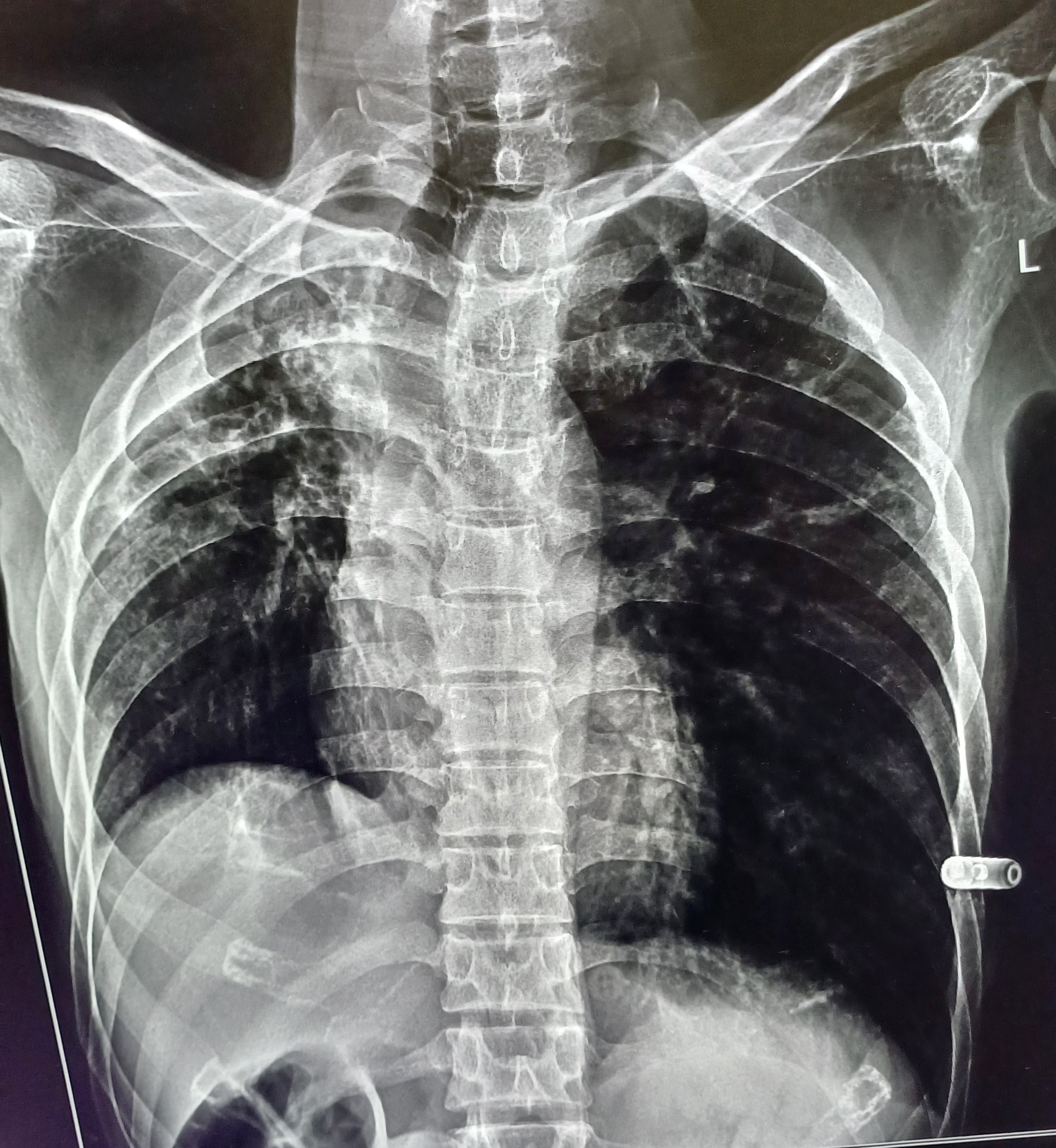
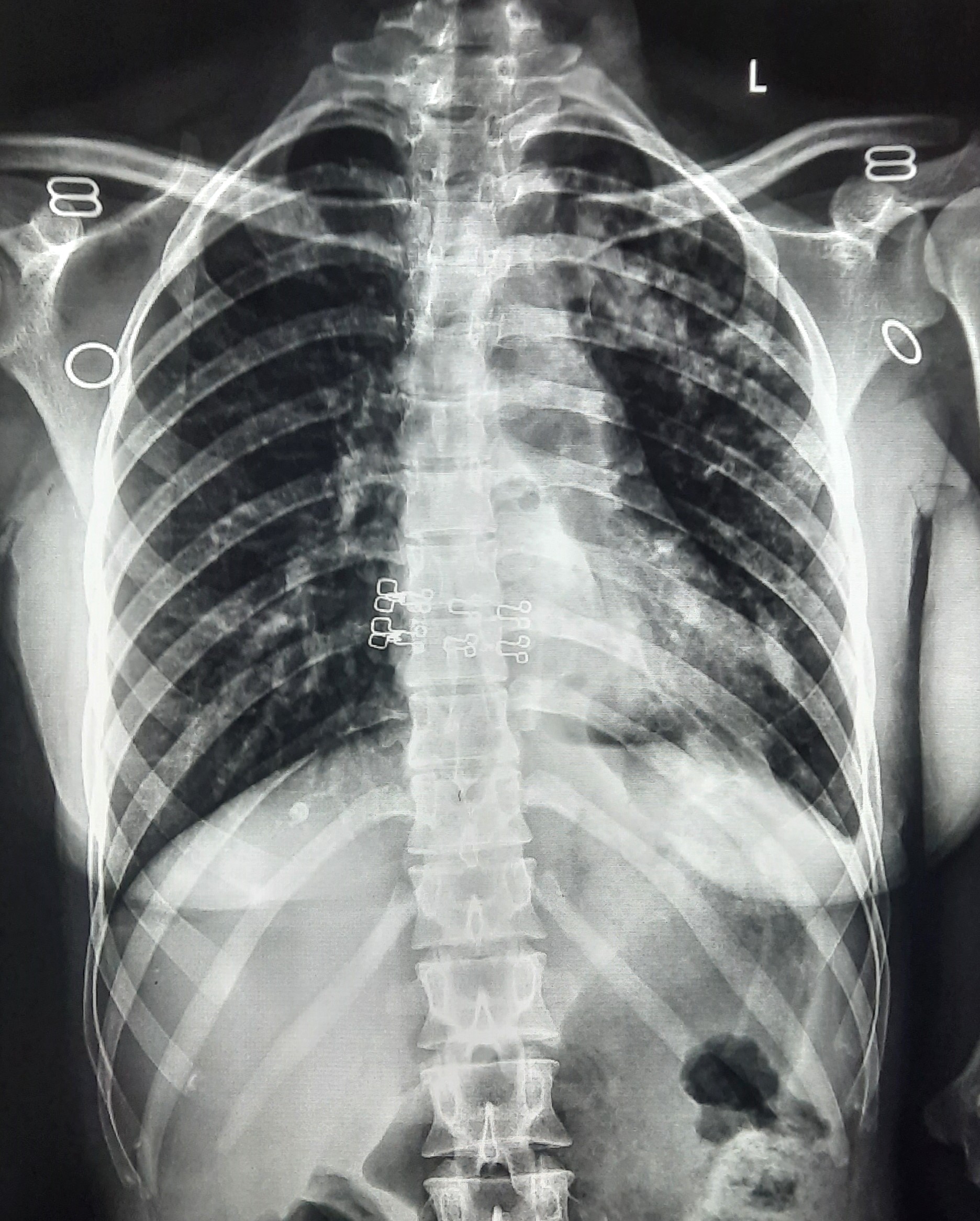
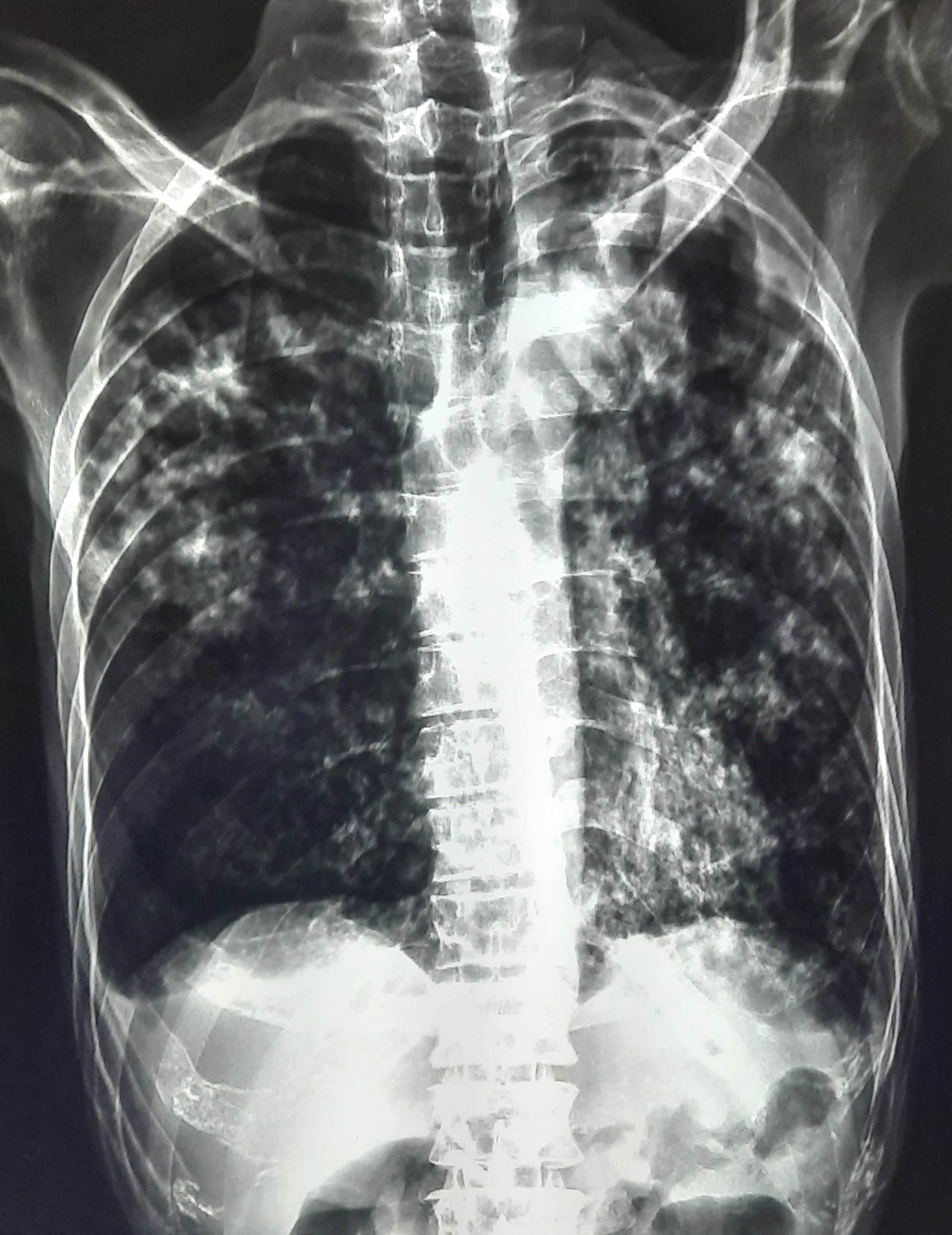
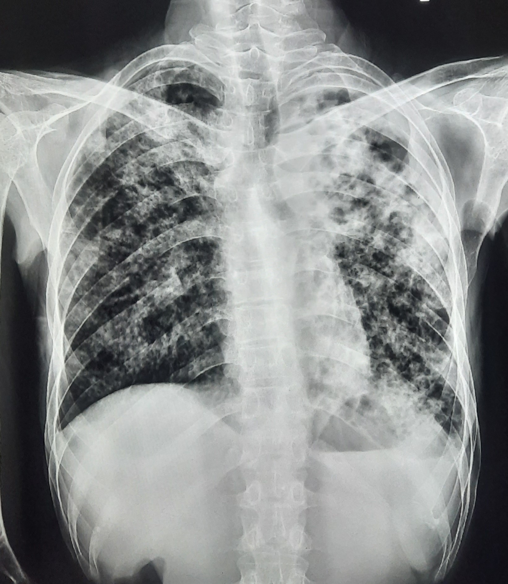
| 51 | IGGMC, Nagpur, Nagpur | P2 | 29-4421 | Santosh Neware | Consent taken on Paper | 40 Yrs. |
Provisional Diag : Pulmonary Tuberculosis
Final Diag : Pulmonary tuberculosis (Microbiologically Confirmed PTB) |
TB Case (Confirmed) | Right Upper & mid zone fibro cavitary lesion present, upward pull of right hemidiaphragm, tracheal pull right sided | Abnormality visible on x-ray |
View |
|||
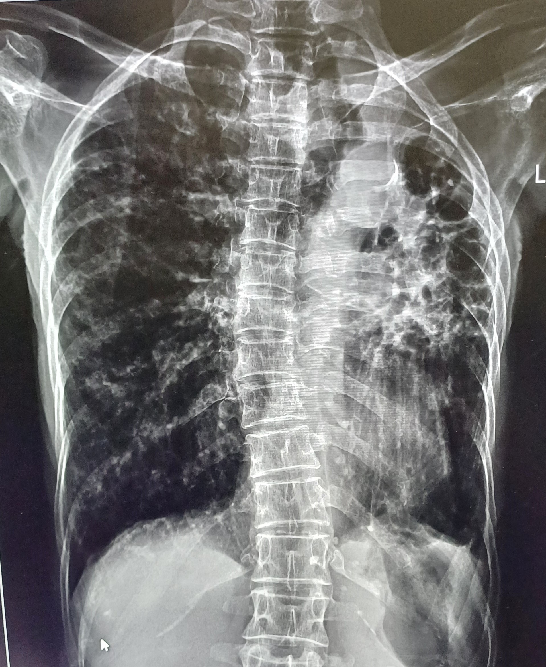
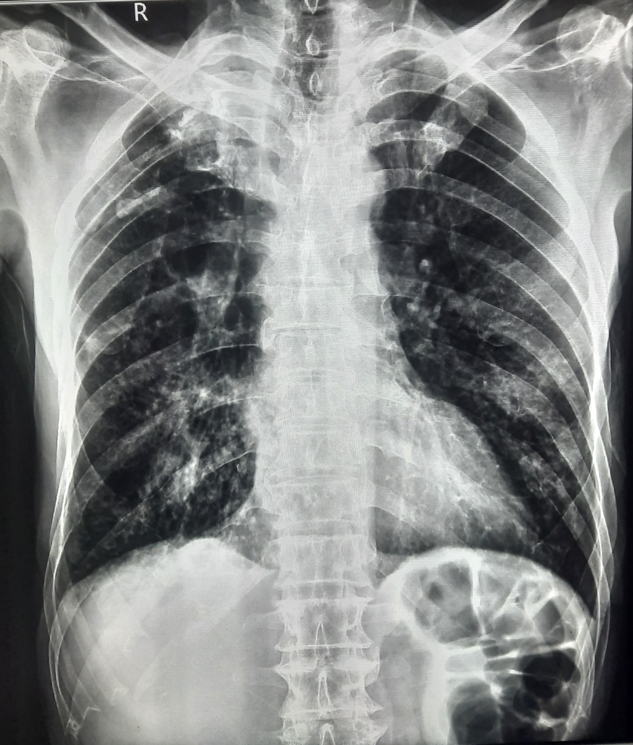
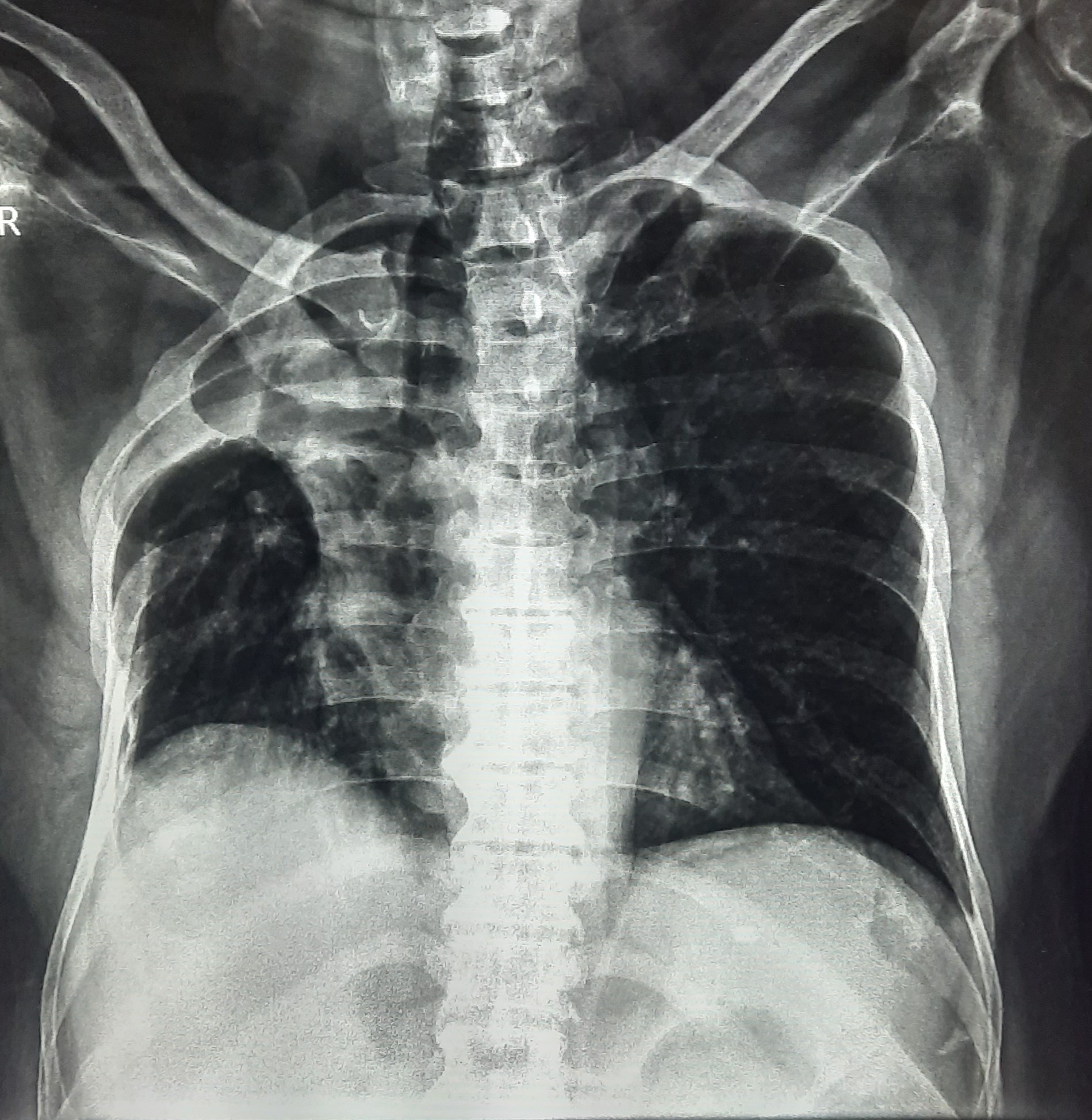
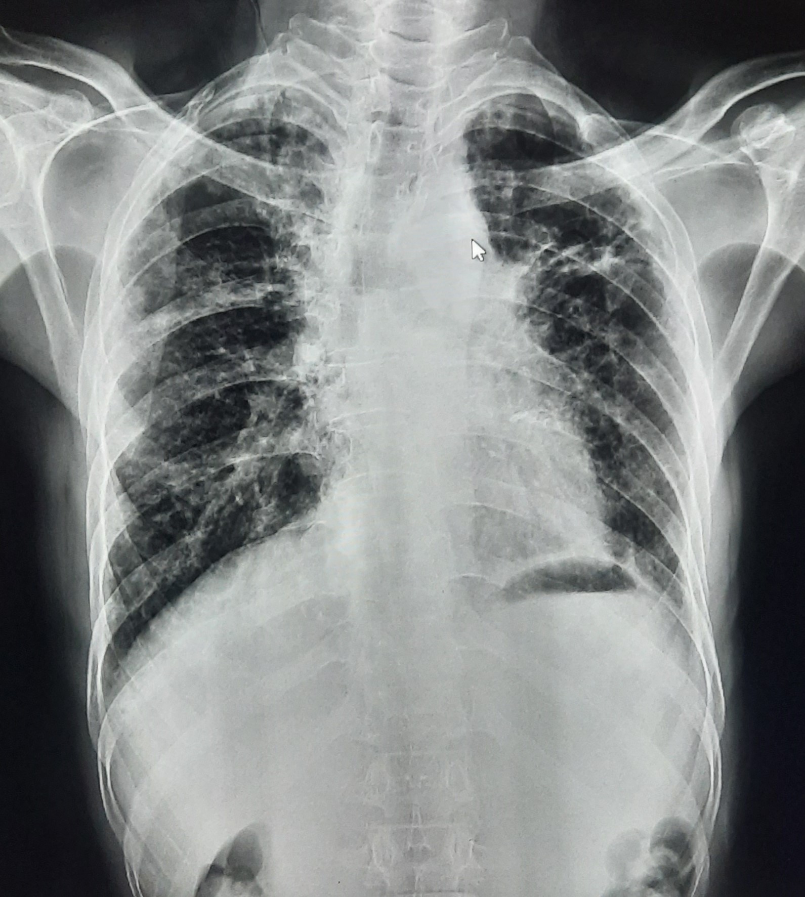
| 52 | IGGMC, Nagpur, Nagpur | P2 | 29-4420 | Hamida Bano | Consent taken on Paper | 56 Yrs. |
Provisional Diag : Post TB Sequelae With Reactivation?
Final Diag : Post TB Sequelae |
Post TB Sequelae | Tracheal Pull Left Side, Left Mid Zone & Upper Zone Fibro cavitary Lesion Present, Compensatory Right lung Hyper Infiltration Present, Few ill-defined Bilateral Lung Opacity Presnt | Abnormality visible on x-ray |
View |
|||
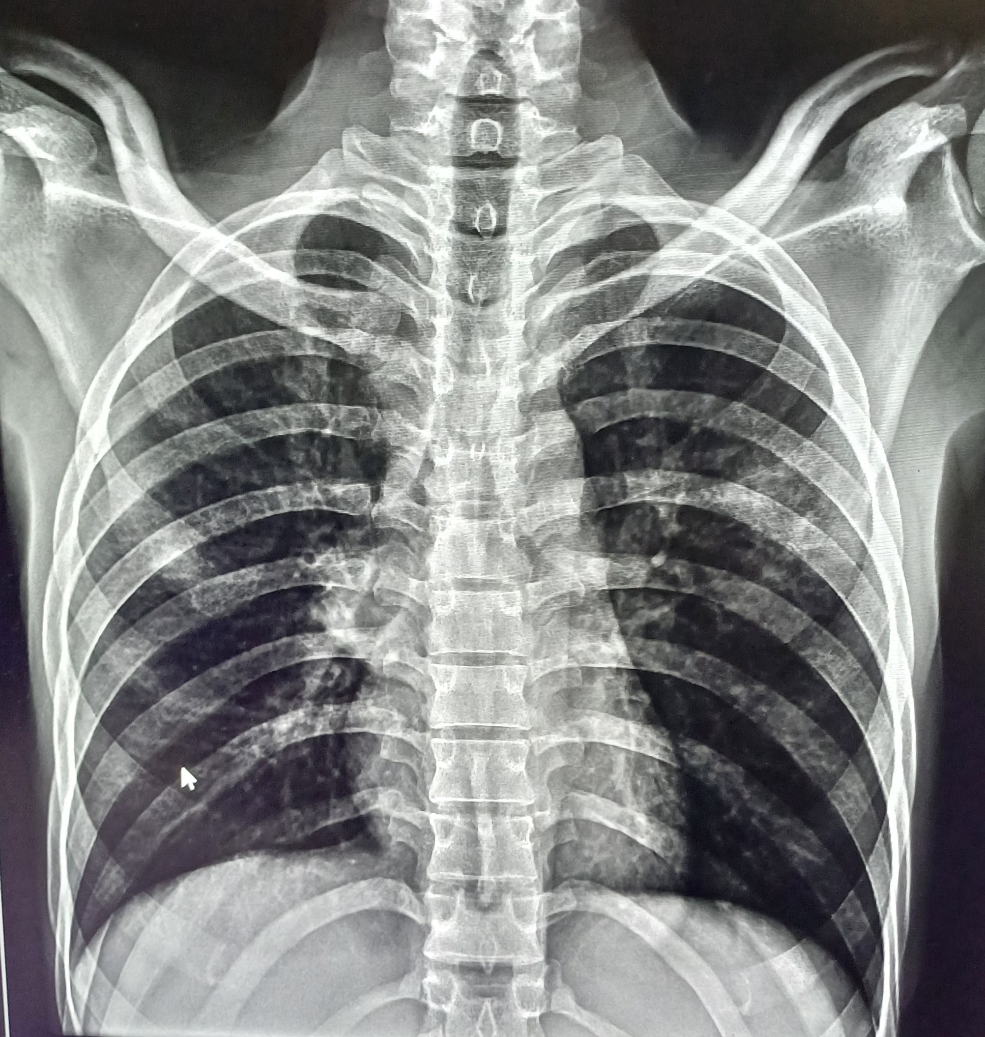
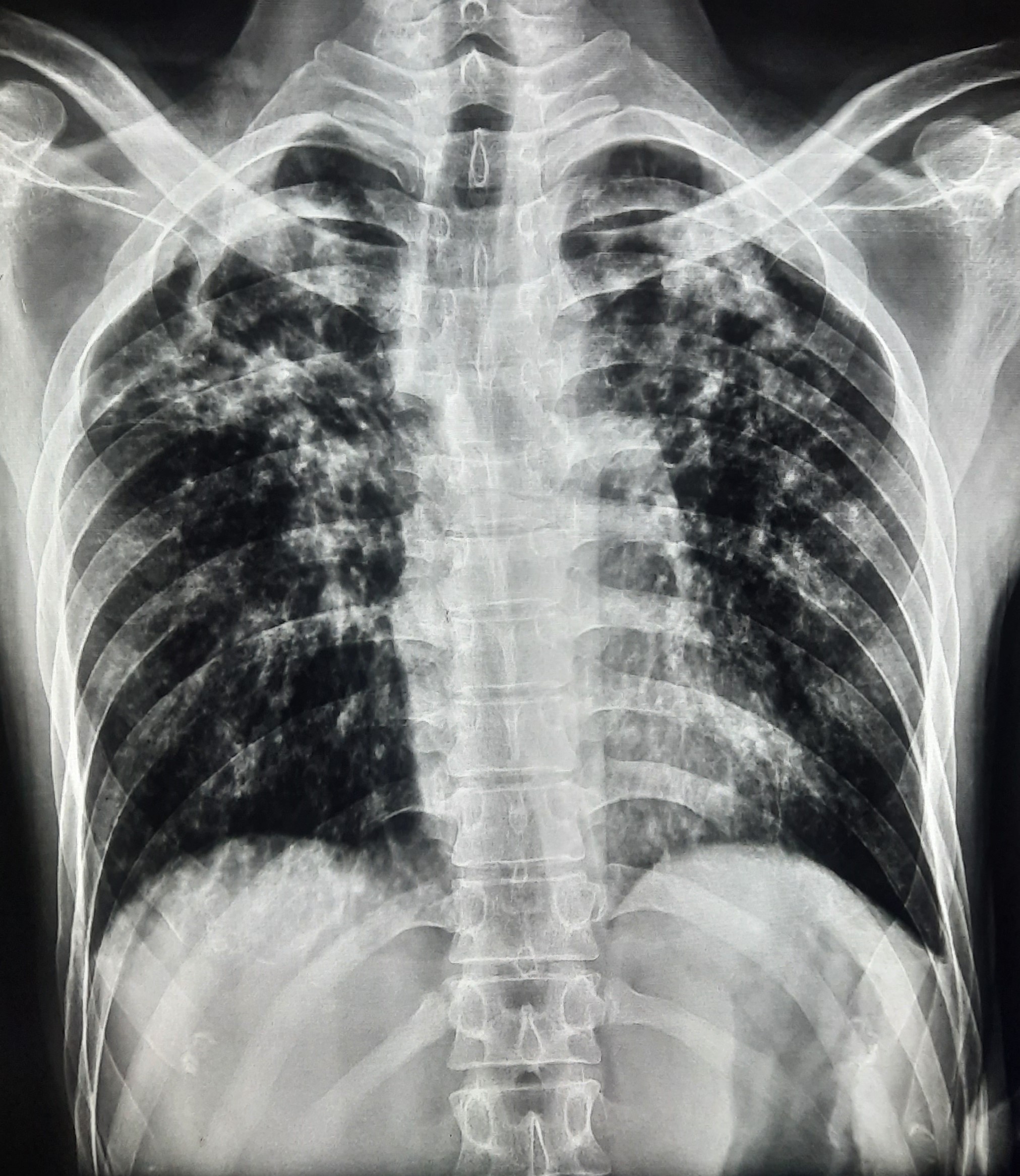
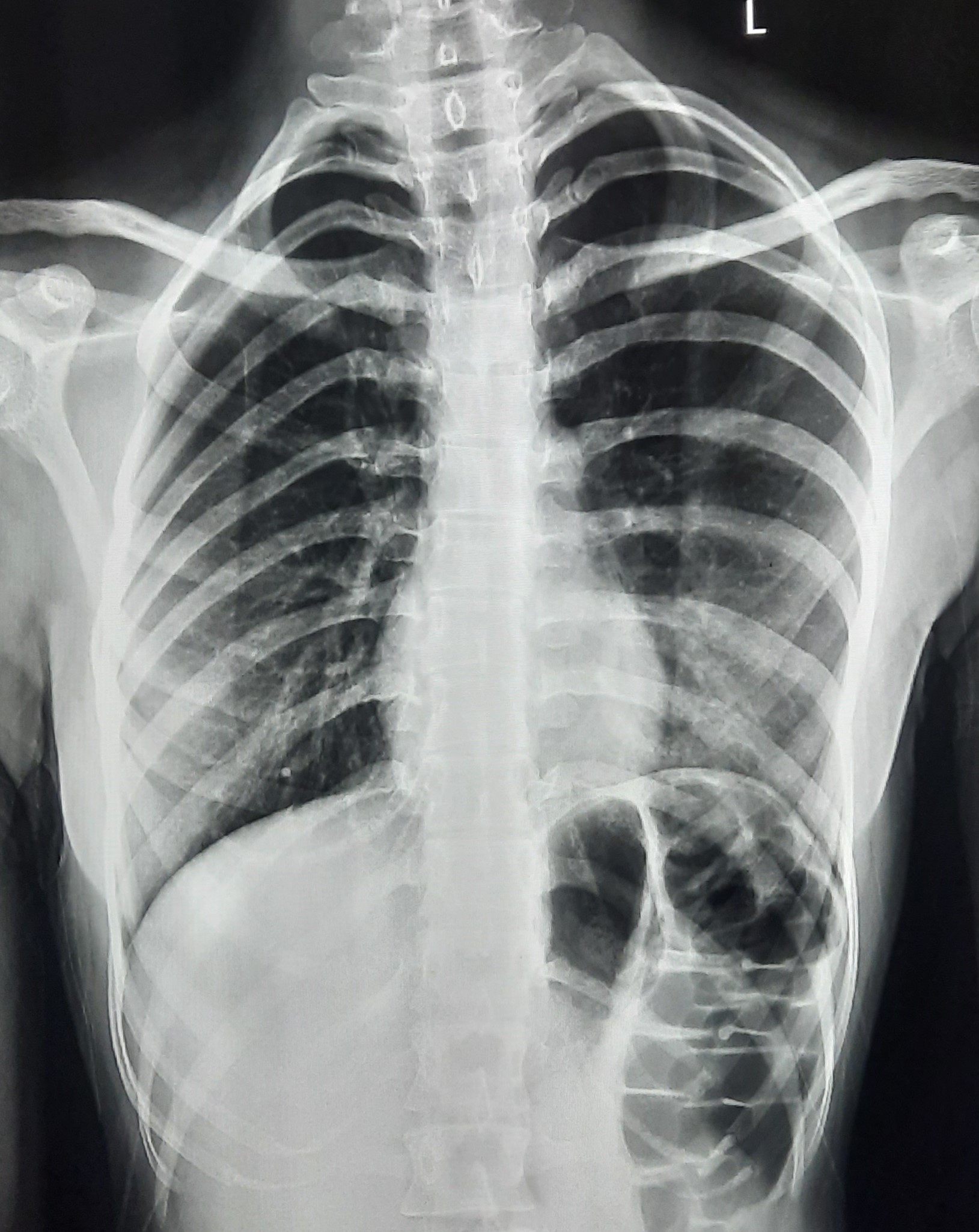
| 53 | IGGMC, Nagpur, Nagpur | P2 | 29-4419 | Rasul Ali | Consent taken on Paper | 36 Yrs. |
Provisional Diag : ?
Final Diag : COPD |
Non-TB Case (Confirmed) | Prominence of broncho vascular markings in bilateral Mid zone il Defined Non-Homogenous Lesion, Changes Of COPD | Abnormality visible on x-ray |
View |
|||
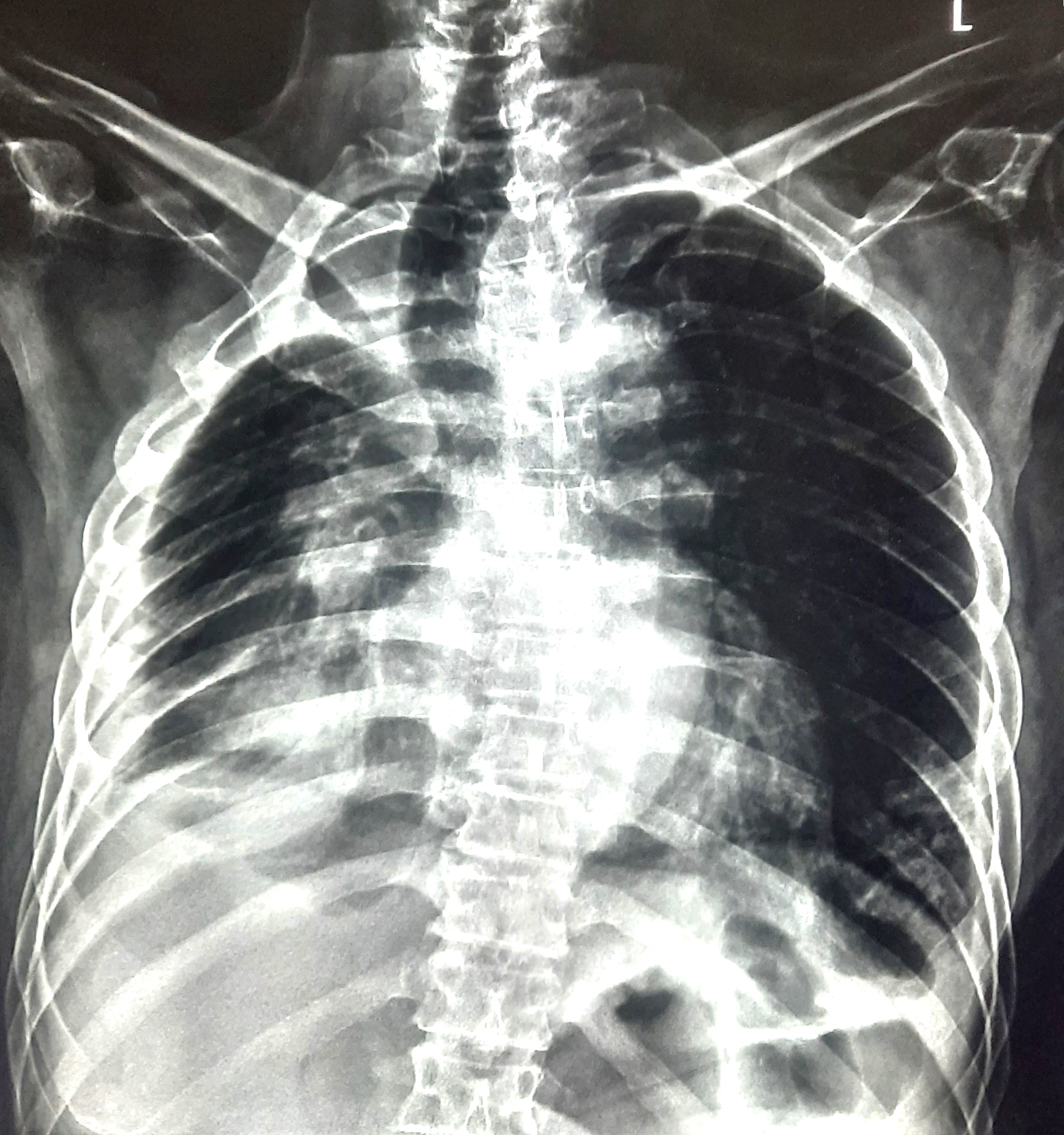
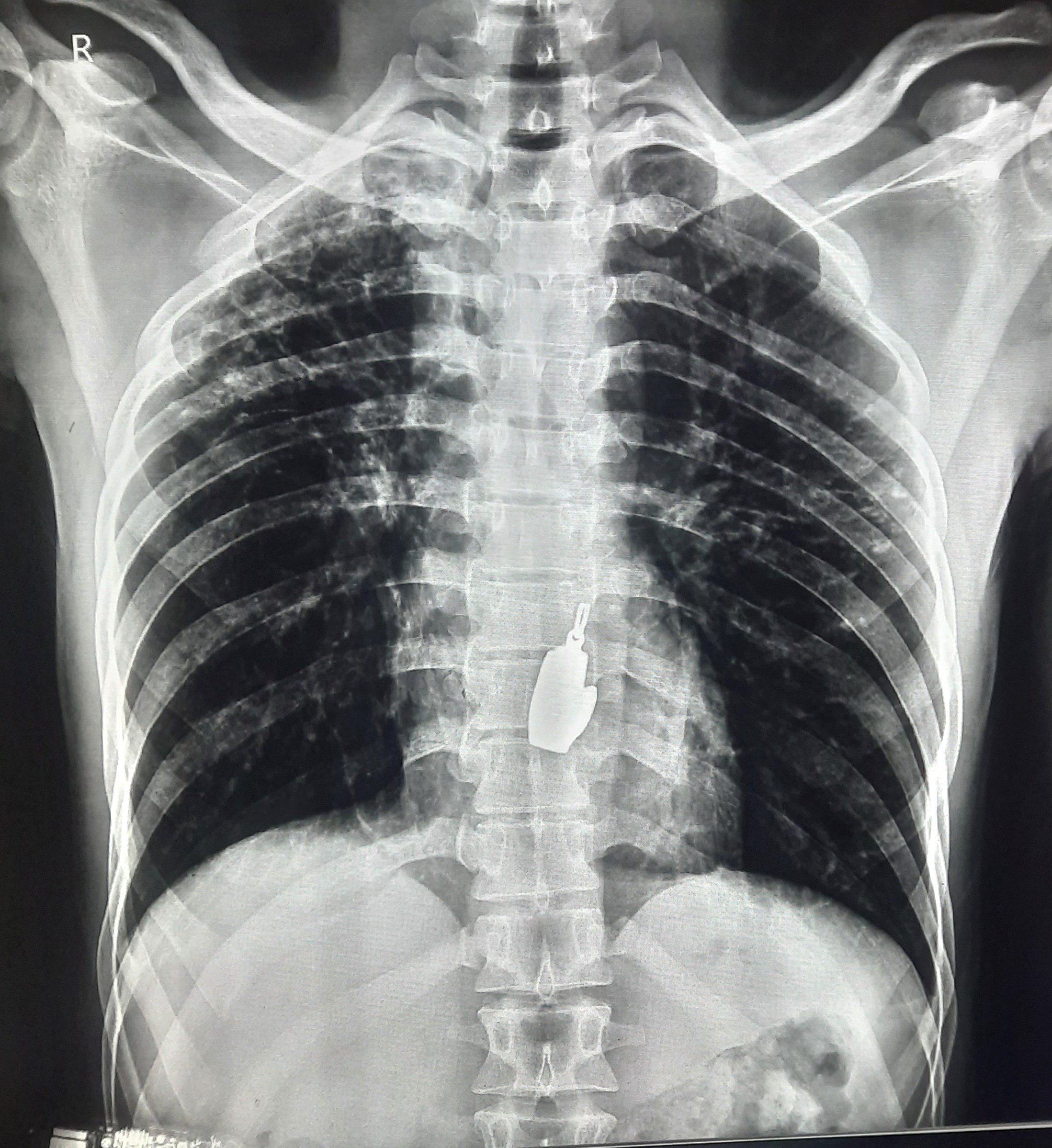
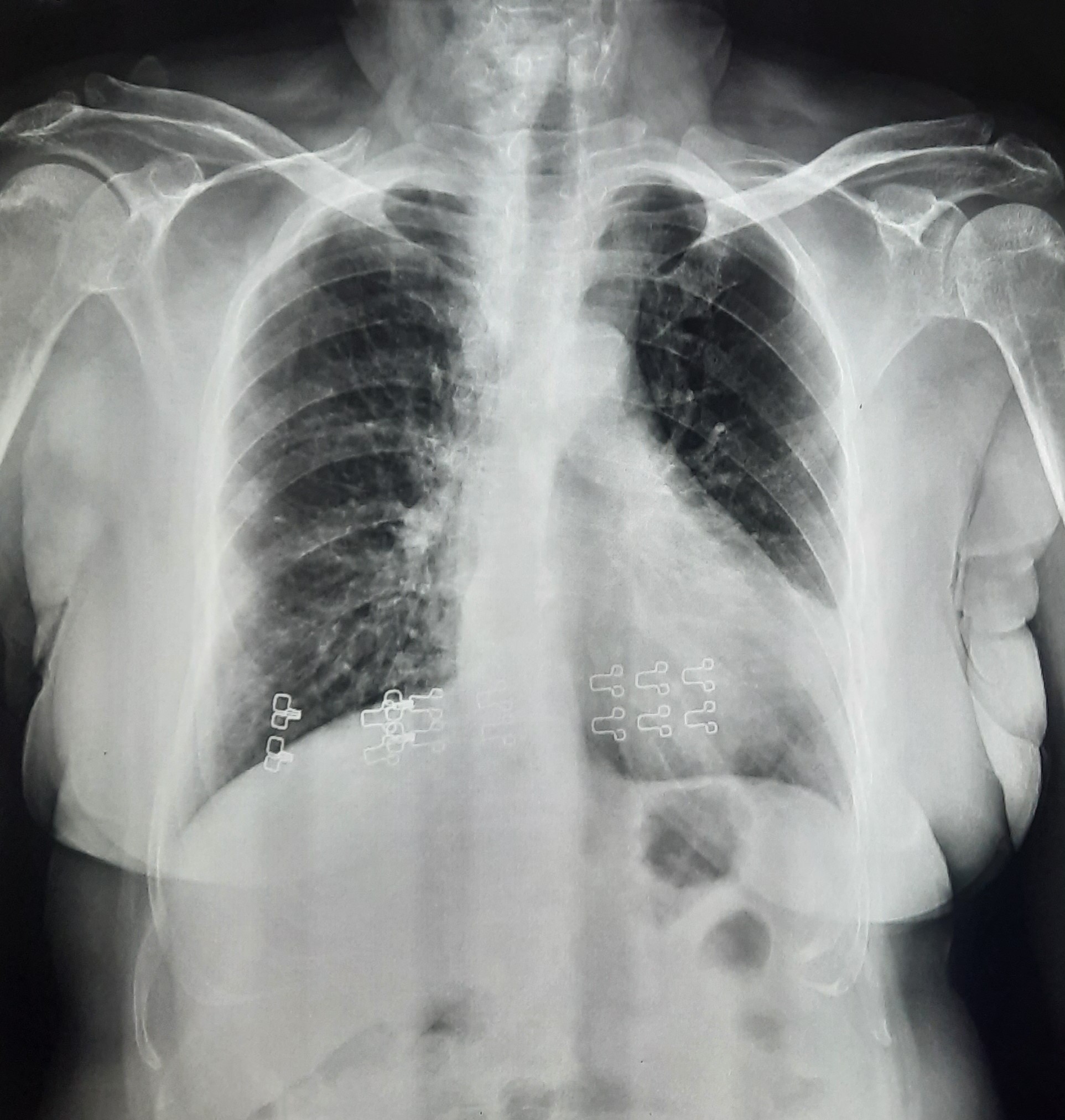
| 54 | IGGMC, Nagpur, Nagpur | P2 | 29-4418 | Pradip Bankar | Consent taken on Paper | 37 Yrs. |
Provisional Diag : Pulmonary Tuberculosis
Final Diag : Pulmonary Tuberculosis (Microbiologically Confirmed PTB) |
TB Case (Confirmed) | Left upper Zone Fibro cavitary lesion Present, Bilateral Lung Infiltration present | Abnormality visible on x-ray |
View |
|||
| 55 | IGGMC, Nagpur, Nagpur | P2 | 29-4417 | Sheikh Ahamad | Consent taken on Paper | 72 Yrs. |
Provisional Diag : Pulmonary Tuberculosis
Final Diag : Pulmonary Tuberculosis (Microbiologically confirmed PTB) |
TB Case (Confirmed) | Right sided rib crowding Present & Tracheal Deviation, CP Angle blunting present, right sided pleural collection | Abnormality visible on x-ray |
View |
|||
| 56 | IGGMC, Nagpur, Nagpur | P2 | 29-4416 | Milind Miskin | Consent taken on Paper | 42 Yrs. |
Provisional Diag : Clinically diagnosed PTB
Final Diag : Pulmonary Tuberculosis (CxR- Right Sided Tubercular pleural Effusion) |
TB Case (Confirmed) | Right CP angle blunting present, Right apical Fibrosis present, Right sided pleural thickening present | Abnormality visible on x-ray |
View |
|||
| 57 | IGGMC, Nagpur, Nagpur | P2 | 29-4415 | Saira Sayyad | Consent taken on Paper | 50 Yrs. |
Provisional Diag : Upper Respiratory Tract Infection
Final Diag : Pleural Effusion |
Non-TB Case (Confirmed) | Left CP Angle Blunting, left Mid Zone & lower Zone Homogenous Opacity Present, Left Sided Tracheal Pull, Left Lower Zone Old Calcified Lesion, Pleural Calcification? | Abnormality visible on x-ray |
View |
|||
| 58 | IGGMC, Nagpur, Nagpur | P2 | 29-4414 | Saba Sheikh | Consent taken on Paper | 23 Yrs. |
Provisional Diag : Pulmonary Tuberculosis
Final Diag : TB Infiltration |
TB Case (Confirmed) | Left Mid Zone, upper Zone, Lower Zone & Right Lower Zone Infiltration Present | Abnormality visible on x-ray |
View |
|||
| 59 | IGGMC, Nagpur, Nagpur | P2 | 29-4413 | Babbu Khan | Consent taken on Paper | 66 Yrs. |
Provisional Diag : Post TB Sequelae
Final Diag : Post TB sequalae |
Post TB Sequelae | Fibrocalcific lesion with calcification in the right upper zone, an active infection with a cavity in the right lower zone and right tracheal pull Present | Abnormality visible on x-ray |
View |
|||
| 60 | IGGMC, Nagpur, Nagpur | P2 | 29-4412 | Ritesh Uikey | Consent taken on Paper | 30 Yrs. |
Provisional Diag : Pulmonary Tuberculosis
Final Diag : Pulmonary Tuberculosis |
TB Case (Confirmed) | Bilateral Lung Infiltration Present & Right Upper Zone Cavity Present | Abnormality visible on x-ray |
View |
|||
| 61 | IGGMC, Nagpur, Nagpur | P2 | 29-4411 | Roshan Ghushor | Consent taken on Paper | 32 Yrs. |
Provisional Diag : Post TB Sequelae With PTB Reactivation?
Final Diag : Pulmonary Tuberculosis |
TB Case (Confirmed) | Right Upper Zone Fibro cavitary Lesion Present, Right Mid Zone, Left Upper Zone, Mid Zone & Lower Zone Infiltration Present | Abnormality visible on x-ray |
View |
|||
| 62 | IGGMC, Nagpur, Nagpur | P2 | 29-4410 | Adil Khan | Consent taken on Paper | 25 Yrs. |
Provisional Diag : Post TB Sequelae With Reactivation?
Final Diag : ? |
Result awaited (Suspected TB/Non-TB) | Right Upper, Mid Zone & Left Mid Zone Infiltration Present | Abnormality visible on x-ray |
View |
|||
| 63 | IGGMC, Nagpur, Nagpur | P2 | 29-4409 | Sheshnarayan Nirmalkar | Consent taken on Paper | 42 Yrs. |
Provisional Diag : Post TB Sequelae
Final Diag : ? |
Result awaited (Suspected TB/Non-TB) | Abnormality visible on x-ray |
View |
||||
| 64 | IGGMC, Nagpur, Nagpur | P2 | 29-4408 | Ramayansingh Belvanshi | Consent taken on Paper | 30 Yrs. |
Provisional Diag : Post TB Sequelae
Final Diag : Post TB sequalae |
Post TB Sequelae | Bilateral Fibrotic Lesion | Abnormality visible on x-ray |
View |
|||
| 65 | IGGMC, Nagpur, Nagpur | P2 | 29-4407 | Sunita Zariya | Consent taken on Paper | 35 Yrs. |
Provisional Diag : Microbiologically Conformed PTB With Right sided Hydropneumothorax
Final Diag : Pulmonary Tuberculosis (Microbiologically Conformed PTB) |
TB Case (Confirmed) | Right upper Zone Infiltration, Right CP Angle Blunting | Abnormality visible on x-ray |
View |
|||
| 66 | IGGMC, Nagpur, Nagpur | P2 | 29-4406 | Arbiya Ansari | Consent taken on Paper | 25 Yrs. |
Provisional Diag : PTB Reactivation
Final Diag : Pulmonary Tuberculosis |
TB Case (Confirmed) | Fibrotic Lesion Right Upper Zone | Abnormality visible on x-ray |
View |
|||
| 67 | IGGMC, Nagpur, Nagpur | P2 | 29-4405 | Vinod Bawane | Consent taken on Paper | 31 Yrs. |
Provisional Diag : Lower Respiratory Tract Infection
Final Diag : Tubercular Pleural Effusion |
TB Case (Confirmed) | Right Upper Zone Fibrotic Changes Present, Right Sided CP Angle Blunting, Right Sided Mid Zone & Lower zone Homogenous opacity Seen | Abnormality visible on x-ray |
View |
|||
| 68 | IGGMC, Nagpur, Nagpur | P2 | 29-4404 | Gaurav Wankhede | Consent taken on Paper | 19 Yrs. |
Provisional Diag : Pulmonary Tuberculosis
Final Diag : TB Infiltration |
TB Case (Confirmed) | Bilateral Upper Zone & Mid Zone TB Infiltration | Abnormality visible on x-ray |
View |
|||
| 69 | IGGMC, Nagpur, Nagpur | P2 | 29-4403 | Sita Baghel | Consent taken on Paper | 50 Yrs. |
Provisional Diag : Lower Respiratory Tract Infection
Final Diag : Pulmonary Tuberculosis |
TB Case (Confirmed) | Left Upper Zone Fibro cavitary Lesion Present, Left Upper Zone, Mid Zone & Lower Zone Non Homogenous ill Defined Opacity Present | Abnormality visible on x-ray |
View |
|||
| 70 | IGGMC, Nagpur, Nagpur | P2 | 29-4402 | Atul Chauhan | Consent taken on Paper | 27 Yrs. |
Provisional Diag : Pulmonary Tuberculosis Follow-Up
Final Diag : Pulmonary Tuberculosis (CxR- Microbiologically Conformed PTB) |
TB Case (Confirmed) | Left Upper Zone Fibro cavitary Lesion Present, Bilateral Upper Zone & Mid Zone Infiltration Present | Abnormality visible on x-ray |
View |
|||
| 71 | IGGMC, Nagpur, Nagpur | P2 | 29-4401 | Ashfiya Firdos | Consent taken on Paper | 26 Yrs. |
Provisional Diag : Lower Respiratory Tract Infection
Final Diag : Pleural Effusion |
Non-TB Case (Confirmed) | Right CP Angle Blunting Present | Abnormality visible on x-ray |
View |
|||
| 72 | IGGMC, Nagpur, Nagpur | P2 | 29-4400 | Mahak Sahu | Consent taken on Paper | 18 Yrs. |
Provisional Diag : Lower Respiratory Tract Infection
Final Diag : Pleural Effusion |
Result awaited (Suspected TB/Non-TB) | Left CP Angle Blunting Present, Left Lower Zone Homogenous Opacity Present, right Mid Zone Infiltration Present | Abnormality visible on x-ray |
View |
|||
| 73 | IGGMC, Nagpur, Nagpur | P2 | 29-4399 | Mohamad. Khalil | Consent taken on Paper | 50 Yrs. |
Provisional Diag : Chest Pain Under Evaluation
Final Diag : Pleural Effusion |
Non-TB Case (Confirmed) | Left Sided CP Angle Blunting Present, Left Sided Lower Zone Homogenous Opacity Present | Abnormality visible on x-ray |
View |
|||
| 74 | IGGMC, Nagpur, Nagpur | P2 | 29-4398 | Vikrant Madhumatake | Consent taken on Paper | 38 Yrs. |
Provisional Diag : Pleural Effusion
Final Diag : Pleural Effusion |
Non-TB Case (Confirmed) | Right Sided CP Angle Blunting, Right Sided Homogenous Opacity Present, Bilateral Mid Zone & Upper Zone Infiltration Present | Abnormality visible on x-ray |
View |
|||
| 75 | IGGMC, Nagpur, Nagpur | P2 | 29-4397 | Archana Rudrakar | Consent taken on Paper | 52 Yrs. |
Provisional Diag : Lower Respiratory Tract Infection
Final Diag : ? |
Result awaited (Suspected TB/Non-TB) | Right Side Lower Zone Infiltration Present | ? |
View |
|||
| 76 | IGGMC, Nagpur, Nagpur | P2 | 29-4396 | Shankar Gajbhiye | Consent taken on Paper | 54 Yrs. |
Provisional Diag : Lower Respiratory Tract Infection
Final Diag : Pulmonary Tuberculosis |
TB Case (Confirmed) | Abnormality visible on x-ray |
View |
||||
| 77 | IGGMC, Nagpur, Nagpur | P2 | 29-4395 | Laxman Sawarkar | Consent taken on Paper | 71 Yrs. |
Provisional Diag : ?
Final Diag : Post TB sequalae |
Post TB Sequelae | Right Sided Upper Zone Fibro cavitary Lesion Present, right sided Pleural Thickening Present, Left Sided Compensatory Hyperinflation Present | Abnormality visible on x-ray |
View |
|||
| 78 | IGGMC, Nagpur, Nagpur | P2 | 29-4394 | Priyanshi Suttamvar | Consent taken on Paper | 20 Yrs. |
Provisional Diag : ?
Final Diag : ? |
Result awaited (Suspected TB/Non-TB) | bilateral Lower Zone Haziness? Breast shadow, right sided Rib Crowding Present, Left Sided compensatory | Abnormality visible on x-ray |
View |
|||
| 79 | IGGMC, Nagpur, Nagpur | P2 | 29-4393 | Sharda Taleja | Consent taken on Paper | 74 Yrs. |
Provisional Diag : Upper Respiratory Tract Infection
Final Diag : Post TB sequalae |
Post TB Sequelae | Left CP Angle Blunting Present, Left Sided pleural Thickening Present, Cardiomegaly Present | Abnormality visible on x-ray |
View |
|||
| 80 | IGGMC, Nagpur, Nagpur | P2 | 29-4392 | Salma Khan | Consent taken on Paper | 20 Yrs. |
Provisional Diag : Lower Respiratory Tract Infection
Final Diag : Pulmonary Tuberculosis |
TB Case (Confirmed) | Right Upper Zone Fibro cavitary Lesion Present | Abnormality visible on x-ray |
View |
|||
| 81 | IGGMC, Nagpur, Nagpur | P2 | 29-4391 | Sarita Vishwakarma | Consent taken on Paper | 35 Yrs. |
Provisional Diag : Post TB Sequelae With 2 degree Infection (transfusion transmitted disease) With severe pulmonary arterial hypertension
Final Diag : Post TB sequalae |
Post TB Sequelae | Right Apical Fibrotic Lesion, Bilateral rib Crowding Present, Left Sided Tracheal Pull | Abnormality visible on x-ray |
View |
|||
| 82 | IGGMC, Nagpur, Nagpur | P2 | 29-4390 | Arun Bansod | Consent taken on Paper | 64 Yrs. |
Provisional Diag : Upper Respiratory Tract Infection
Final Diag : Pleural Effusion |
Non-TB Case (Confirmed) | Left CP Angle Blunting Present, Left Sided Homogenous Opacity Present, Left Sided Massive Pleural Effusion | Abnormality visible on x-ray |
View |
|||
| 83 | IGGMC, Nagpur, Nagpur | P2 | 29-4389 | Shahina Bano | Consent taken on Paper | 17 Yrs. |
Provisional Diag : MDR-TB Follow-up
Final Diag : Synpneumonic Pleural Effusion |
TB Case (Confirmed) | Right Sided CP Angle Blunting, Right Lower Zone Non- Homogenous Opacity Present, Right Sided Synpneumonic Effusion | Abnormality visible on x-ray |
View |
|||
| 84 | IGGMC, Nagpur, Nagpur | P2 | 29-4388 | Dipak Panchbudhe | Consent taken on Paper | 33 Yrs. |
Provisional Diag : Pulmonary Tuberculosis Reactivation ?
Final Diag : Pulmonary Tuberculosis |
TB Case (Confirmed) | Bilateral multiple ill-defined alveolar opacity present, Left Sided Upper Zone Fibro Cavitary Lesion Present | Abnormality visible on x-ray |
View |
|||
| 85 | IGGMC, Nagpur, Nagpur | P2 | 29-4387 | Kisna Genorkar | Consent taken on Paper | 67 Yrs. |
Provisional Diag : Lower Respiratory Tract Infection
Final Diag : Post TB With Reactivation? |
Post TB Sequelae | Right Sided Upper Zone & Mid zone Infiltration Present, Left Sided Upper Zone Old Fibrotic Band Present | Abnormality visible on x-ray |
View |
|||
| 86 | IGGMC, Nagpur, Nagpur | P2 | 29-4386 | Afsana Begam | Consent taken on Paper | 40 Yrs. |
Provisional Diag : Upper Respiratory Tract Infection
Final Diag : Pleural Effusion |
Non-TB Case (Confirmed) | Left Sided CP Angle Blunting Present, Left Sided Lower Zone Homogenous Opacity Present, Left Sided Laminated Pleural Effusion | Abnormality visible on x-ray |
View |
|||
| 87 | IGGMC, Nagpur, Nagpur | P2 | 29-4385 | Sangita Begam | Consent taken on Paper | 29 Yrs. |
Provisional Diag : Chest Pain Under Evaluation
Final Diag : Pleural Effusion |
Non-TB Case (Confirmed) | Right Sided CP Angle Blunting, Right Sided Lower Zone Homogenous Opacity Present, Right Sided Laminated Pleural Effusion | Abnormality visible on x-ray |
View |
|||
| 88 | IGGMC, Nagpur, Nagpur | P2 | 29-4384 | Muskan Sheikh | Consent taken on Paper | 25 Yrs. |
Provisional Diag : Pleural Effusion
Final Diag : Pleural Effusion |
Non-TB Case (Confirmed) | Left Sided CP Angle Blunting Present, Left Sided Lower Zone Homogenous Opacity Present, Left Sided Laminated Pleural Effusion | Abnormality visible on x-ray |
View |
|||
| 89 | IGGMC, Nagpur, Nagpur | P2 | 29-4383 | Vijaya Pounikar | Consent taken on Paper | 51 Yrs. |
Provisional Diag : Post TB Sequelae
Final Diag : Post TB sequalae |
Post TB Sequelae | Left Mid Zone & Lower Zone Infiltration, Left Mid zone Homogenous Opacity Present, Bilateral Lower zone Haziness, Shadows Present, Bilateral Linear Fibrotic Bands Present | Abnormality visible on x-ray |
View |
|||
| 90 | IGGMC, Nagpur, Nagpur | P2 | 29-4382 | Dipak Sahu | Consent taken on Paper | 46 Yrs. |
Provisional Diag : Upper Respiratory Tract Infection
Final Diag : (CxR- Left Lung Consolidation) |
Result awaited (Suspected TB/Non-TB) | Left Mid Zone Non-Homogenous Opacity Present | Abnormality visible on x-ray |
View |
|||
| 91 | IGGMC, Nagpur, Nagpur | P2 | 29-4381 | Abdul Siddhique | Consent taken on Paper | 54 Yrs. |
Provisional Diag : Right Inguinal Hernia
Final Diag : Post TB Sequelae |
Post TB Sequelae | Right Apical Fibrosis Present, right CP Angle Blunting Present, Right Side Mid Zone & Lower zone Fibrotic Change, left sided Compensatory hyperinflation | Abnormality visible on x-ray |
View |
|||
| 92 | IGGMC, Nagpur, Nagpur | P2 | 29-4380 | Vandana Gour | Consent taken on Paper | 43 Yrs. |
Provisional Diag : Bronchial Asthma
Final Diag : Pulmonary Tuberculosis (Microbiologically Confirmed PTB) |
TB Case (Confirmed) | Tracheal Shift Left side, Left upper Zone Old Fibrotic Bands Present, Few Bilateral (Right Sided Upper Zone, Mid zone & Left sided Lower Zone, Upper Zone) Pulmonary Infiltration Present | Abnormality visible on x-ray |
View |
|||
| 93 | IGGMC, Nagpur, Nagpur | P2 | 29-4379 | Vikram Wasnik | Consent taken on Paper | 38 Yrs. |
Provisional Diag : Pulmonary Tuberculosis Follow-Up
Final Diag : Pulmonary Tuberculosis |
TB Case (Confirmed) | Bilateral (Left Mid Zone & Lower Zone, Right lower Zone) Infiltration Present | Abnormality visible on x-ray |
View |
|||
| 94 | IGGMC, Nagpur, Nagpur | P2 | 29-4378 | Pradip Meshram | Consent taken on Paper | 27 Yrs. |
Provisional Diag : Pulmonary Tuberculosis ?
Final Diag : ? |
Result awaited (Suspected TB/Non-TB) | Bilateral Mid zone Infiltration Present, Left CP Angle Blunting Present, Left Lower zone Homogenous Opacity Present. | Abnormality visible on x-ray |
View |
|||
| 95 | IGGMC, Nagpur, Nagpur | P2 | 29-4377 | Noorjaha Parveen | Consent taken on Paper | 40 Yrs. |
Provisional Diag : Upper Respiratory Tract Infection
Final Diag : ? |
Result awaited (Suspected TB/Non-TB) | Haziness Right lower zone, Cavity On right lower zone, Lump Alices? | ? |
View |
|||
| 96 | IGGMC, Nagpur, Nagpur | P2 | 29-4376 | Mangal Madavi | Consent taken on Paper | 65 Yrs. |
Provisional Diag : ?
Final Diag : ? |
Result awaited (Suspected TB/Non-TB) | ? |
View |
||||
| 97 | IGGMC, Nagpur, Nagpur | P2 | 29-4375 | Rajesh Divate | Consent taken on Paper | 71 Yrs. |
Provisional Diag : Lower Respiratory Tract Infection
Final Diag : Post TB Fibrosis With Reactivation |
Result awaited (Suspected TB/Non-TB) | Fibro cavity Left Lower Zone & Upper Zone Fibrosis, Left Lower Zone Non Homogeneous Opacity | Abnormality visible on x-ray |
View |
|||
| 98 | IGGMC, Nagpur, Nagpur | P2 | 29-4374 | Mohamad Alishad | Consent taken on Paper | 41 Yrs. |
Provisional Diag : Upper Respiratory Tract Infection
Final Diag : ? |
Result awaited (Suspected TB/Non-TB) | ? |
View |
||||
| 99 | IGGMC, Nagpur, Nagpur | P2 | 29-4373 | Shubham Dhote | Consent taken on Paper | 24 Yrs. |
Provisional Diag : Lower Respiratory Tract Infection
Final Diag : Pleural Effusion |
Result awaited (Suspected TB/Non-TB) | Bilateral CP Angle Blunting, Right Sided Lower Zone Homogenous Opacity | Abnormality visible on x-ray |
View |
|||
| 100 | IGGMC, Nagpur, Nagpur | P2 | 29-4372 | Pranali Hitesh Gedam | Consent taken on Paper | 25 Yrs. |
Provisional Diag : Mild Right sided Pleural Effusion
Final Diag : Tubercular Pleural Effusion? |
Result awaited (Suspected TB/Non-TB) | Right Lower Zone Homogenous Opacity Present, Left Lower Zone Haziness Present | Abnormality visible on x-ray |
View |

















































