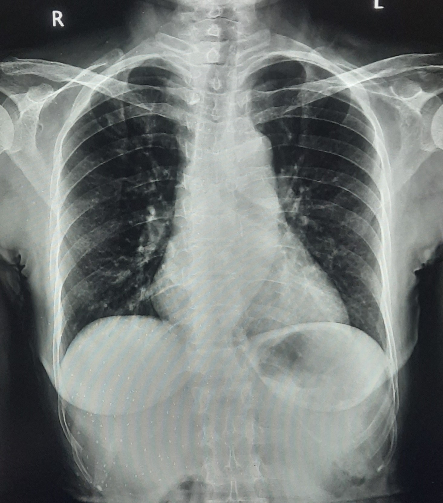
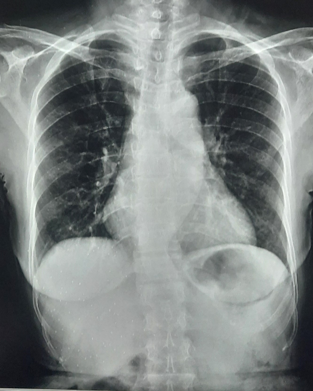
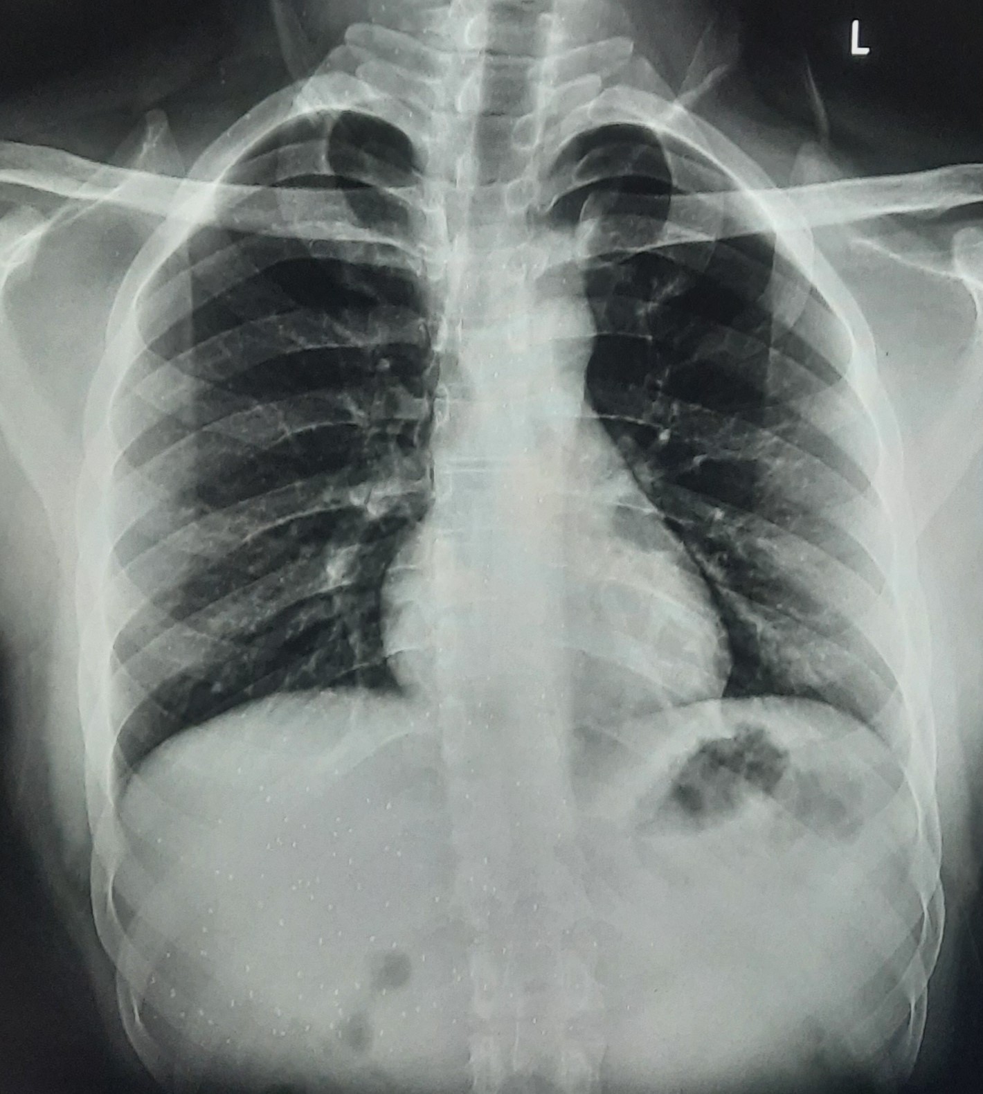
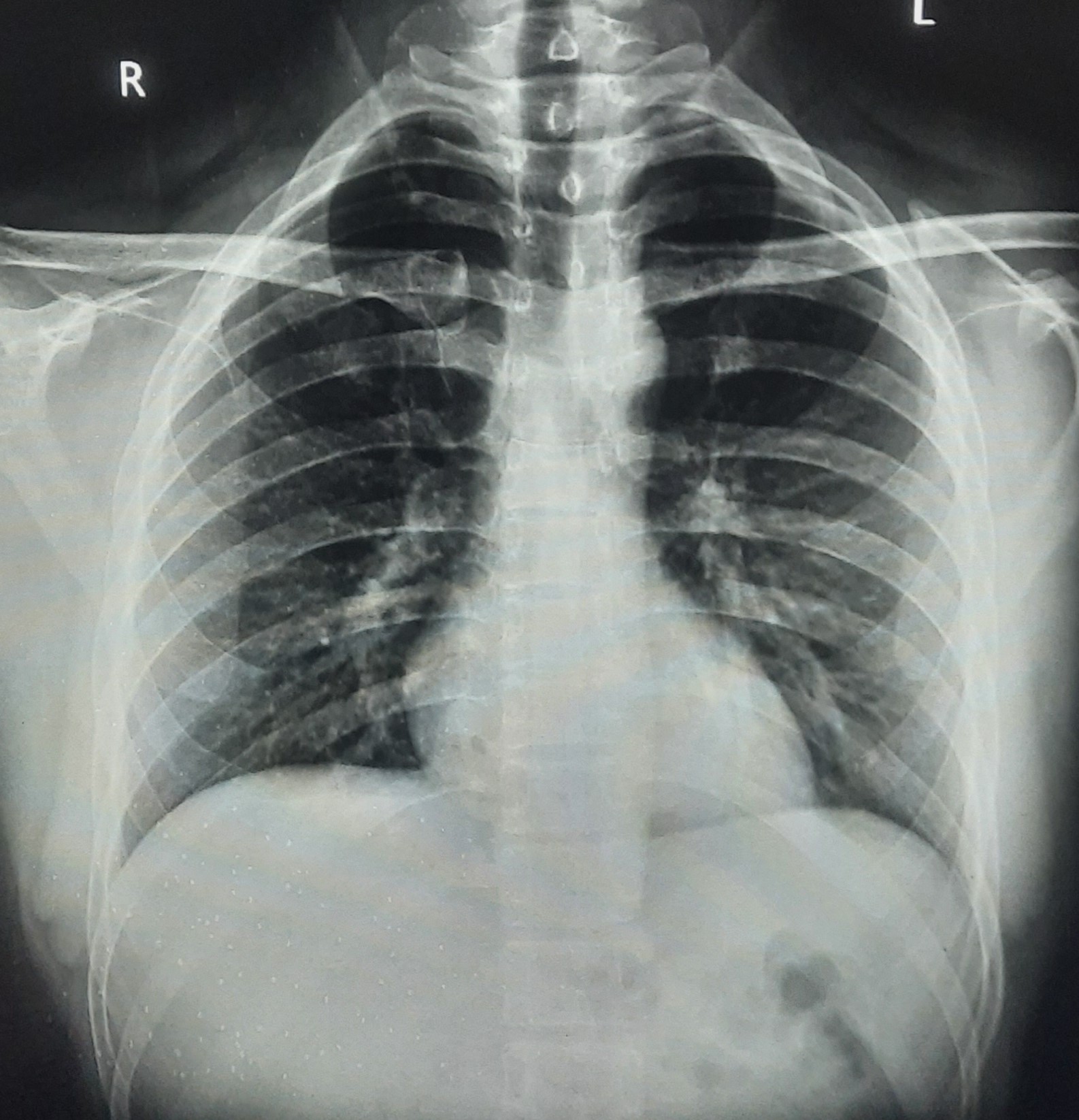
| # | Institute | Stage | Patient Id | Patient Name | Consent Taken | Age | Provisional and Final Diagnosis | Final Diagnosis category | Radiologist observation | Chest X-Ray finding | Chest X-Ray | Action | Delete | |
|---|---|---|---|---|---|---|---|---|---|---|---|---|---|---|
| 301 | IGGMC, Nagpur, Nagpur | P2 | 29-4171 | Gaurav Ambade | Consent taken on Paper | 27 Yrs. |
Provisional Diag : Pre-Employment Medical fitness
Final Diag : CxR- No Finding (Medical Fitness) |
Pure Normal Case (Cases with no complaint, NAD or medical fitness cases) | No significant abnormality seen in present chest X-ray | No abnormality visible on x-ray |
View |
|||
| 302 | IGGMC, Nagpur, Nagpur | P2 | 29-4170 | Vivek Umale | Consent taken on Paper | 28 Yrs. |
Provisional Diag : Pre-Employment Medical fitness
Final Diag : CxR- No Finding (Medical Fitness) |
Pure Normal Case (Cases with no complaint, NAD or medical fitness cases) | No significant abnormality seen in present chest X-ray | No abnormality visible on x-ray |
View |
|||
| 303 | IGGMC, Nagpur, Nagpur | P2 | 29-4169 | Mangesh Dongare | Consent taken on Paper | 38 Yrs. |
Provisional Diag : Pre-Employment Medical fitness
Final Diag : CxR- No Finding (Medical Fitness) |
Pure Normal Case (Cases with no complaint, NAD or medical fitness cases) | No significant abnormality seen in present chest X-ray | No abnormality visible on x-ray |
View |
|||
| 304 | IGGMC, Nagpur, Nagpur | P2 | 29-4168 | Mohamad Mubin | Consent taken on Paper | 72 Yrs. |
Provisional Diag : Hyperthyroidism Monthly Follow-Up
Final Diag : ? |
Special Normal (Cases with complaints or abnormality in x-ray) | No abnormality visible on x-ray |
View |
||||
| 305 | IGGMC, Nagpur, Nagpur | P2 | 29-4167 | Payal Barade | Consent taken on Paper | 14 Yrs. |
Provisional Diag : Pyrexia
Final Diag : CxR- No Finding |
Special Normal (Cases with complaints or abnormality in x-ray) | No abnormality visible on x-ray |
View |
||||
| 306 | IGGMC, Nagpur, Nagpur | P2 | 29-4166 | Pratidnya Gaikawad | Consent taken on Paper | 45 Yrs. |
Provisional Diag : Upper Respiratory Tract Infection
Final Diag : URTI (CxR- No Finding) |
Special Normal (Cases with complaints or abnormality in x-ray) | No abnormality visible on x-ray |
View |
||||
| 307 | IGGMC, Nagpur, Nagpur | P2 | 29-4165 | Musaib Ali | Consent taken on Paper | 13 Yrs. |
Provisional Diag : Body Pain Under Evaluation
Final Diag : ? |
Special Normal (Cases with complaints or abnormality in x-ray) | No abnormality visible on x-ray |
View |
||||
| 308 | IGGMC, Nagpur, Nagpur | P2 | 29-4164 | Hamida Begam | Consent taken on Paper | 66 Yrs. |
Provisional Diag : Chest Pain Under Evaluation
Final Diag : CxR - No Finding |
Special Normal (Cases with complaints or abnormality in x-ray) | No significant abnormality seen in present chest X-ray | No abnormality visible on x-ray |
View |
|||
| 309 | IGGMC, Nagpur, Nagpur | P2 | 29-4163 | Vipshyana Gajbhiye | Consent taken on Paper | 27 Yrs. |
Provisional Diag : Pre-Employment Medical fitness
Final Diag : CxR- No Finding (Medical Fitness) |
Pure Normal Case (Cases with no complaint, NAD or medical fitness cases) | No significant abnormality seen in present chest X-ray/ Insperity Film | No abnormality visible on x-ray |
View |
|||
| 310 | IGGMC, Nagpur, Nagpur | P2 | 29-4162 | Shabana Parveen | Consent taken on Paper | 43 Yrs. |
Provisional Diag : Lower Respiratory Tract Infection
Final Diag : LRTI (CxR- No Finding) |
Special Normal (Cases with complaints or abnormality in x-ray) | No abnormality visible on x-ray |
View |
||||
| 311 | IGGMC, Nagpur, Nagpur | P2 | 29-4161 | Mahendra Gupta | Consent taken on Paper | 34 Yrs. |
Provisional Diag : Chest Pain Under Evaluation
Final Diag : CxR - No Finding |
Special Normal (Cases with complaints or abnormality in x-ray) | No significant abnormality seen in present chest X-ray | No abnormality visible on x-ray |
View |
|||
| 312 | IGGMC, Nagpur, Nagpur | P2 | 29-4160 | Rita Dhole | Consent taken on Paper | 50 Yrs. |
Provisional Diag : Breathlessness Under Evaluation
Final Diag : ? |
Special Normal (Cases with complaints or abnormality in x-ray) | No abnormality visible on x-ray |
View |
||||
| 313 | IGGMC, Nagpur, Nagpur | P2 | 29-4159 | Moin Sayyad | Consent taken on Paper | 7 Yrs. |
Provisional Diag : Patient Came For Medical Fitness
Final Diag : ? |
Pure Normal Case (Cases with no complaint, NAD or medical fitness cases) | No abnormality visible on x-ray |
View |
||||
| 314 | IGGMC, Nagpur, Nagpur | P2 | 29-4158 | Nita Shende | Consent taken on Paper | 30 Yrs. |
Provisional Diag : Clinically Diagnosis Tubercular Cervical Lymphatics
Final Diag : ? |
Special Normal (Cases with complaints or abnormality in x-ray) | No abnormality visible on x-ray |
View |
||||
| 315 | IGGMC, Nagpur, Nagpur | P2 | 29-4157 | Basant Mishra | Consent taken on Paper | 44 Yrs. |
Provisional Diag : Upper Respiratory Tract Infection
Final Diag : URTI (CxR- No Finding) |
Special Normal (Cases with complaints or abnormality in x-ray) | No significant abnormality seen in present chest X-ray | No abnormality visible on x-ray |
View |
|||
| 316 | IGGMC, Nagpur, Nagpur | P2 | 29-4156 | Pallavi Tarale | Consent taken on Paper | 23 Yrs. |
Provisional Diag : Pre-Employment Medical fitness
Final Diag : CxR- No Finding (Medical Fitness) |
Pure Normal Case (Cases with no complaint, NAD or medical fitness cases) | No significant abnormality seen in present chest X-ray | No abnormality visible on x-ray |
View |
|||
| 317 | IGGMC, Nagpur, Nagpur | P2 | 29-4155 | Krishnaji Talekar | Consent taken on Paper | 69 Yrs. |
Provisional Diag : Cough Under Evaluation
Final Diag : CxR- No Finding |
Special Normal (Cases with complaints or abnormality in x-ray) | No significant abnormality seen in present chest X-ray | No abnormality visible on x-ray |
View |
|||
| 318 | IGGMC, Nagpur, Nagpur | P2 | 29-4154 | Tahera Bee | Consent taken on Paper | 70 Yrs. |
Provisional Diag : Post TB Bilateral Bronchiectasis
Final Diag : Post TB sequalae, Bilateral Bronchiectasis In Lower Lobe With Type 1 Respi Failure With Sepsis With Septic Shock With SYST HTN |
Post TB Sequelae | Abnormality visible on x-ray |
View |
||||
| 319 | IGGMC, Nagpur, Nagpur | P2 | 29-4153 | Minakshi Machhale | Consent taken on Paper | 36 Yrs. |
Provisional Diag : OAD With Cronic Bronchitis
Final Diag : Bronchitis |
Non-TB Case (Confirmed) | Abnormality visible on x-ray |
View |
||||
| 320 | IGGMC, Nagpur, Nagpur | P2 | 29-4152 Follow-up of 29-2562 |
Nasim Akhtar | Consent taken on Paper | 62 Yrs. |
Provisional Diag : ILD
Final Diag : ILD |
Non-TB Case (Confirmed) | Abnormality visible on x-ray |
View |
||||
| 321 | IGGMC, Nagpur, Nagpur | P2 | 29-4151 | Ishrath Bano | Consent taken on Paper | 46 Yrs. |
Provisional Diag : Post TB Sequelae
Final Diag : Post TB sequalae with old treated Pyo-pneumothorax with old treated IHD with Seizure |
Post TB Sequelae | Abnormality visible on x-ray |
View |
||||
| 322 | IGGMC, Nagpur, Nagpur | P2 | 29-4150 | Ramsaloni Tripati | Consent taken on Paper | 80 Yrs. |
Provisional Diag : COPD in infective Exacerbation in current smoker with systematic HTN
Final Diag : COPD in infective Exacerbation in current smoker with systematic HTN |
Non-TB Case (Confirmed) | Abnormality visible on x-ray |
View |
||||
| 323 | IGGMC, Nagpur, Nagpur | P2 | 29-4149 | Pratik Petkar | Consent taken on Paper | 37 Yrs. |
Provisional Diag : Pulmonary Tuberculosis
Final Diag : Pulmonary Tuberculosis left sided clinically diagnosed pleural effusion |
TB Case (Confirmed) | Abnormality visible on x-ray |
View |
||||
| 324 | IGGMC, Nagpur, Nagpur | P2 | 29-4148 | Arif Khan | Consent taken on Paper | 30 Yrs. |
Provisional Diag : Pleural Effusion
Final Diag : Left Sided Clinically Diagnosed Tubercular Pleural Effusion |
TB Case (Confirmed) | Abnormality visible on x-ray |
View |
||||
| 325 | IGGMC, Nagpur, Nagpur | P2 | 29-4147 | Gunvanta Narkhede | Consent taken on Paper | 35 Yrs. |
Provisional Diag : Pulmonary Tuberculosis
Final Diag : Pulmonary Tuberculosis |
TB Case (Confirmed) | Abnormality visible on x-ray |
View |
||||
| 326 | IGGMC, Nagpur, Nagpur | P2 | 29-4146 Follow-up of 29-2929 |
Sidhharth Nitnaware | Consent taken on Paper | 62 Yrs. |
Provisional Diag : Post TB Sequelae
Final Diag : Post TB sequalae, Fibrosis With IHD |
Post TB Sequelae | Abnormality visible on x-ray |
View |
||||
| 327 | IGGMC, Nagpur, Nagpur | P2 | 29-4145 | Consent taken on Paper | 68 Yrs. |
Provisional Diag : ?
Final Diag : ? |
? | X | ||||||
| 328 | IGGMC, Nagpur, Nagpur | P2 | 29-4144 | Dhanraj Nandeshwar | Consent taken on Paper |
Provisional Diag : ?
Final Diag : ? |
Result awaited (Suspected TB/Non-TB) | ? |
View |
|||||
| 329 | IGGMC, Nagpur, Nagpur | P2 | 29-4143 | Bhaskar Panday | Consent taken on Paper |
Provisional Diag : OAD In Exacerbation With Type 1 Respi Failure
Final Diag : Bilateral L2 Consolidation pneumonia With SYHTN With Diathetic Ketacidasis |
TB Case (Confirmed) | Abnormality visible on x-ray |
View |
|||||
| 330 | IGGMC, Nagpur, Nagpur | P2 | 29-4142 | Pravin Chauhan | Consent taken on Paper | 72 Yrs. |
Provisional Diag : Post TB Sequelae
Final Diag : Post TB sequalae COAD With Right Upper Zone Fibrosis With Bilateral Bronchiectasis In Exacerbation |
Post TB Sequelae | Abnormality visible on x-ray |
View |
||||
| 331 | IGGMC, Nagpur, Nagpur | P2 | 29-4141 | Madhukar Fulake | Consent taken on Paper | 55 Yrs. |
Provisional Diag : Post TB Sequelae, Fibrosis
Final Diag : Post TB sequalae, COAD With Left Sided Pleural Parenchymal Fibrosis With Left Sided Plural Calcification With Faty Liver |
Post TB Sequelae | Abnormality visible on x-ray |
View |
||||
| 332 | IGGMC, Nagpur, Nagpur | P2 | 29-4140 | Mohamad Bashir | Consent taken on Paper | 75 Yrs. |
Provisional Diag : COPD
Final Diag : COPD In intense exerbation |
Non-TB Case (Confirmed) | COPD changes seen | Abnormality visible on x-ray |
View |
|||
| 333 | IGGMC, Nagpur, Nagpur | P2 | 29-4139 | Nikita Wasnik | Consent taken on Paper | 28 Yrs. |
Provisional Diag : Bronchiectasis
Final Diag : Primigravida Acute Bronchiectasis With Type 2 Infection |
Result awaited (Suspected TB/Non-TB) | Abnormality visible on x-ray |
View |
||||
| 334 | IGGMC, Nagpur, Nagpur | P2 | 29-4138 | Dipa Chaudhary | Consent taken on Paper | 14 Yrs. |
Provisional Diag : Pulmonary Tuberculosis
Final Diag : Microbiologically Confirmed Pulmonary Tuberculosis ATT Indued Hepatitis |
TB Case (Confirmed) | Abnormality visible on x-ray |
View |
||||
| 335 | IGGMC, Nagpur, Nagpur | P2 | 29-4137 | Chandrakala Mandale | Consent taken on Paper | 55 Yrs. |
Provisional Diag : COPD ?
Final Diag : COPD With Type 2 Respi Failure |
Non-TB Case (Confirmed) | COPD changes seen | Abnormality visible on x-ray |
View |
|||
| 336 | IGGMC, Nagpur, Nagpur | P2 | 29-4136 | Sandip Uikey | Consent taken on Paper | 42 Yrs. |
Provisional Diag : PLHIV
Final Diag : PL HIV With Micro Confirmed Pulmonary Tubercular |
TB Case (Confirmed) | Abnormality visible on x-ray |
View |
||||
| 337 | IGGMC, Nagpur, Nagpur | P2 | 29-4135 | Nirbhay Fakirde | Consent taken on Paper | 58 Yrs. |
Provisional Diag : COPD
Final Diag : COPD in exerabation with middle zone respi failure right sided pleural effusion |
Non-TB Case (Confirmed) | Abnormality visible on x-ray |
View |
||||
| 338 | IGGMC, Nagpur, Nagpur | P2 | 29-4134 | Rupesh Dongse | Consent taken on Paper | 43 Yrs. |
Provisional Diag : Consolidation
Final Diag : Bilateral Consolidation Community Acquired Pneumonia With Type 1 Respi Failure In Cronic Alcoholic |
Non-TB Case (Confirmed) | Bilateral Consolidation | Abnormality visible on x-ray |
View |
|||
| 339 | IGGMC, Nagpur, Nagpur | P2 | 29-4133 | Narsingh Bawane | Consent taken on Paper | 32 Yrs. |
Provisional Diag : Pleural Effusion
Final Diag : Right Sided Tubercular Pleural Effusion |
TB Case (Confirmed) | Abnormality visible on x-ray |
View |
||||
| 340 | IGGMC, Nagpur, Nagpur | P2 | 29-4132 | Ajay Dhabne | Consent taken on Paper | 44 Yrs. |
Provisional Diag : ILD (Interstitial Lung Disease)
Final Diag : ILD In Exacerbation With Old Treated Pulmonary TB With Post Covid Satiation |
Result awaited (Suspected TB/Non-TB) | Abnormality visible on x-ray |
View |
||||
| 341 | IGGMC, Nagpur, Nagpur | P2 | 29-4131 | Tarzan Sahu | Consent taken on Paper | 34 Yrs. |
Provisional Diag : Bilateral Consolidations
Final Diag : Liver Disease |
Non-TB Case (Confirmed) | Faty Liver With Left Middle Zone, Lower Zone Consolidation With Symptomatic Effusion | Abnormality visible on x-ray |
View |
|||
| 342 | IGGMC, Nagpur, Nagpur | P2 | 29-4130 | Mayuri Borse | Consent taken on Paper | 26 Yrs. |
Provisional Diag : Pre-Employment Medical fitness
Final Diag : CxR No Finding (Medical Fitness) |
Pure Normal Case (Cases with no complaint, NAD or medical fitness cases) | No significant abnormality seen in present chest X-ray | No abnormality visible on x-ray |
View |
|||
| 343 | IGGMC, Nagpur, Nagpur | P2 | 29-4129 | Akshay Romgar | Consent taken on Paper | 33 Yrs. |
Provisional Diag : Pre-Employment Medical fitness
Final Diag : CxR No Finding (Medical Fitness) |
Pure Normal Case (Cases with no complaint, NAD or medical fitness cases) | No significant abnormality seen in present chest X-ray | No abnormality visible on x-ray |
View |
|||
| 344 | IGGMC, Nagpur, Nagpur | P2 | 29-4128 | Swati Patil | Consent taken on Paper | 29 Yrs. |
Provisional Diag : Pre-Employment Medical fitness
Final Diag : CxR No Finding (Medical Fitness) |
Pure Normal Case (Cases with no complaint, NAD or medical fitness cases) | No significant abnormality seen in present chest X-ray | No abnormality visible on x-ray |
View |
|||
| 345 | IGGMC, Nagpur, Nagpur | P2 | 29-4127 | Rafiq Sheikh | Consent taken on Paper | 40 Yrs. |
Provisional Diag : Post TB Sequelae
Final Diag : Post TB sequalae, COAD With Bilateral Bronchiectasis |
Post TB Sequelae | Abnormality visible on x-ray |
View |
||||
| 346 | IGGMC, Nagpur, Nagpur | P2 | 29-4126 | Geeta Gupta | Consent taken on Paper | 38 Yrs. |
Provisional Diag : Lower Respiratory Tract Infection
Final Diag : ? |
Special Normal (Cases with complaints or abnormality in x-ray) | No abnormality visible on x-ray |
View |
||||
| 347 | IGGMC, Nagpur, Nagpur | P2 | 29-4125 | Somkuwar Sahu | Consent taken on Paper | 53 Yrs. |
Provisional Diag : Chest Pain Under Evaluation
Final Diag : ? |
Special Normal (Cases with complaints or abnormality in x-ray) | No abnormality visible on x-ray |
View |
||||
| 348 | IGGMC, Nagpur, Nagpur | P2 | 29-4124 | Kesharbai Binarwar | Consent taken on Paper | 56 Yrs. |
Provisional Diag : Weakness Under Evaluation
Final Diag : Weakness |
Special Normal (Cases with complaints or abnormality in x-ray) | No abnormality visible on x-ray |
View |
||||
| 349 | IGGMC, Nagpur, Nagpur | P2 | 29-4123 | Sajid Sheikh | Consent taken on Paper | 25 Yrs. |
Provisional Diag : Pre-Employment Medical fitness
Final Diag : PRE EMPOLYMENT-MEDICAL FITNESS |
Pure Normal Case (Cases with no complaint, NAD or medical fitness cases) | Normal- No significant abnormality seen in present chest X-ray | No abnormality visible on x-ray |
View |
|||
| 350 | IGGMC, Nagpur, Nagpur | P2 | 29-4122 | Pravin Thaware | Consent taken on Paper | 32 Yrs. |
Provisional Diag : Pre-Employment Medical fitness
Final Diag : CxR No Finding (Medical Fitness) |
Pure Normal Case (Cases with no complaint, NAD or medical fitness cases) | NODULAR OPACITIES SEEN IN BILATERAL HILAR REGION | No abnormality visible on x-ray |
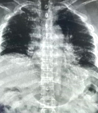
View |
















































