| # | Institute | Stage | Patient Id | Patient Name | Consent Taken | Age | Provisional and Final Diagnosis | Final Diagnosis category | Radiologist observation | Chest X-Ray finding | Chest X-Ray | Action | Delete | |
|---|---|---|---|---|---|---|---|---|---|---|---|---|---|---|
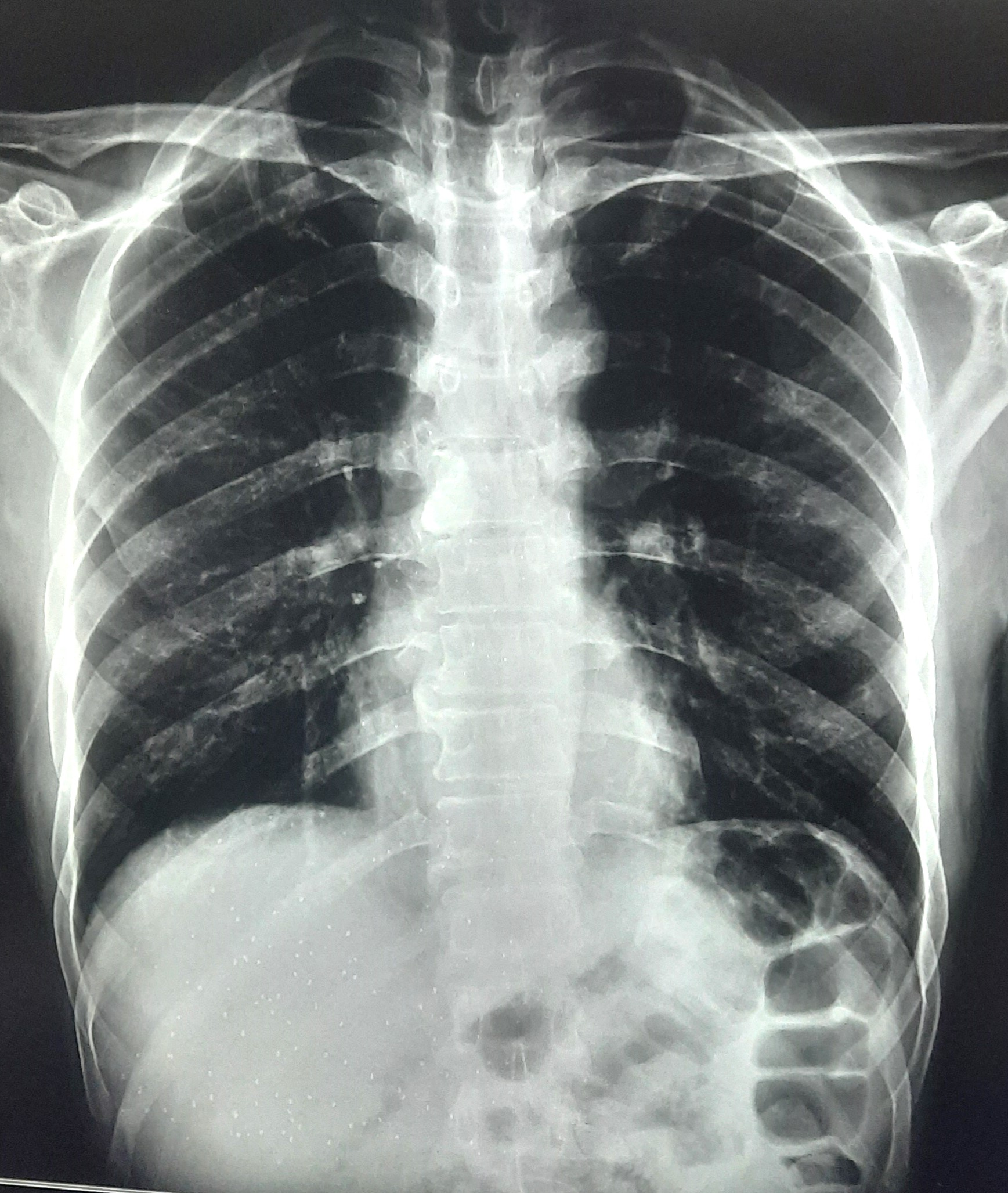
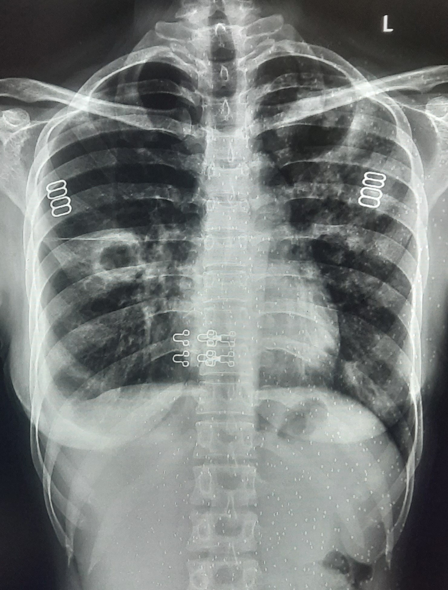
| 251 | IGGMC, Nagpur, Nagpur | P2 | 29-4221 | Ganpat Gaikawad | Consent taken on Paper | 70 Yrs. |
Provisional Diag : post TB sequele?
Final Diag : Fibrosis |
Non-TB Case (Confirmed) | Fibrosis | Abnormality visible on x-ray |
View |
|||
| 252 | IGGMC, Nagpur, Nagpur | P2 | 29-4220 | Nagesh Dolas | Consent taken on Paper | 29 Yrs. |
Provisional Diag : Pre-Employment Medical fitness
Final Diag : CxR- No Finding PRE EMP Medical Fitness) |
Pure Normal Case (Cases with no complaint, NAD or medical fitness cases) | NO SIGNIFICANT ABNORMALITY SEEN IN PRESENT CHEST X-RAY | No abnormality visible on x-ray |
View |
|||
| 253 | IGGMC, Nagpur, Nagpur | P2 | 29-4219 | Avinash Barahate | Consent taken on Paper | 25 Yrs. |
Provisional Diag : Pre-Employment Medical fitness
Final Diag : CxR- No Finding (PRE EMP Medical Fitness) |
Pure Normal Case (Cases with no complaint, NAD or medical fitness cases) | NO SIGNIFICANT ABNORMALITY SEEN IN PRESENT CHEST X-RAY | No abnormality visible on x-ray |
View |
|||
| 254 | IGGMC, Nagpur, Nagpur | P2 | 29-4218 | Barkha Sahare | Consent taken on Paper | 29 Yrs. |
Provisional Diag : Pre-Employment Medical fitness
Final Diag : CxR- No Finding (Medical Fitness) |
Pure Normal Case (Cases with no complaint, NAD or medical fitness cases) | NO SIGNIFICANT ABNORMALITY SEEN IN PRESENT CHEST X-RAY | No abnormality visible on x-ray |
View |
|||
| 255 | IGGMC, Nagpur, Nagpur | P2 | 29-4217 | Harish Mate | Consent taken on Paper | 26 Yrs. |
Provisional Diag : Pre-Employment Medical fitness
Final Diag : CxR- No Finding (Medical Fitness) |
Pure Normal Case (Cases with no complaint, NAD or medical fitness cases) | NO SIGNIFICANT ABNORMALITY SEEN IN PRESENT CHEST X-RAY | No abnormality visible on x-ray |
View |
|||
| 256 | IGGMC, Nagpur, Nagpur | P2 | 29-4216 | Hajra Bano | Consent taken on Paper | 55 Yrs. |
Provisional Diag : Breathlessness Under Evaluation
Final Diag : ASTHMA |
Non-TB Case (Confirmed) | INCREASED bv MARKINGS IN LOWER ZONE OF RIGHT LUNG | No abnormality visible on x-ray |
View |
|||
| 257 | IGGMC, Nagpur, Nagpur | P2 | 29-4215 | Inzamam Mohamad | Consent taken on Paper | 25 Yrs. |
Provisional Diag : Chest Pain Under Evaluation
Final Diag : Angina/CHEST PAIN (CxR - No Finding) |
Special Normal (Cases with complaints or abnormality in x-ray) | NO SIGNIFICANT ABNORMALITY SEEN IN PRESENT CHEST X-RAY | No abnormality visible on x-ray |
View |
|||
| 258 | IGGMC, Nagpur, Nagpur | P2 | 29-4214 | Nehal Sawarkar | Consent taken on Paper | 29 Yrs. |
Provisional Diag : CHEST PAIN UNDER EVALUATION
Final Diag : Upper Respiratory Tract Infection |
Special Normal (Cases with complaints or abnormality in x-ray) | NO SIGNIFICANT ABNORMALITY SEEN IN PRESENT CHEST X-RAY | No abnormality visible on x-ray |
View |
|||
| 259 | IGGMC, Nagpur, Nagpur | P2 | 29-4213 | Chandrakala Pandit | Consent taken on Paper | 78 Yrs. |
Provisional Diag : CHEST PAIN UNDER EVALUATION
Final Diag : UPPER RESPI TRACT INFECTION |
Special Normal (Cases with complaints or abnormality in x-ray) | NO SIGNIFICANT ABNORMALITY SEEN IN PRESENT CHEST X-RAY | No abnormality visible on x-ray |
View |
|||
| 260 | IGGMC, Nagpur, Nagpur | P2 | 29-4212 | Noorjaha Begam | Consent taken on Paper | 40 Yrs. |
Provisional Diag : Neck Swelling/ Difficulty Breathing
Final Diag : Neck Swelling |
Special Normal (Cases with complaints or abnormality in x-ray) | NO SIGNIFICANT ABNORMALITY SEEN IN PRESENT CHEST X-RAY | No abnormality visible on x-ray |
View |
|||
| 261 | IGGMC, Nagpur, Nagpur | P2 | 29-4211 | Prachi Borkar | Consent taken on Paper | 17 Yrs. |
Provisional Diag : Breast Lump
Final Diag : Fibroadenoma (CxR-No Finding) |
Special Normal (Cases with complaints or abnormality in x-ray) | NO SIGNIFICANT ABNORMALITY SEEN IN PRESENT CHEST X-RAY | No abnormality visible on x-ray |
View |
|||
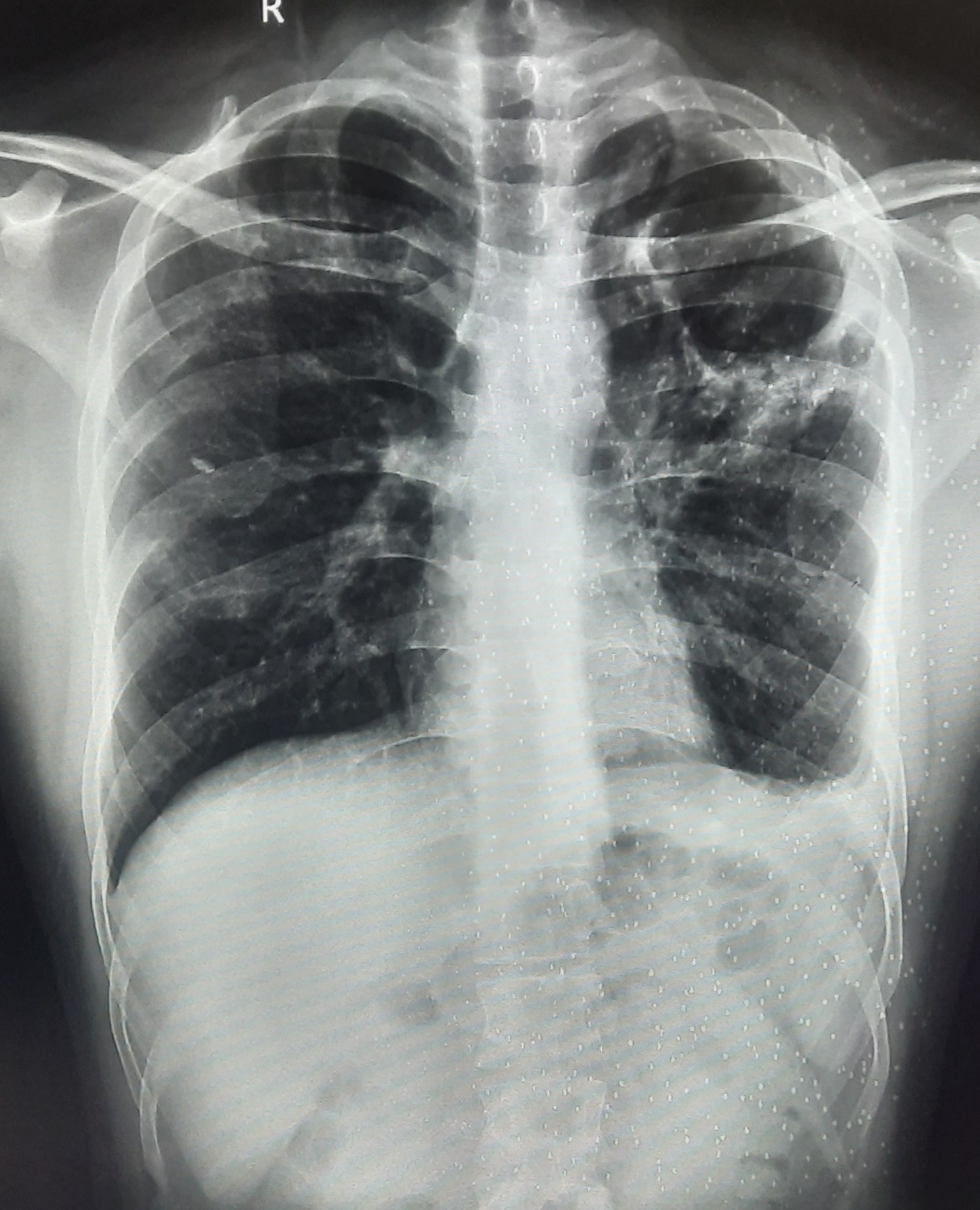
| 262 | IGGMC, Nagpur, Nagpur | P2 | 29-4210 | Mohamad Aslam | Consent taken on Paper | 35 Yrs. |
Provisional Diag : C/O Extra Pulmonary TB
Final Diag : FIBROSIS |
TB Case (Confirmed) | S/O RETICULAR OPACITIES NOTED IN RIGHT UPPER & MIDDLE ZONE/ QUERY FIBROSIS | Abnormality visible on x-ray |
View |
|||
| 263 | IGGMC, Nagpur, Nagpur | P2 | 29-4209 | Jyoti Tarale | Consent taken on Paper | 45 Yrs. |
Provisional Diag : Breast Lump PRE OP CHECK UP
Final Diag : Breast Lump PRE OP MEDICAL FITNESS |
Special Normal (Cases with complaints or abnormality in x-ray) | NO SIGNIFICANT ABNORMALITY SEEN IN PRESENT CHEST X-RAY | No abnormality visible on x-ray |
View |
|||
| 264 | IGGMC, Nagpur, Nagpur | P2 | 29-4208 | Usha Nandardhane | Consent taken on Paper | 27 Yrs. |
Provisional Diag : fever under evaluation
Final Diag : VIRAL FEVER |
Special Normal (Cases with complaints or abnormality in x-ray) | NO SIGNIFICANT ABNORMALITY SEEN IN PRESENT CHEST X-RAY | No abnormality visible on x-ray |
View |
|||
| 265 | IGGMC, Nagpur, Nagpur | P2 | 29-4207 | Nisha Suryawanshi | Consent taken on Paper | 34 Yrs. |
Provisional Diag : Swollen Neck lymph nodes
Final Diag : TONSILLITIS |
Special Normal (Cases with complaints or abnormality in x-ray) | NO SIGNIFICANT ABNORMALITY SEEN IN PRESENT CHEST X-RAY | No abnormality visible on x-ray |
View |
|||
| 266 | IGGMC, Nagpur, Nagpur | P2 | 29-4206 | Rachana Sakhare | Consent taken on Paper | 35 Yrs. |
Provisional Diag : Pain In Abdomen
Final Diag : Abdomen Pain (OVARIAN CYST) |
Special Normal (Cases with complaints or abnormality in x-ray) | NO SIGNIFICANT ABNORMALITY SEEN IN PRESENT CHEST X-RAY | No abnormality visible on x-ray |
View |
|||
| 267 | IGGMC, Nagpur, Nagpur | P2 | 29-4205 | Ashish Anna Borkute | Consent taken on Paper | 29 Yrs. |
Provisional Diag : Pre-Employment Medical fitness
Final Diag : CxR- No Finding (Medical Fitness) |
Pure Normal Case (Cases with no complaint, NAD or medical fitness cases) | NO SIGNIFICANT ABNORMALITY SEEN IN PRESENT CHEST X-RAY | No abnormality visible on x-ray |
View |
|||
| 268 | IGGMC, Nagpur, Nagpur | P2 | 29-4204 | Ashrut Bondade | Consent taken on Paper | 26 Yrs. |
Provisional Diag : Pre-Employment Medical fitness
Final Diag : CxR- No Finding (Medical Fitness) |
Pure Normal Case (Cases with no complaint, NAD or medical fitness cases) | NO SIGNIFICANT ABNORMALITY SEEN IN PRESENT CHEST X-RAY | No abnormality visible on x-ray |
View |
|||
| 269 | IGGMC, Nagpur, Nagpur | P2 | 29-4203 | Rohit Singh | Consent taken on Paper | 21 Yrs. |
Provisional Diag : fever under evaluation
Final Diag : FEVER/WEAKNESS |
Special Normal (Cases with complaints or abnormality in x-ray) | NO SIGNIFICANT ABNORMALITY SEEN IN PRESENT CHEST X-RAY | No abnormality visible on x-ray |
View |
|||
| 270 | IGGMC, Nagpur, Nagpur | P2 | 29-4202 | Krishna Raut | Consent taken on Paper | 37 Yrs. |
Provisional Diag : Pre-Employment Medical fitness
Final Diag : CxR- No Finding (Medical Fitness) |
Pure Normal Case (Cases with no complaint, NAD or medical fitness cases) | NO SIGNIFICANT ABNORMALITY SEEN IN PRESENT CHEST X-RAY | No abnormality visible on x-ray |
View |
|||
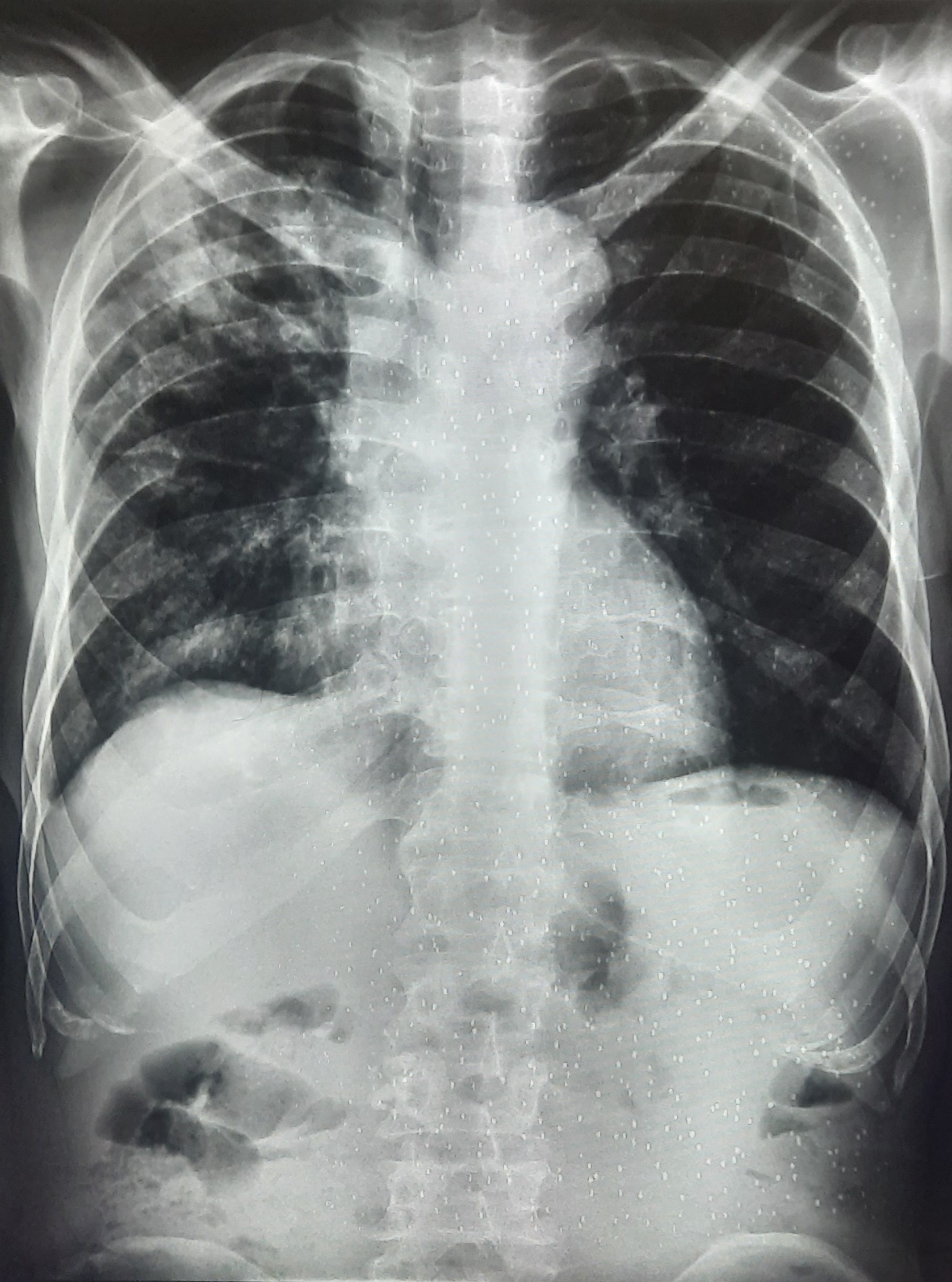
| 271 | IGGMC, Nagpur, Nagpur | P2 | 29-4201 | Abddul Qayyam | Consent taken on Paper | 75 Yrs. |
Provisional Diag : Upper Respiratory Tract Infection
Final Diag : FIBROSIS |
Non-TB Case (Confirmed) | RETICULAR OPACITIES NOTED IN PREDOMINANTLY IN UPPER ZONE OF RIGHT LUNG PARENCHYMA | Abnormality visible on x-ray |
View |
|||
| 272 | IGGMC, Nagpur, Nagpur | P2 | 29-4200 | Mayur Jirapure | Consent taken on Paper | 37 Yrs. |
Provisional Diag : Pre-Employment Medical fitness
Final Diag : CxR- No Finding (Medical Fitness) |
Pure Normal Case (Cases with no complaint, NAD or medical fitness cases) | NO SIGNIFICANT ABNORMALITY SEEN IN PRESENT CHEST X-RAY | No abnormality visible on x-ray |
View |
|||
| 273 | IGGMC, Nagpur, Nagpur | P2 | 29-4199 | Yogesh Shende | Consent taken on Paper | 27 Yrs. |
Provisional Diag : Abdomen Pain Under Evaluation
Final Diag : FOOD POISONING |
Special Normal (Cases with complaints or abnormality in x-ray) | METTALIC ARTIFACT | No abnormality visible on x-ray |
View |
|||
| 274 | IGGMC, Nagpur, Nagpur | P2 | 29-4198 | Ravindra Purushottam Moundekar | Consent taken on Paper | 45 Yrs. |
Provisional Diag : Rhinosinusitis
Final Diag : Acute rhinosinusitis |
Special Normal (Cases with complaints or abnormality in x-ray) | NO SIGNIFICANT ABNORMALITY SEEN IN PRESENT CHEST X-RAY | No abnormality visible on x-ray |
View |
|||
| 275 | IGGMC, Nagpur, Nagpur | P2 | 29-4197 | Chetan Katare | Consent taken on Paper | 35 Yrs. |
Provisional Diag : Chest Pain Under Evaluation
Final Diag : GASTRIC Chest Pain |
Special Normal (Cases with complaints or abnormality in x-ray) | NO SIGNIFICANT ABNORMALITY SEEN IN PRESENT CHEST X-RAY | No abnormality visible on x-ray |
View |
|||
| 276 | IGGMC, Nagpur, Nagpur | P2 | 29-4196 | Basantilal Jain | Consent taken on Paper | 72 Yrs. |
Provisional Diag : Abdomen Pain Under Evaluation
Final Diag : ? |
Special Normal (Cases with complaints or abnormality in x-ray) | No abnormality visible on x-ray |
View |
||||
| 277 | IGGMC, Nagpur, Nagpur | P2 | 29-4195 | Arfat Ansari | Consent taken on Paper | 17 Yrs. |
Provisional Diag : Upper Respiratory Tract Infection
Final Diag : URTI (CxR- No Finding) |
Special Normal (Cases with complaints or abnormality in x-ray) | No abnormality visible on x-ray |
View |
||||
| 278 | IGGMC, Nagpur, Nagpur | P2 | 29-4194 | Taljeet kaur | Consent taken on Paper | 47 Yrs. |
Provisional Diag : Patient Came For Medical Fitness
Final Diag : ? |
Special Normal (Cases with complaints or abnormality in x-ray) | No abnormality visible on x-ray |
View |
||||
| 279 | IGGMC, Nagpur, Nagpur | P2 | 29-4193 | Shankar Domkandwar | Consent taken on Paper | 59 Yrs. |
Provisional Diag : Upper Respiratory Tract Infection
Final Diag : URTI (CxR- No Finding) |
Special Normal (Cases with complaints or abnormality in x-ray) | No abnormality visible on x-ray |
View |
||||
| 280 | IGGMC, Nagpur, Nagpur | P2 | 29-4192 | Rakesh Pardhi | Consent taken on Paper | 40 Yrs. |
Provisional Diag : Weakness Under Evaluation
Final Diag : ? |
Special Normal (Cases with complaints or abnormality in x-ray) | No abnormality visible on x-ray |
View |
||||
| 281 | IGGMC, Nagpur, Nagpur | P2 | 29-4191 | Devendra Thakare | Consent taken on Paper | 37 Yrs. |
Provisional Diag : ?
Final Diag : ? |
Special Normal (Cases with complaints or abnormality in x-ray) | No abnormality visible on x-ray |
View |
||||
| 282 | IGGMC, Nagpur, Nagpur | P2 | 29-4190 | Manisha Jagmole | Consent taken on Paper | 34 Yrs. |
Provisional Diag : Pre-Employment Medical fitness
Final Diag : CxR- No Finding (Pre-Employment Medical fitness) |
Pure Normal Case (Cases with no complaint, NAD or medical fitness cases) | No abnormality visible on x-ray |
View |
||||
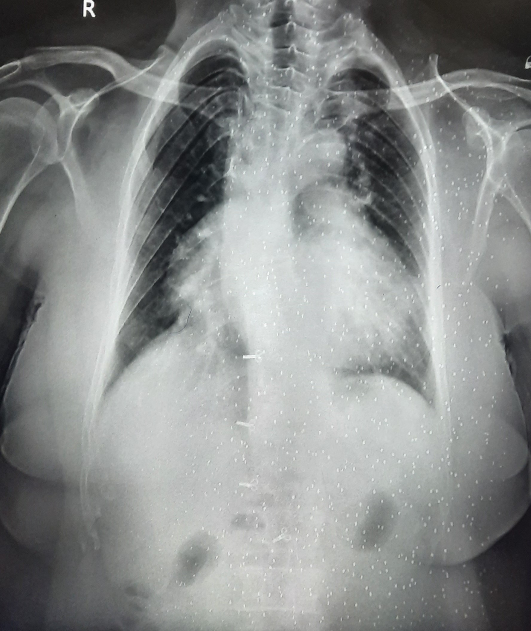
| 283 | IGGMC, Nagpur, Nagpur | P2 | 29-4189 Follow-up of 29-3923 |
Monali Pralhad Milmile | Consent taken on Paper | 46 Yrs. |
Provisional Diag : PTB Follow-up
Final Diag : Pleural Effusion |
TB Case (Confirmed) | Right Sided Upper Zone Fibrotic Lesion, Tracheal Pull Left side, Right sided & Left Sided Pleural Thickening Present, Right sided & Left Sided CP Angle Blunting Present, | Abnormality visible on x-ray |
View |
|||
| 284 | IGGMC, Nagpur, Nagpur | P2 | 29-4188 | Mohamad Jamil Ansari | Consent taken on Paper | 57 Yrs. |
Provisional Diag : Lower Respiratory Tract Infection
Final Diag : Emphysema |
Non-TB Case (Confirmed) | Abnormality visible on x-ray |
View |
||||
| 285 | IGGMC, Nagpur, Nagpur | P2 | 29-4187 | Kalpna Hatmode | Consent taken on Paper | 47 Yrs. |
Provisional Diag : Interstitial Lung Disease
Final Diag : ILD (Interstitial Lung Disease) |
Non-TB Case (Confirmed) | Abnormality visible on x-ray |
View |
||||
| 286 | IGGMC, Nagpur, Nagpur | P2 | 29-4186 | Roshan Ghusare | Consent taken on Paper | 32 Yrs. |
Provisional Diag : Microbiologically Conformed PTB
Final Diag : TB Infiltration |
TB Case (Confirmed) | Abnormality visible on x-ray |
View |
||||
| 287 | IGGMC, Nagpur, Nagpur | P2 | 29-4185 | Hemlata Dhoke | Consent taken on Paper | 30 Yrs. |
Provisional Diag : TB Infiltration
Final Diag : Pulmonary Tuberculosis (CxR-TB Infiltration With Right Sided Pleural Effusion) |
TB Case (Confirmed) | Abnormality visible on x-ray |
View |
||||
| 288 | IGGMC, Nagpur, Nagpur | P2 | 29-4184 | Sadiya Kausar | Consent taken on Paper | 23 Yrs. |
Provisional Diag : Cervical Tuberculosis Follow-Up
Final Diag : Disseminated TB (CxR- Right Middle Zone Consolidation) |
TB Case (Confirmed) | Abnormality visible on x-ray |
View |
||||
| 289 | IGGMC, Nagpur, Nagpur | P2 | 29-4183 | Rashmi Shende | Consent taken on Paper | 30 Yrs. |
Provisional Diag : TB Cavitation
Final Diag : Pulmonary Tuberculosis (CxR- Right Middle Zone Cavity) |
TB Case (Confirmed) | Abnormality visible on x-ray |
View |
||||
| 290 | IGGMC, Nagpur, Nagpur | P2 | 29-4182 | Shubham Lawankar | Consent taken on Paper | 28 Yrs. |
Provisional Diag : Pulmonary Tuberculosis Follow-Up
Final Diag : Pulmonary Tuberculosis (clinically diagnosed PTB) |
TB Case (Confirmed) | Abnormality visible on x-ray |
View |
||||
| 291 | IGGMC, Nagpur, Nagpur | P2 | 29-4181 | Rajendra Indurkar | Consent taken on Paper | 55 Yrs. |
Provisional Diag : Infiltration?
Final Diag : ? |
Non-TB Case (Confirmed) | Abnormality visible on x-ray |
View |
||||
| 292 | IGGMC, Nagpur, Nagpur | P2 | 29-4180 | Geeta Bhonde | Consent taken on Paper | 52 Yrs. |
Provisional Diag : ?
Final Diag : Cardiomegaly |
Non-TB Case (Confirmed) | Abnormality visible on x-ray |
View |
||||
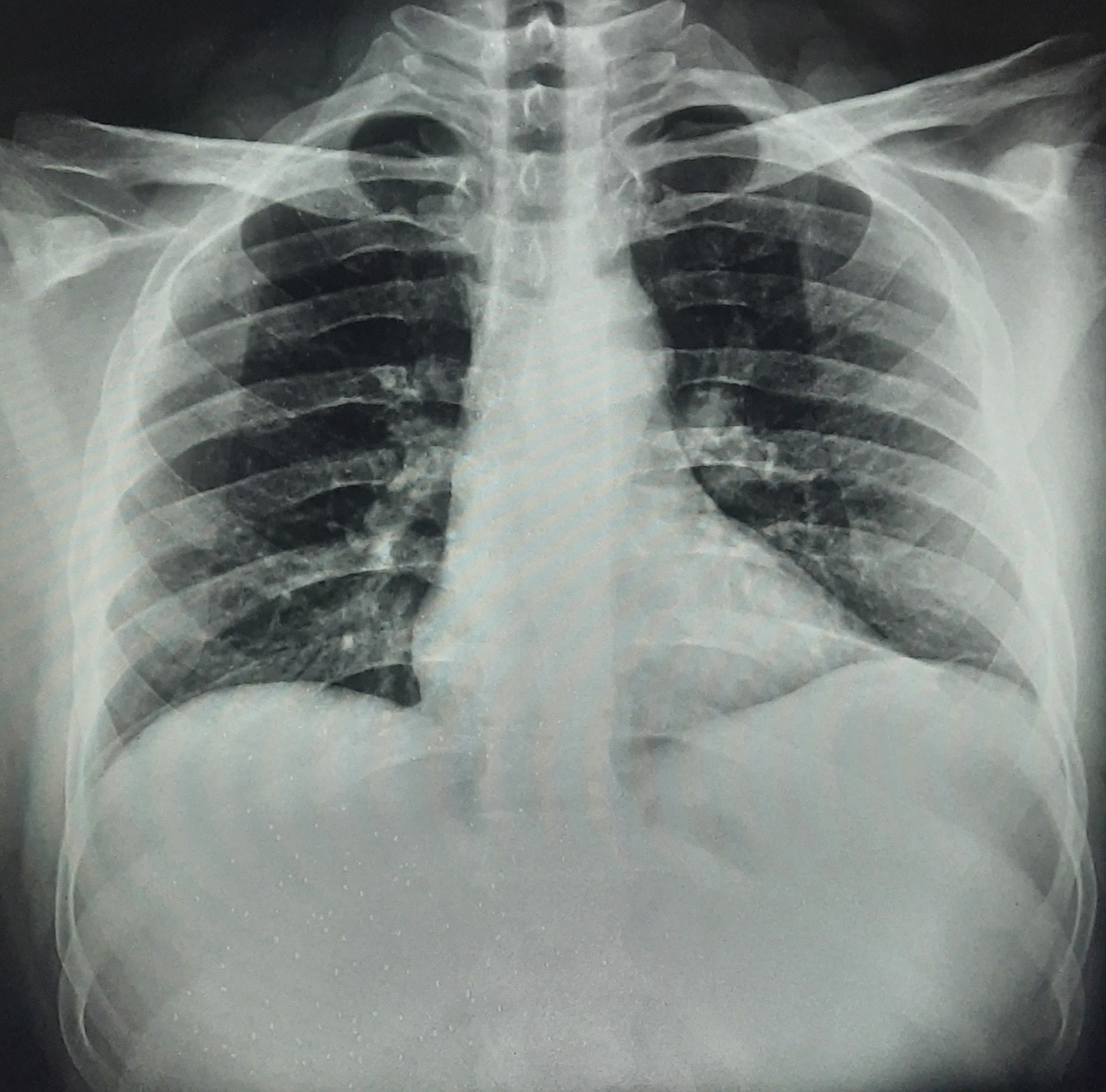
| 293 | IGGMC, Nagpur, Nagpur | P2 | 29-4179 | Shabnam Tabssum | Consent taken on Paper | 24 Yrs. |
Provisional Diag : TB Infiltration
Final Diag : TB Infiltration |
TB Case (Confirmed) | Abnormality visible on x-ray |
View |
||||
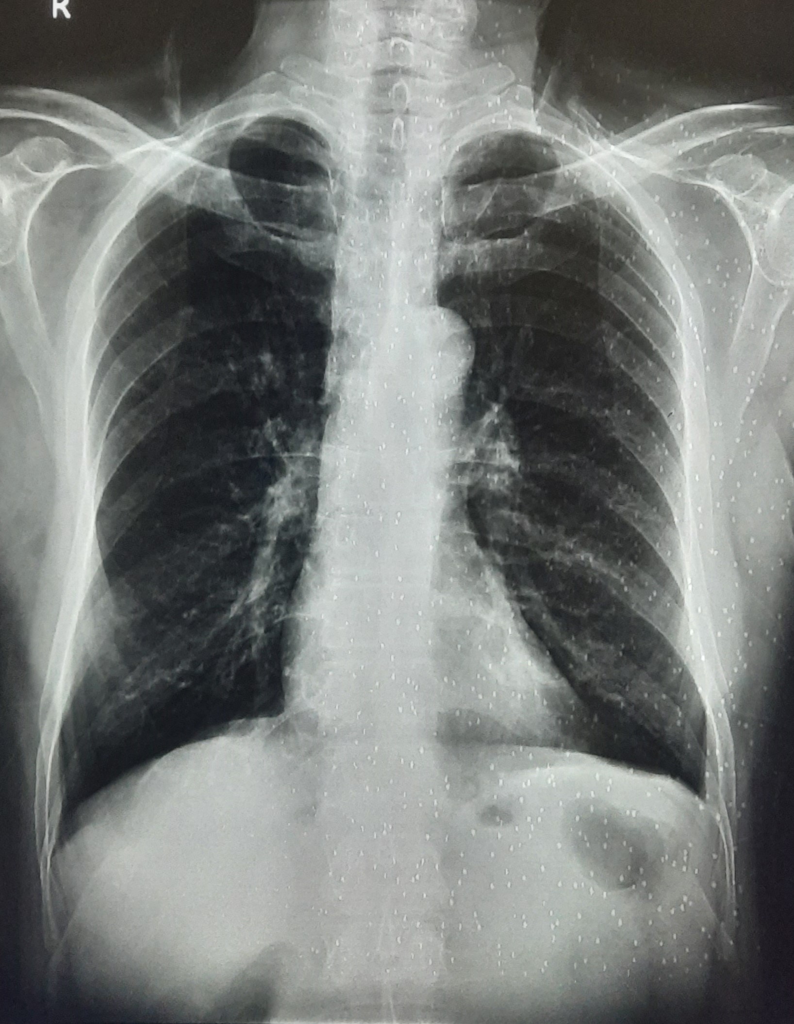
| 294 | IGGMC, Nagpur, Nagpur | P2 | 29-4178 | Devkabai Rasali | Consent taken on Paper | 70 Yrs. |
Provisional Diag : COPD
Final Diag : Transucative Pleural Effusion Sec To Cardiac Failure |
Non-TB Case (Confirmed) | Abnormality visible on x-ray |
View |
||||
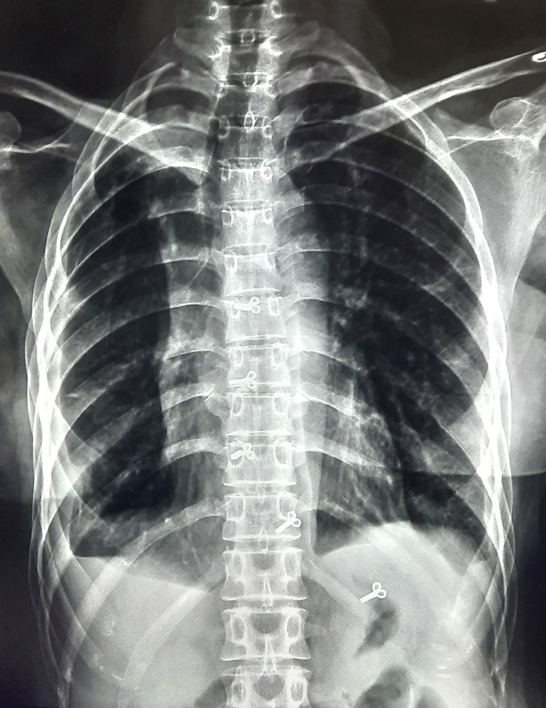
| 295 | IGGMC, Nagpur, Nagpur | P2 | 29-4177 | Afra Firdos | Consent taken on Paper | 14 Yrs. |
Provisional Diag : Pleural Effusion ?
Final Diag : Pleural Effusion |
Result awaited (Suspected TB/Non-TB) | Right Sided Pleural Effusion | Abnormality visible on x-ray |
View |
|||
| 296 | IGGMC, Nagpur, Nagpur | P2 | 29-4176 | Mahamad Faiyaz Ansari | Consent taken on Paper | 45 Yrs. |
Provisional Diag : Lung Fibrosis/PTB
Final Diag : ? |
TB Case (Confirmed) | Abnormality visible on x-ray |
View |
||||
| 297 | IGGMC, Nagpur, Nagpur | P2 | 29-4175 | Sabina Parveen | Consent taken on Paper | 23 Yrs. |
Provisional Diag : PTB Reactivation
Final Diag : ? |
TB Case (Confirmed) | Bilateral Middle Lower Zone Pulmonary TB | Abnormality visible on x-ray |
View |
|||
| 298 | IGGMC, Nagpur, Nagpur | P2 | 29-4174 | Mohit Sorte | Consent taken on Paper | 19 Yrs. |
Provisional Diag : Pre-Employment Medical fitness
Final Diag : CxR- No Finding (Medical Fitness) |
Pure Normal Case (Cases with no complaint, NAD or medical fitness cases) | No significant abnormality seen in present chest X-ray | No abnormality visible on x-ray |
View |
|||
| 299 | IGGMC, Nagpur, Nagpur | P2 | 29-4173 | Vaishnavi Khedkar | Consent taken on Paper | 24 Yrs. |
Provisional Diag : Pre-Employment Medical fitness
Final Diag : CxR- No Finding (Medical Fitness) |
Pure Normal Case (Cases with no complaint, NAD or medical fitness cases) | No significant abnormality seen in present chest X-ray | No abnormality visible on x-ray |
View |
|||
| 300 | IGGMC, Nagpur, Nagpur | P2 | 29-4172 | Ganesh Chichulkar | Consent taken on Paper | 34 Yrs. |
Provisional Diag : Pre-Employment Medical fitness
Final Diag : CxR- No Finding (Pre-Employment Medical fitness) |
Pure Normal Case (Cases with no complaint, NAD or medical fitness cases) | No significant abnormality seen in present chest X-ray | No abnormality visible on x-ray |
View |

















































