| # | Institute | Stage | Patient Id | Patient Name | Consent Taken | Age | Provisional and Final Diagnosis | Final Diagnosis category | Radiologist observation | Chest X-Ray finding | Chest X-Ray | Action | Delete | |
|---|---|---|---|---|---|---|---|---|---|---|---|---|---|---|
| 4401 | IGGMC, Nagpur, Nagpur | P2 | 29-71 | chetna pillenwan | Consent taken on Paper | 26 Yrs. |
Provisional Diag : ?
Final Diag : ? |
Result awaited (Suspected TB/Non-TB) | ? | X | ||||
| 4402 | IGGMC, Nagpur, Nagpur | P2 | 29-70 | antima singh | Consent taken on Paper | 30 Yrs. |
Provisional Diag : ?
Final Diag : ? |
Result awaited (Suspected TB/Non-TB) | ? | X | ||||
| 4403 | IGGMC, Nagpur, Nagpur | P2 | 29-69 | hemraj bisan | Consent taken on Paper | 45 Yrs. |
Provisional Diag : ?
Final Diag : ? |
Result awaited (Suspected TB/Non-TB) | ? | X | ||||
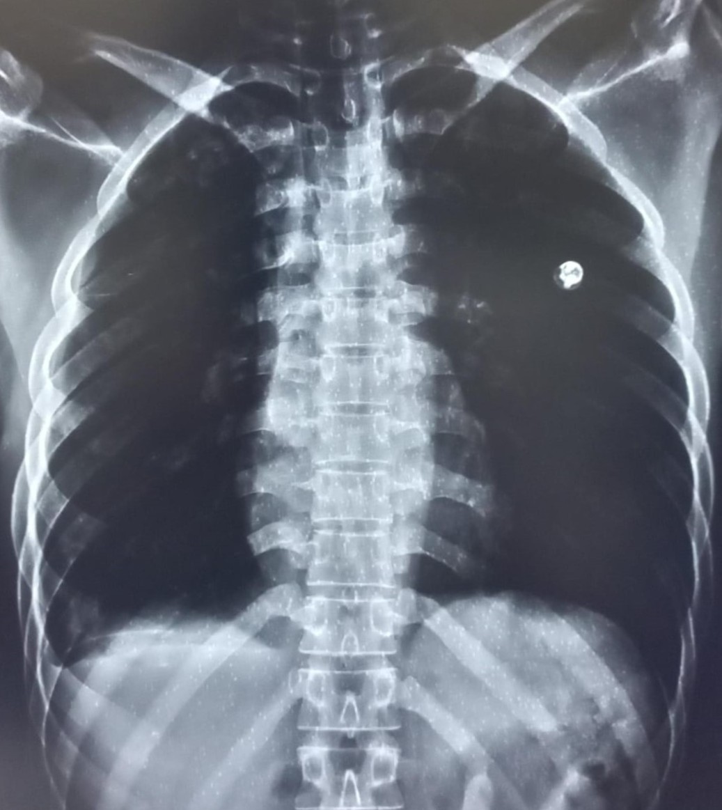
| 4404 | IGGMC, Nagpur, Nagpur | P2 | 29-68 | Gauri Rathod | Consent taken on Paper | 12 Yrs. |
Provisional Diag : Lower Respiratory Tract Infection
Final Diag : LEFT LOWER ZONE INFILTRATIONS |
Non-TB Case (Confirmed) | Left Mid Zone Radiopacity/ clothing Artifact | Abnormality visible on x-ray |
View |
|||
| 4405 | IGGMC, Nagpur, Nagpur | P2 | 29-67 | santosh gandhewar | Consent taken on Paper | 45 Yrs. |
Provisional Diag : UPPER RESPI TRACT INFECTION
Final Diag : UPPER RESPI TRACT INFECTION |
Special Normal (Cases with complaints or abnormality in x-ray) | poor quality/not reportable | Poor Quality/Not Reportable |
View |
|||
| 4406 | IGGMC, Nagpur, Nagpur | P2 | 29-66 | rajesh chawhan | Consent taken on Paper | 13 Yrs. |
Provisional Diag : ?
Final Diag : ? |
Result awaited (Suspected TB/Non-TB) | ? | X | ||||
| 4407 | IGGMC, Nagpur, Nagpur | P2 | 29-65 | Harish Thakare | Consent taken on Paper | 29 Yrs. |
Provisional Diag : LEFT UPPER ZONE CONSOLIDATION
Final Diag : LEFT UPPER ZONE CONSOLIDATION |
Non-TB Case (Confirmed) | poor quality/not reportable | Poor Quality/Not Reportable |
View |
|||
| 4408 | IGGMC, Nagpur, Nagpur | P2 | 29-64 | Indubai Bardhare | Consent taken on Paper | 53 Yrs. |
Provisional Diag : Upper Respiratory Tract Infection
Final Diag : POST TB BRONCHIECTASIS,CONSOLIDATION |
Mix (TB and Non-TB) | poor quality/not reportable | Poor Quality/Not Reportable |
View |
|||
| 4409 | IGGMC, Nagpur, Nagpur | P2 | 29-63 | dudhram dongwar | Consent taken on Paper | 65 Yrs. |
Provisional Diag : ?
Final Diag : ? |
? | X | |||||
| 4410 | IGGMC, Nagpur, Nagpur | P2 | 29-62 | pintu yerne | Consent taken on Paper | 36 Yrs. |
Provisional Diag : Extra Pulmonary Tuberculosis
Final Diag : Extra Pulmonary Tuberculosis (microbiologically confirmed TB) |
TB Case (Confirmed) | No significant abnormality seen in present chest X-ray/Overexposed X-Ray/Poor Quality | Poor Quality/Not Reportable |
View |
|||
| 4411 | IGGMC, Nagpur, Nagpur | P2 | 29-61 | kavita sanchaniya | Consent taken on Paper | 46 Yrs. |
Provisional Diag : ?
Final Diag : ? |
Result awaited (Suspected TB/Non-TB) | ? | X | ||||
| 4412 | IGGMC, Nagpur, Nagpur | P2 | 29-60 | rajkumar nagrale | Consent taken on Paper | 54 Yrs. |
Provisional Diag : ?
Final Diag : ? |
Result awaited (Suspected TB/Non-TB) | ? | X | ||||
| 4413 | IGGMC, Nagpur, Nagpur | P2 | 29-59 | rishi sahu | Consent taken on Paper | 27 Yrs. |
Provisional Diag : ?
Final Diag : ? |
Result awaited (Suspected TB/Non-TB) | ? | X | ||||
| 4414 | IGGMC, Nagpur, Nagpur | P2 | 29-58 | shizen sk | Consent taken on Paper | 5 Mnths.15 Days. |
Provisional Diag : ?
Final Diag : ? |
Result awaited (Suspected TB/Non-TB) | ? | X | ||||
| 4415 | IGGMC, Nagpur, Nagpur | P2 | 29-57 | aditya sonbarse | Consent taken on Paper | 21 Yrs. |
Provisional Diag : ?
Final Diag : ? |
Result awaited (Suspected TB/Non-TB) | ? | X | ||||
| 4416 | IGGMC, Nagpur, Nagpur | P2 | 29-56 | iarm firdhosh | Consent taken on Paper | 12 Yrs. |
Provisional Diag : ?
Final Diag : ? |
Result awaited (Suspected TB/Non-TB) | ? | X | ||||
| 4417 | IGGMC, Nagpur, Nagpur | P2 | 29-55 | mohamood aushkeen quereshi | Consent taken on Paper | 37 Yrs. |
Provisional Diag : ?
Final Diag : ? |
Result awaited (Suspected TB/Non-TB) | ? | X | ||||
| 4418 | IGGMC, Nagpur, Nagpur | P2 | 29-54 | dinesh yadav | Consent taken on Paper | 27 Yrs. |
Provisional Diag : ?
Final Diag : ? |
Result awaited (Suspected TB/Non-TB) | ? | X | ||||
| 4419 | IGGMC, Nagpur, Nagpur | P2 | 29-53 | rajendra deogade | Consent taken on Paper | 62 Yrs. |
Provisional Diag : ?
Final Diag : ? |
Result awaited (Suspected TB/Non-TB) | ? | X | ||||
| 4420 | IGGMC, Nagpur, Nagpur | P2 | 29-52 | vikram sahu | Consent taken on Paper | 50 Yrs. |
Provisional Diag : ?
Final Diag : ? |
Result awaited (Suspected TB/Non-TB) | ? | X | ||||
| 4421 | IGGMC, Nagpur, Nagpur | P2 | 29-51 | Ayesha Bhasme | Consent taken on Paper | 23 Yrs. |
Provisional Diag : Cough Under Evaluation
Final Diag : LRTI (CxR- No Finding) |
Special Normal (Cases with complaints or abnormality in x-ray) | CP Angle Blunting | No abnormality visible on x-ray |
View |
|||
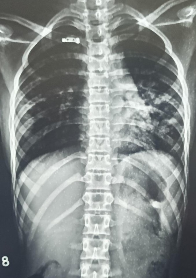
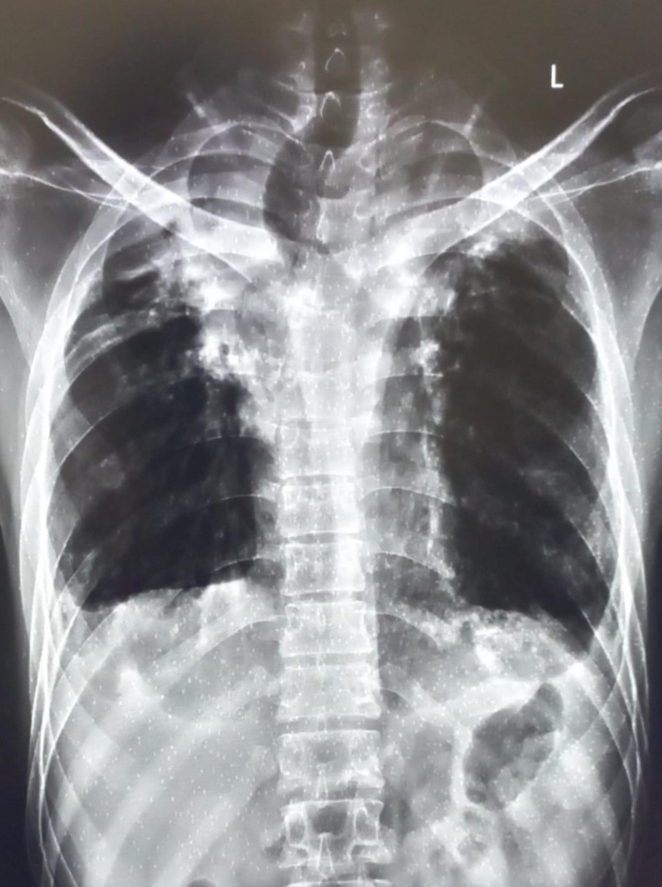
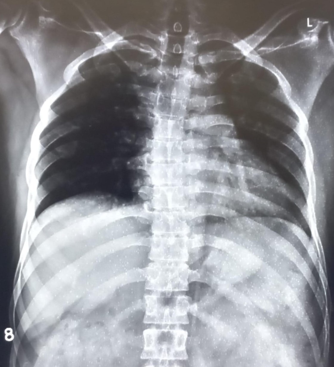
| 4422 | IGGMC, Nagpur, Nagpur | P2 | 29-50 | Vinod Mukardam | Consent taken on Paper | 35 Yrs. |
Provisional Diag : BREATHLESSNESS UNDER EVALUATION
Final Diag : Post TB sequalae (CxR- Bilateral Upper Zone Collapse With Pleural Effusion) |
Post TB Sequelae | Blunting of both lung costophrenic (CP) angles and a trachea shifted towards the right on a chest X-ray | Abnormality visible on x-ray |
View |
|||
| 4423 | IGGMC, Nagpur, Nagpur | P2 | 29-49 | pramod waghamare | Consent taken on Paper | 33 Yrs. |
Provisional Diag : ?
Final Diag : ? |
Result awaited (Suspected TB/Non-TB) | ? | X | ||||
| 4424 | IGGMC, Nagpur, Nagpur | P2 | 29-48 | kalyani gharpende | Consent taken on Paper | 21 Yrs. |
Provisional Diag : ?
Final Diag : ? |
Result awaited (Suspected TB/Non-TB) | ? | X | ||||
| 4425 | IGGMC, Nagpur, Nagpur | P2 | 29-47 | Kishor Yerpude | Consent taken on Paper | 37 Yrs. |
Provisional Diag : HEMOPTYSIS UNDER EVALUATION
Final Diag : CxR- No Finding |
Special Normal (Cases with complaints or abnormality in x-ray) | No significant abnormality seen in present chest X-ray | No abnormality visible on x-ray |
View |
|||
| 4426 | IGGMC, Nagpur, Nagpur | P2 | 29-46 | zeba shaikh | Consent taken on Paper | 26 Yrs. |
Provisional Diag : ?
Final Diag : ? |
Result awaited (Suspected TB/Non-TB) | ? | X | ||||
| 4427 | IGGMC, Nagpur, Nagpur | P2 | 29-45 | zareena parveen | Consent taken on Paper | 22 Yrs. |
Provisional Diag : ?
Final Diag : ? |
? | X | |||||
| 4428 | IGGMC, Nagpur, Nagpur | P2 | 29-44 | umesh kesarwani | Consent taken on Paper | 25 Yrs. |
Provisional Diag : ?
Final Diag : ? |
Result awaited (Suspected TB/Non-TB) | ? | X | ||||
| 4429 | IGGMC, Nagpur, Nagpur | P2 | 29-43 | roshani gajghate | Consent taken on Paper | 20 Yrs. |
Provisional Diag : ?
Final Diag : ? |
Result awaited (Suspected TB/Non-TB) | ? | X | ||||
| 4430 | IGGMC, Nagpur, Nagpur | P2 | 29-42 | mohamad anwaral had | Consent taken on Paper | 24 Yrs. |
Provisional Diag : ?
Final Diag : ? |
Result awaited (Suspected TB/Non-TB) | ? | X | ||||
| 4431 | IGGMC, Nagpur, Nagpur | P2 | 29-41 | Shalini Wadewar | Consent taken on Paper | 43 Yrs. |
Provisional Diag : acute febrile illness under evaluation
Final Diag : acute febrile illness |
Special Normal (Cases with complaints or abnormality in x-ray) | CXR normal/clothing artefact | No abnormality visible on x-ray |
View |
|||
| 4432 | IGGMC, Nagpur, Nagpur | P2 | 29-40 | anita bagde | Consent taken on Paper | 58 Yrs. |
Provisional Diag : ?
Final Diag : ? |
Result awaited (Suspected TB/Non-TB) | ? | X | ||||
| 4433 | IGGMC, Nagpur, Nagpur | P2 | 29-39 | shirin anjum | Consent taken on Paper | 18 Yrs. |
Provisional Diag : Lower Respiratory Tract Infection
Final Diag : LRTI (CxR- No Finding) |
Special Normal (Cases with complaints or abnormality in x-ray) | No significant abnormality seen in present chest X-ray | No abnormality visible on x-ray |
View |
|||
| 4434 | IGGMC, Nagpur, Nagpur | P2 | 29-38 | tukaram paunikar | Consent taken on Paper | 58 Yrs. |
Provisional Diag : ?
Final Diag : ? |
Result awaited (Suspected TB/Non-TB) | ? | X | ||||
| 4435 | IGGMC, Nagpur, Nagpur | P2 | 29-37 | ram manohar shahu | Consent taken on Paper | 34 Yrs. |
Provisional Diag : ?
Final Diag : ? |
? | X | |||||
| 4436 | IGGMC, Nagpur, Nagpur | P2 | 29-36 | sumaiya sk | Consent taken on Paper | 24 Yrs. |
Provisional Diag : ?
Final Diag : ? |
Result awaited (Suspected TB/Non-TB) | ? | X | ||||
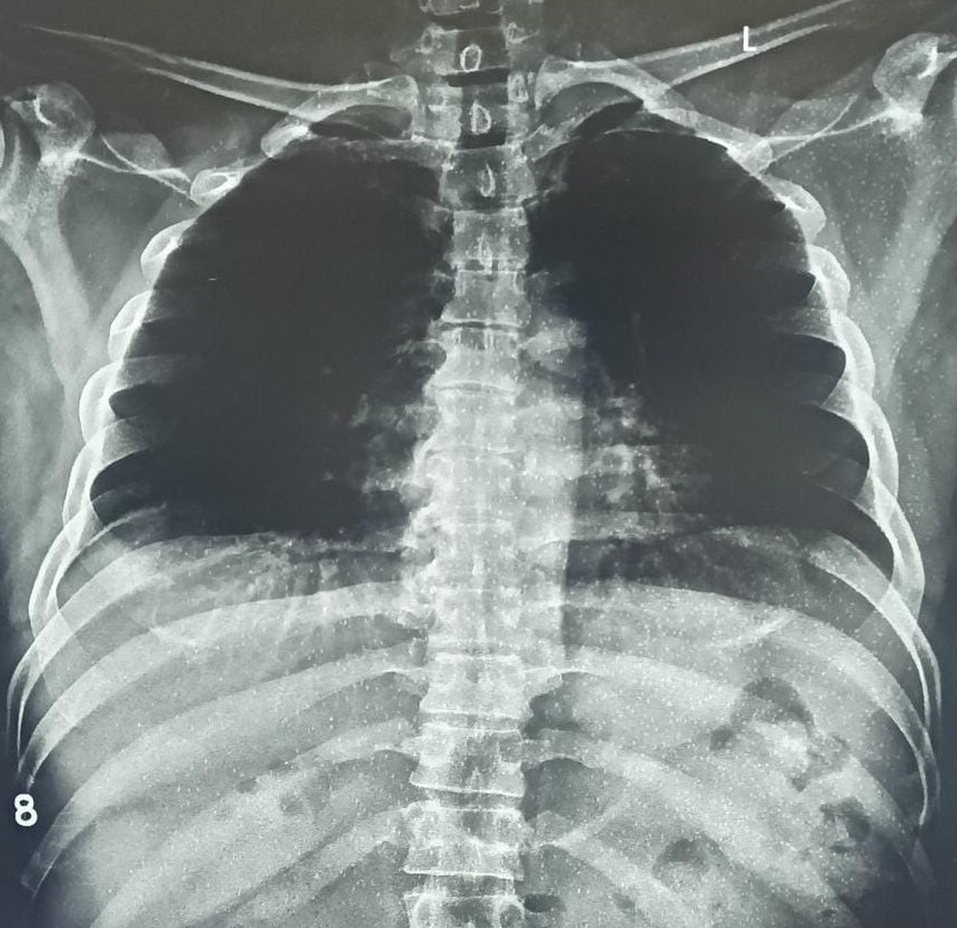
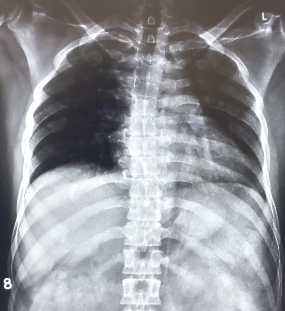
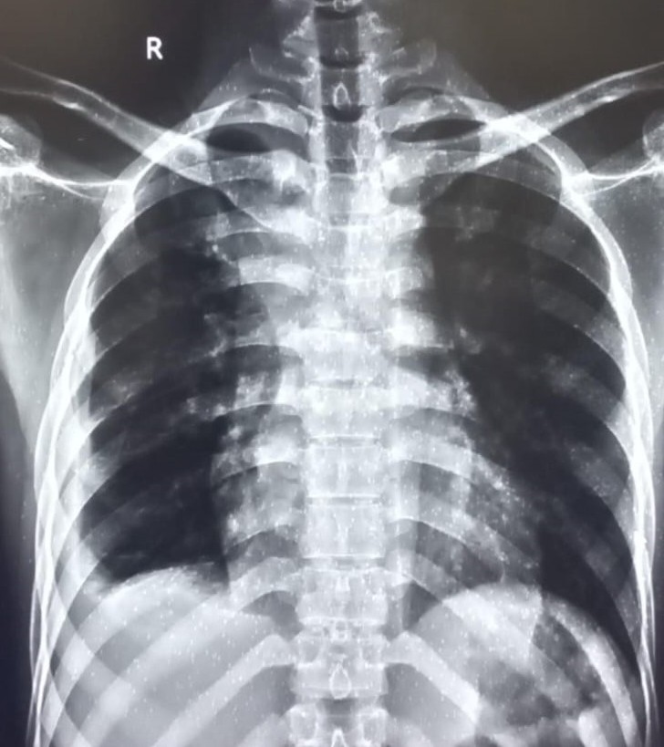
| 4437 | IGGMC, Nagpur, Nagpur | P2 | 29-35 | narendra parate | Consent taken on Paper | 25 Yrs. |
Provisional Diag : Cronic Cough
Final Diag : pleural effusion |
TB Case (Confirmed) | right CP angle blunted, suggestive of right sided pleural effusion | Abnormality visible on x-ray |
View |
|||
| 4438 | IGGMC, Nagpur, Nagpur | P2 | 29-34 | ganpat khendate | Consent taken on Paper | 66 Yrs. |
Provisional Diag : ?
Final Diag : ? |
Result awaited (Suspected TB/Non-TB) | ? | X | ||||
| 4439 | IGGMC, Nagpur, Nagpur | P2 | 29-33 | archana gawali | Consent taken on Paper | 38 Yrs. |
Provisional Diag : CHEST PAIN UNDER EVALUATION
Final Diag : POST TB SEQUELE |
Post TB Sequelae | SCANNED IMAGE OF POOR QUALITY | Poor Quality/Not Reportable |
View |
|||
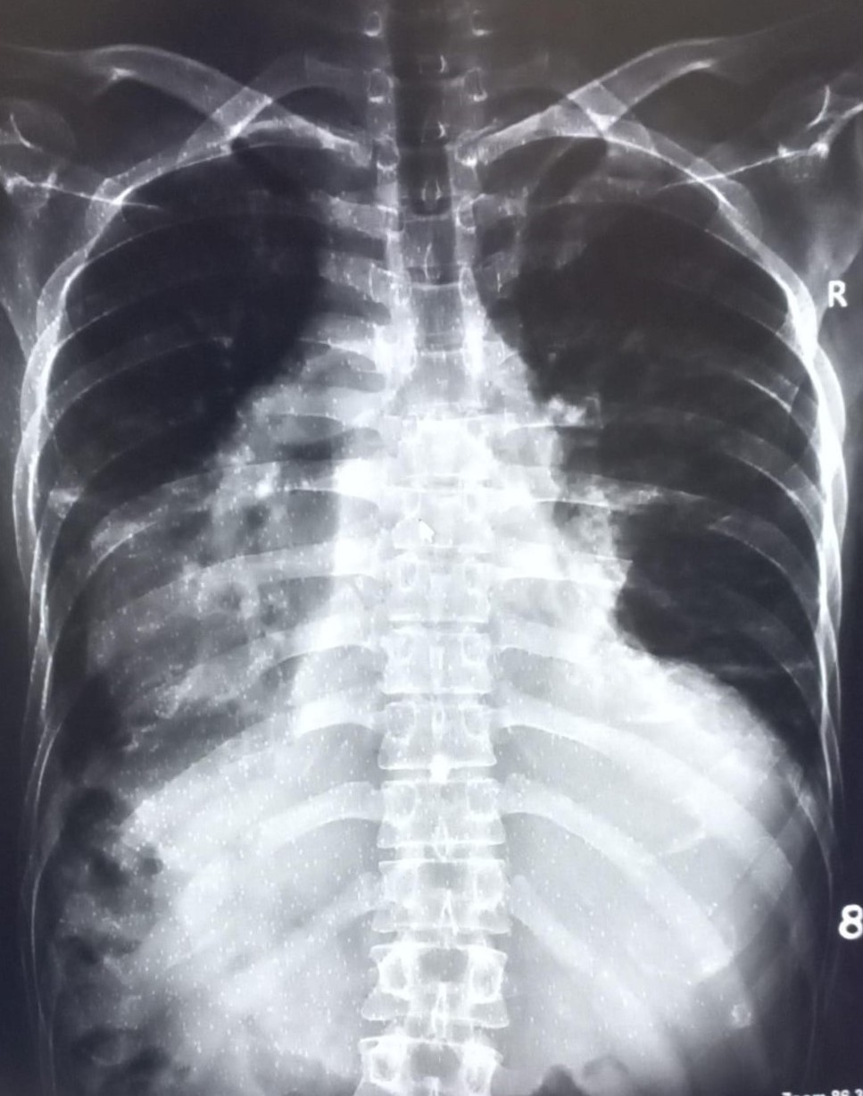
| 4440 | IGGMC, Nagpur, Nagpur | P2 | 29-32 | kamal dasar | Consent taken on Paper | 49 Yrs. |
Provisional Diag : cough under evaluation
Final Diag : OBLITERATION OF LEFT CP ANGLE BLUNTING/LEFT SIDED PLEURAL EFFUSION |
Non-TB Case (Confirmed) | OBLITERATION OF LEFT CP ANGLE BLUNTING/LEFT SIDED PLEURAL EFFUSION | Abnormality visible on x-ray |
View |
|||
| 4441 | IGGMC, Nagpur, Nagpur | P2 | 29-31 | suresh meshram | Consent taken on Paper | 40 Yrs. |
Provisional Diag : ?
Final Diag : ? |
Result awaited (Suspected TB/Non-TB) | ? | X | ||||
| 4442 | IGGMC, Nagpur, Nagpur | P2 | 29-30 | tasbiya | Consent taken on Paper | 14 Yrs. |
Provisional Diag : ?
Final Diag : ? |
Result awaited (Suspected TB/Non-TB) | ? | X | ||||
| 4443 | IGGMC, Nagpur, Nagpur | P2 | 29-29 | rajendra sontape | Consent taken on Paper | 45 Yrs. |
Provisional Diag : ?
Final Diag : ? |
Result awaited (Suspected TB/Non-TB) | ? | X | ||||
| 4444 | IGGMC, Nagpur, Nagpur | P2 | 29-28 | tulsabai choube | Consent taken on Paper | 73 Yrs. |
Provisional Diag : ?
Final Diag : ? |
Result awaited (Suspected TB/Non-TB) | ? | X | ||||
| 4445 | IGGMC, Nagpur, Nagpur | P2 | 29-27 | shital khanpasole | Consent taken on Paper | 17 Yrs. |
Provisional Diag : ?
Final Diag : ? |
Result awaited (Suspected TB/Non-TB) | ? | X | ||||
| 4446 | IGGMC, Nagpur, Nagpur | P2 | 29-26 | Sunaina Negi | Consent taken on Paper | 25 Yrs. |
Provisional Diag : Neck Swelling under evaluation
Final Diag : Neck Edema (CxR- No Finding) |
Special Normal (Cases with complaints or abnormality in x-ray) | No significant abnormality seen in present chest X-ray | No abnormality visible on x-ray |
View |
|||
| 4447 | IGGMC, Nagpur, Nagpur | P2 | 29-25 | raees fatema | Consent taken on Paper | 37 Yrs. |
Provisional Diag : ?
Final Diag : ? |
Result awaited (Suspected TB/Non-TB) | ? | X | ||||
| 4448 | IGGMC, Nagpur, Nagpur | P2 | 29-24 | abdul khan | Consent taken on Paper | 65 Yrs. |
Provisional Diag : ?
Final Diag : ? |
Result awaited (Suspected TB/Non-TB) | ? | X | ||||
| 4449 | IGGMC, Nagpur, Nagpur | P2 | 29-23 | Pooja Kale | Consent taken on Paper | 22 Yrs. |
Provisional Diag : Chest Tumor
Final Diag : EXTRA PULMONARY TUBERCULOSIS |
TB Case (Confirmed) | No significant abnormality seen in present chest X-ray | No abnormality visible on x-ray |
View |
|||
| 4450 | IGGMC, Nagpur, Nagpur | P2 | 29-22 | sima neware | Consent taken on Paper | 35 Yrs. |
Provisional Diag : ?
Final Diag : ? |
Result awaited (Suspected TB/Non-TB) | ? | X |














