| Institute | Patient ID | Hospital | Name of Patient | Remarks |
|---|---|---|---|---|
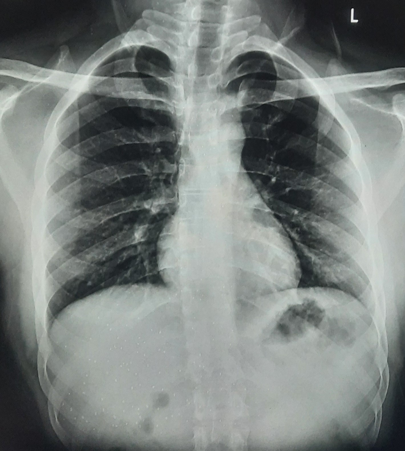
| IGGMC, Nagpur | 29-4123 | IGGMC, Nagpur | Sajid Sheikh | Medical Fitness |
| Upload Chest X-ray | |||
| Chest X-Ray Image |
|
||
| Upload Annotation | |
| Annotation | Image yet to be uploaded |

