ICMR, AI 4 Tuberculosis (Validation portal)
Logout
Home
(current)
Dashboard
Detailed Dashboard
Add/View Patient Details
Summary of diagnoses
Subjects with awaited diagnosis
Missing Disease type/chest x-ray finding
Site confirmation
X-ray Thumbnail
Disease vs. Abnormality
View All PI & Co-PI Details
Ai Result
User Profile
Profile
Change Password
Recycle Bin
Sensitivity and Specificity (Normal/Abnormal)
Logout
Home
Image Upload
Institute
Patient ID
Hospital
Name of Patient
Remarks
IGGMC, Nagpur
29-4167
IGGMC, Nagpur
Payal Barade
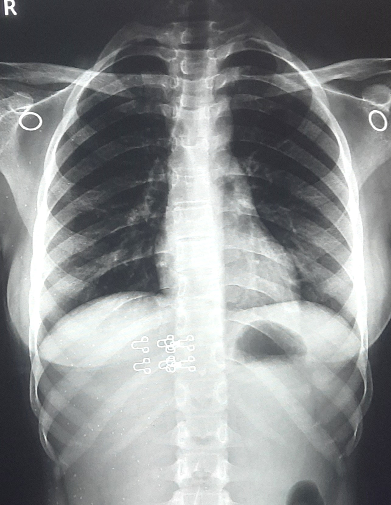
Upload Chest X-ray
Chest X-Ray Image
Upload Processed X-Ray
Processed X-Ray
Upload Annotation
Annotation
Image yet to be uploaded
Upload Physician/Radiologist Observation/Report
Physician/Radiologist Observation/Report
Image yet to be uploaded
Upload dicom file
Dicom file
Image yet to be uploaded
Any Other Investigation Reports
Type of Image
*
Remarks
--Select--
CT
MRI
Others
USG
Image yet to be uploaded
--Select--
CT
MRI
Others
USG
Image yet to be uploaded
New Investigation Reports
Type of Image
*
Remarks
Previous x-ray of the patient, if available
Type of Image
*
Remarks
x-ray
Image yet to be uploaded
Upload Report
Upload Report
Report yet to be uploaded
Upload OPD Card
OPD Card
Image yet to be uploaded
Upload Case Record Form
Case Record Form
Image yet to be uploaded
Patient Data listing
Edit